电话:
+86 (0512) 65829739
传真:
+86 (010) 6788 5057
电子邮件:
orders@antibodies-online.cn

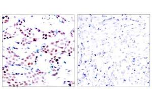
C-JUN 抗体 (pThr91)

This anti-C-JUN antibody is a 兔 多克隆 antibody detecting C-JUN in WB 和 IHC. Suitable for 人, 小鼠 和 大鼠.
产品编号 ABIN273254
发货至: 中国

Quick Overview for C-JUN 抗体 (pThr91) (ABIN273254)

抗原

See all C-JUN (JUN) 抗体
C-JUN (JUN) (Jun Proto-Oncogene (JUN))

适用

  • 375
  • 196
  • 187
  • 32
  • 26
  • 21
  • 18
  • 16
  • 16
  • 12
  • 12
  • 7
  • 5
  • 4
  • 3
  • 1
  • 1
人, 小鼠, 大鼠

宿主

  • 362
  • 26
  • 1

克隆类型

  • 331
  • 58
多克隆

标记

  • 192
  • 20
  • 12
  • 12
  • 12
  • 12
  • 12
  • 12
  • 10
  • 10
  • 10
  • 7
  • 7
  • 6
  • 6
  • 6
  • 6
  • 6
  • 6
  • 5
  • 5
  • 5
  • 3
  • 1
  • 1
  • 1
  • 1
  • 1
  • 1
  • 1
This C-JUN antibody is un-conjugated

应用范围

  • 244
  • 125
  • 111
  • 95
  • 64
  • 50
  • 46
  • 46
  • 41
  • 23
  • 15
  • 11
  • 11
  • 7
  • 4
  • 3
  • 3
  • 2
  • 1
  • 1
  • 1
Western Blotting (WB), Immunohistochemistry (IHC)
You are here:
Chat with us!