C-JUN 抗体
Our Local Distributor
北京 101111
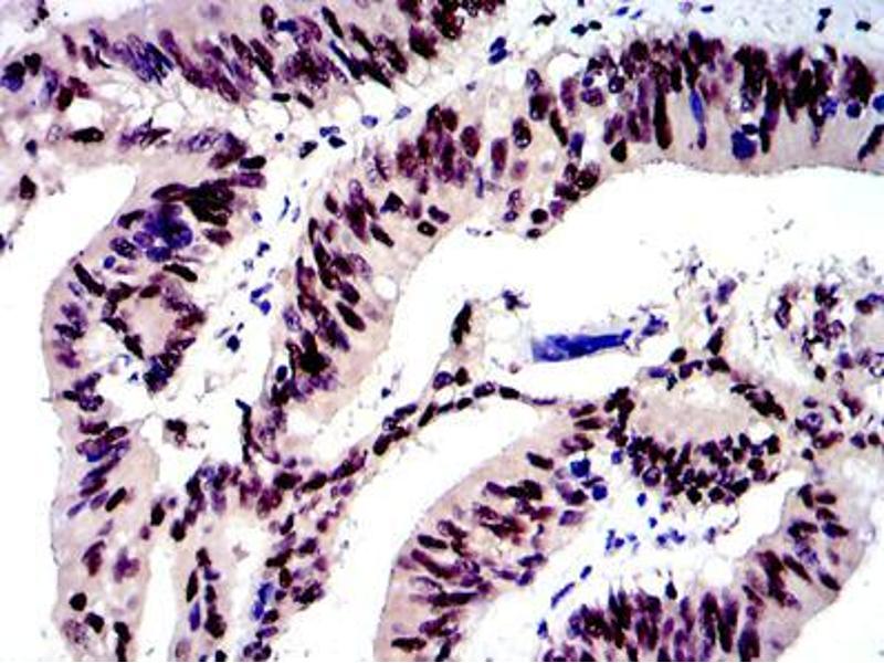
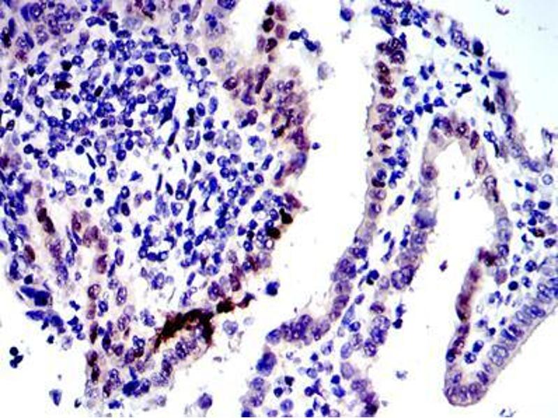
Quick Overview for C-JUN 抗体 (ABIN968994)
抗原
See all C-JUN (JUN) 抗体适用
宿主
克隆类型
标记
应用范围
克隆位点
-
-
原理
- c-Jun Antibody
-
纯化方法
- Ascitic fluid
-
免疫原
- Purified recombinant fragment of human c-Jun expressed in E. Coli.
-
亚型
- IgG1
-
-
-
-
应用备注
-
ELISA: 1/10000
FCM: 1/200 - 1/400
ICC: 1/200 - 1/1000
-
限制
- 仅限研究用
-
-
-
状态
- Liquid
-
缓冲液
- Ascitic fluid containing 0.03 % sodium azide.
-
储存液
- Sodium azide
-
注意事项
- This product contains Sodium azide: a POISONOUS AND HAZARDOUS SUBSTANCE which should be handled by trained staff only.
-
储存条件
- 4 °C,-20 °C
-
储存方法
- Store at 4°C short term. Aliquot and store at -20°C long term. Avoid freeze/thaw cycles.
-
-
-
: "c-Jun induces mammary epithelial cellular invasion and breast cancer stem cell expansion." in: The Journal of biological chemistry, Vol. 285, Issue 11, pp. 8218-26, (2010) (PubMed).
-
: "c-Jun induces mammary epithelial cellular invasion and breast cancer stem cell expansion." in: The Journal of biological chemistry, Vol. 285, Issue 11, pp. 8218-26, (2010) (PubMed).
-
- C-JUN (JUN) (Jun Proto-Oncogene (JUN))
-
别名
- c-Jun
-
背景
- This gene is the putative transforming gene of avian sarcoma virus 17. It encodes a protein which is highly similar to the viral protein, and which interacts directly with specific target DNA sequences to regulate gene expression. This gene is intronless and is mapped to 1p32-p31, a chromosomal region involved in both translocations and deletions in human malignancies.
-
分子量
- 43 kDa
-
基因ID
- 3725
-
UniProt
- P05412
-
途径
- MAPK Pathway, RTK signaling, WNT signaling, Fc-epsilon Receptor Signaling Pathway, Activation of Innate immune Response, Myometrial Relaxation and Contraction, Skeletal Muscle Fiber Development, Protein targeting to Nucleus, Toll-Like Receptors Cascades, Autophagy, Signaling of Hepatocyte Growth Factor Receptor, BCR Signaling, S100 Proteins
抗原
-