电话:
+86 (0512) 65829739
传真:
+86 (010) 6788 5057
电子邮件:
orders@antibodies-online.cn

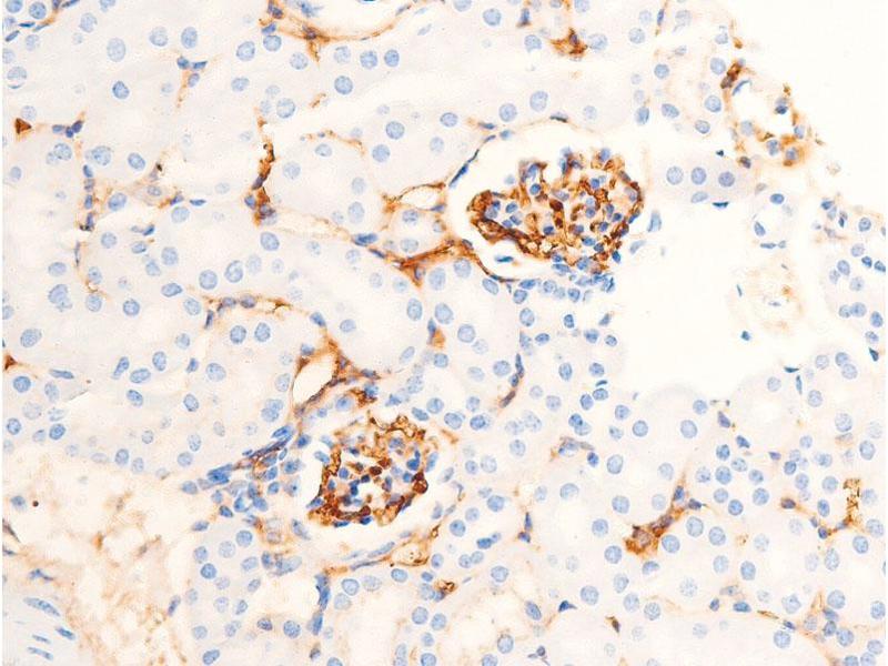
CHEK1 抗体 (pSer286)

This 兔 多克隆 antibody specifically detects CHEK1 in WB, ELISA, IHC, IF 和 ICC. It exhibits reactivity toward 人, 小鼠 和 大鼠.
产品编号 ABIN6255167
发货至: 中国
Contact our Customer Service for availability and price in your country. Contact Info

Our Local Distributor

中国
北京 101111
No. 88 KeChuang 6th Street
Beijing Economic Technological Development Area
Room 801-803
4A Biotech Co.,Ltd.
Tel +86 (0512) 65829739 传真 +86 (010) 6788 5057

Quick Overview for CHEK1 抗体 (pSer286) (ABIN6255167)

抗原

See all CHEK1 抗体
CHEK1 (Checkpoint Kinase 1 (CHEK1))

适用

  • 225
  • 129
  • 77
  • 16
  • 11
  • 8
  • 7
  • 6
  • 6
  • 5
  • 4
  • 3
  • 2
  • 1
  • 1
人, 小鼠, 大鼠

宿主

  • 236
  • 15
  • 5
  • 5

克隆类型

  • 193
  • 69
多克隆

标记

  • 132
  • 15
  • 9
  • 8
  • 7
  • 7
  • 7
  • 7
  • 7
  • 7
  • 4
  • 4
  • 4
  • 4
  • 4
  • 4
  • 4
  • 4
  • 4
  • 4
  • 4
  • 3
  • 3
  • 3
  • 3
This CHEK1 antibody is un-conjugated

应用范围

  • 210
  • 86
  • 71
  • 68
  • 53
  • 41
  • 40
  • 34
  • 23
  • 15
  • 10
  • 7
  • 6
  • 3
  • 1
  • 1
Western Blotting (WB), ELISA, Immunohistochemistry (IHC), Immunofluorescence (IF), Immunocytochemistry (ICC)
  • 抗原表位

    • 38
    • 30
    • 19
    • 19
    • 18
    • 7
    • 7
    • 6
    • 5
    • 4
    • 2
    • 2
    • 2
    • 2
    • 2
    • 2
    • 2
    • 2
    • 2
    • 2
    • 2
    • 2
    • 2
    • 2
    • 1
    • 1
    • 1
    • 1
    • 1
    • 1
    • 1
    • 1
    • 1
    • 1
    • 1
    • 1
    • 1
    • 1
    • 1
    • 1
    • 1
    • 1
    • 1
    • 1
    • 1
    pSer286

    特异性

    Phospho-Chk1 (Ser286) Antibody detects endogenous levels of Chk1 only when phosphorylated at Serine 286.

    预测反应

    Pig,Bovine,Horse,Sheep,Rabbit,Dog

    纯化方法

    The antibody is from purified rabbit serum by affinity purification via sequential chromatography on phospho- and non-phospho-peptide affinity columns.

    免疫原

    A synthesized peptide derived from human Chk1 around the phosphorylation site of Ser286.

    亚型

    IgG
  • 应用备注

    WB 1:500-1:2000, IHC 1:50-1:200, IF/ICC 1:100-1:500, ELISA(peptide) 1:20000-1:40000

    限制

    仅限研究用
  • 状态

    Liquid

    浓度

    1 mg/mL

    缓冲液

    Rabbit IgG in phosphate buffered saline , pH 7.4, 150 mM NaCl, 0.02 % sodium azide and 50 % glycerol.

    储存液

    Sodium azide

    注意事项

    This product contains Sodium azide: a POISONOUS AND HAZARDOUS SUBSTANCE which should be handled by trained staff only.

    储存条件

    -20 °C

    储存方法

    Store at -20 °C. Stable for 12 months from date of receipt.

    有效期

    12 months
  • 抗原

    CHEK1 (Checkpoint Kinase 1 (CHEK1))

    别名

    CHEK1

    背景

    Description: Serine/threonine-protein kinase which is required for checkpoint-mediated cell cycle arrest and activation of DNA repair in response to the presence of DNA damage or unreplicated DNA. May also negatively regulate cell cycle progression during unperturbed cell cycles. This regulation is achieved by a number of mechanisms that together help to preserve the integrity of the genome. Recognizes the substrate consensus sequence [R-X-X-S/T]. Binds to and phosphorylates CDC25A, CDC25B and CDC25C. Phosphorylation of CDC25A at 'Ser-178' and 'Thr-507' and phosphorylation of CDC25C at 'Ser-216' creates binding sites for 14-3-3 proteins which inhibit CDC25A and CDC25C. Phosphorylation of CDC25A at 'Ser-76', 'Ser-124', 'Ser-178', 'Ser-279' and 'Ser-293' promotes proteolysis of CDC25A. Phosphorylation of CDC25A at 'Ser-76' primes the protein for subsequent phosphorylation at 'Ser-79', 'Ser-82' and 'Ser-88' by NEK11, which is required for polyubiquitination and degradation of CDCD25A. Inhibition of CDC25 leads to increased inhibitory tyrosine phosphorylation of CDK-cyclin complexes and blocks cell cycle progression. Also phosphorylates NEK6. Binds to and phosphorylates RAD51 at 'Thr-309', which promotes the release of RAD51 from BRCA2 and enhances the association of RAD51 with chromatin, thereby promoting DNA repair by homologous recombination. Phosphorylates multiple sites within the C-terminus of TP53, which promotes activation of TP53 by acetylation and promotes cell cycle arrest and suppression of cellular proliferation. Also promotes repair of DNA cross-links through phosphorylation of FANCE. Binds to and phosphorylates TLK1 at 'Ser-743', which prevents the TLK1-dependent phosphorylation of the chromatin assembly factor ASF1A. This may enhance chromatin assembly both in the presence or absence of DNA damage. May also play a role in replication fork maintenance through regulation of PCNA. May regulate the transcription of genes that regulate cell-cycle progression through the phosphorylation of histones. Phosphorylates histone H3.1 (to form H3T11ph), which leads to epigenetic inhibition of a subset of genes. May also phosphorylate RB1 to promote its interaction with the E2F family of transcription factors and subsequent cell cycle arrest.

    Gene: CHEK1

    分子量

    55kDa

    基因ID

    1111

    UniProt

    O14757

    途径

    p53 Pathway, Apoptosis, Cell Division Cycle, DNA Damage Repair
You are here: