电话:
+86 (0512) 65829739
传真:
+86 (010) 6788 5057
电子邮件:
orders@antibodies-online.cn

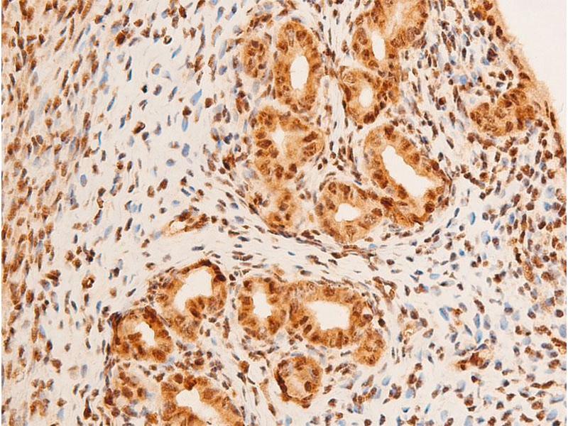
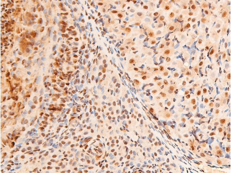
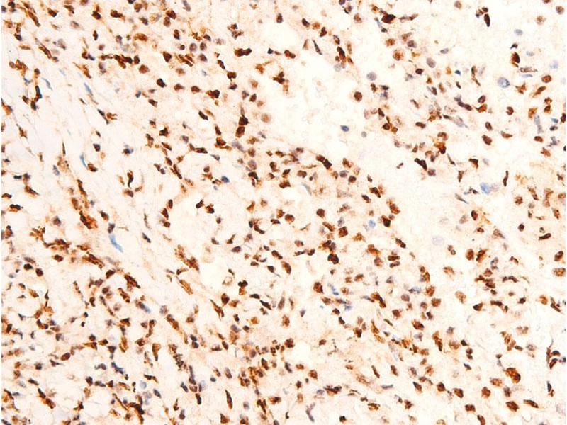
C-JUN 抗体 (pThr91)

This 兔 多克隆 antibody specifically detects C-JUN in WB, IHC, ELISA, IF 和 ICC. It exhibits reactivity toward 人, 小鼠 和 大鼠.
产品编号 ABIN6256604
发货至: 中国
Contact our Customer Service for availability and price in your country. Contact Info

Our Local Distributor

中国
北京 101111
No. 88 KeChuang 6th Street
Beijing Economic Technological Development Area
Room 801-803
4A Biotech Co.,Ltd.
Tel +86 (0512) 65829739 传真 +86 (010) 6788 5057

Quick Overview for C-JUN 抗体 (pThr91) (ABIN6256604)

抗原

See all C-JUN (JUN) 抗体
C-JUN (JUN) (Jun Proto-Oncogene (JUN))

适用

  • 420
  • 254
  • 243
  • 32
  • 26
  • 21
  • 18
  • 16
  • 16
  • 12
  • 12
  • 7
  • 5
  • 4
  • 3
  • 1
  • 1
人, 小鼠, 大鼠

宿主

  • 404
  • 27
  • 1

克隆类型

  • 333
  • 99
多克隆

标记

  • 195
  • 24
  • 16
  • 16
  • 16
  • 16
  • 16
  • 16
  • 10
  • 10
  • 10
  • 7
  • 7
  • 6
  • 6
  • 6
  • 6
  • 6
  • 6
  • 6
  • 6
  • 5
  • 5
  • 5
  • 3
  • 1
  • 1
  • 1
  • 1
  • 1
  • 1
  • 1
This C-JUN antibody is un-conjugated

应用范围

  • 299
  • 164
  • 112
  • 98
  • 78
  • 64
  • 59
  • 55
  • 50
  • 43
  • 23
  • 11
  • 11
  • 4
  • 3
  • 3
  • 2
  • 2
  • 1
  • 1
  • 1
Western Blotting (WB), Immunohistochemistry (IHC), ELISA, Immunofluorescence (IF), Immunocytochemistry (ICC)
  • 抗原表位

    • 62
    • 59
    • 40
    • 29
    • 22
    • 16
    • 16
    • 16
    • 11
    • 10
    • 8
    • 7
    • 7
    • 7
    • 6
    • 5
    • 4
    • 4
    • 4
    • 4
    • 4
    • 4
    • 3
    • 3
    • 3
    • 3
    • 3
    • 3
    • 2
    • 2
    • 2
    • 2
    • 2
    • 2
    • 2
    • 2
    • 2
    • 2
    • 2
    • 2
    • 2
    • 2
    • 1
    • 1
    • 1
    • 1
    • 1
    • 1
    • 1
    • 1
    pThr91

    特异性

    Phospho-c-Jun (Thr91) Antibody detects endogenous levels of c-Jun only when phosphorylated at Threonine 91.

    预测反应

    Pig,Bovine,Sheep,Rabbit,Dog

    纯化方法

    The antibody is from purified rabbit serum by affinity purification via sequential chromatography on phospho- and non-phospho-peptide affinity columns.

    免疫原

    A synthesized peptide derived from human c-Jun around the phosphorylation site of Thr91.

    亚型

    IgG
  • 应用备注

    WB 1:500-1:2000, IHC 1:50-1:500, IF/ICC 1:100-1:500, ELISA(peptide) 1:20000-1:40000

    限制

    仅限研究用
  • 状态

    Liquid

    浓度

    1 mg/mL

    缓冲液

    Rabbit IgG in phosphate buffered saline , pH 7.4, 150 mM NaCl, 0.02 % sodium azide and 50 % glycerol.

    储存液

    Sodium azide

    注意事项

    This product contains Sodium azide: a POISONOUS AND HAZARDOUS SUBSTANCE which should be handled by trained staff only.

    储存条件

    -20 °C

    储存方法

    Store at -20 °C. Stable for 12 months from date of receipt.

    有效期

    12 months
  • 抗原

    C-JUN (JUN) (Jun Proto-Oncogene (JUN))

    别名

    JUN

    背景

    Description: Transcription factor that recognizes and binds to the enhancer heptamer motif 5'-TGA[CG]TCA-3'. Promotes activity of NR5A1 when phosphorylated by HIPK3 leading to increased steroidogenic gene expression upon cAMP signaling pathway stimulation. Involved in activated KRAS-mediated transcriptional activation of USP28 in colorectal cancer (CRC) cells (PubMed:24623306). Binds to the USP28 promoter in colorectal cancer (CRC) cells (PubMed:24623306).

    Gene: JUN

    分子量

    37kDa

    基因ID

    3725

    UniProt

    P05412

    途径

    MAPK Pathway, RTK signaling, WNT signaling, Fc-epsilon Receptor Signaling Pathway, Activation of Innate immune Response, Myometrial Relaxation and Contraction, Skeletal Muscle Fiber Development, Protein targeting to Nucleus, Toll-Like Receptors Cascades, Autophagy, Signaling of Hepatocyte Growth Factor Receptor, BCR Signaling, S100 Proteins
You are here: