电话:
+86 (0512) 65829739
传真:
+86 (010) 6788 5057
电子邮件:
orders@antibodies-online.cn

CHEK1 抗体 (pSer317)

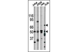
There is 1 publication for this product available. The 兔 多克隆 anti-CHEK1 antibody is suitable to detect CHEK1 in samples from 人. It has been validated for WB, IHC (p) 和 DB.
产品编号 ABIN389543
发货至: 中国
Contact our Customer Service for availability and price in your country. Contact Info

Our Local Distributor

中国
北京 101111
No. 88 KeChuang 6th Street
Beijing Economic Technological Development Area
Room 801-803
4A Biotech Co.,Ltd.
Tel +86 (0512) 65829739 传真 +86 (010) 6788 5057

Quick Overview for CHEK1 抗体 (pSer317) (ABIN389543)

抗原

See all CHEK1 抗体
CHEK1 (Checkpoint Kinase 1 (CHEK1))

适用

  • 225
  • 132
  • 80
  • 16
  • 11
  • 8
  • 7
  • 6
  • 6
  • 5
  • 4
  • 3
  • 2
  • 1
  • 1

宿主

  • 236
  • 15
  • 5
  • 5

克隆类型

  • 193
  • 69
多克隆

标记

  • 132
  • 15
  • 9
  • 8
  • 7
  • 7
  • 7
  • 7
  • 7
  • 7
  • 4
  • 4
  • 4
  • 4
  • 4
  • 4
  • 4
  • 4
  • 4
  • 4
  • 4
  • 3
  • 3
  • 3
  • 3
This CHEK1 antibody is un-conjugated

应用范围

  • 211
  • 87
  • 74
  • 71
  • 54
  • 41
  • 40
  • 31
  • 24
  • 15
  • 10
  • 6
  • 6
  • 3
  • 1
  • 1
Western Blotting (WB), Immunohistochemistry (Paraffin-embedded Sections) (IHC (p)), Dot Blot (DB)

克隆位点

RB7845-RB18425
  • 抗原表位

    • 37
    • 30
    • 20
    • 19
    • 18
    • 7
    • 7
    • 6
    • 5
    • 4
    • 2
    • 2
    • 2
    • 2
    • 2
    • 2
    • 2
    • 2
    • 2
    • 2
    • 2
    • 2
    • 2
    • 2
    • 1
    • 1
    • 1
    • 1
    • 1
    • 1
    • 1
    • 1
    • 1
    • 1
    • 1
    • 1
    • 1
    • 1
    • 1
    • 1
    • 1
    • 1
    • 1
    • 1
    • 1
    pSer317

    纯化方法

    This antibody is purified through a protein A column, followed by peptide affinity purification.

    免疫原

    This CHK1 Antibody is generated from rabbits immunized with a KLH conjugated synthetic phosphopeptide corresponding to amino acid residues surrounding S317 of human CHK1.

    亚型

    Ig Fraction
  • 应用备注

    WB: 1:1000. IHC-P: 1:50~100. DB: 1:500

    限制

    仅限研究用
  • 状态

    Liquid

    缓冲液

    Purified polyclonal antibody supplied in PBS with 0.09 % (W/V) sodium azide.

    储存液

    Sodium azide

    注意事项

    This product contains Sodium azide: a POISONOUS AND HAZARDOUS SUBSTANCE which should be handled by trained staff only.

    储存条件

    4 °C,-20 °C

    储存方法

    Maintain refrigerated at 2-8 °C for up to 6 months. For long term storage store at -20 °C in small aliquots to prevent freeze-thaw cycles.

    有效期

    6 months
  • Awate, De Benedetti: "TLK1B mediated phosphorylation of Rad9 regulates its nuclear/cytoplasmic localization and cell cycle checkpoint." in: BMC molecular biology, Vol. 17, pp. 3, (2016) (PubMed).

  • 抗原

    CHEK1 (Checkpoint Kinase 1 (CHEK1))

    别名

    CHK1

    背景

    Checkpoint pathways control the order and timing of cell cycle transitions and ensure that critical events, such as DNA replication and chromosome segregation, are completed with high fidelity. The S. pombe Chk1 gene encodes a protein kinase that is required for the DNA damage checkpoint. Antibodies against CHK1 recognized a 54-kD protein on immunoblots of mammalian cell extracts. However,CHK1 is modified in response to DNA damage. In vitro, CHK1 directly phosphorylated a regulator of CDC2 tyrosine phosphorylation, CDC25C. In response to DNA damage, CHK1 phosphorylates and inhibits CDC25C, thus preventing activation of the CDC2-cyclin B complex and mitotic entry. CHK1 directly phosphorylates CDC25A during an unperturbed cell cycle, and that phosphorylation of CDC25A by CHK1 is required for cells to delay cell cycle progression in response to double-strand DNA breaks.

    分子量

    54434

    基因ID

    1111

    NCBI登录号

    NP_001107593, NP_001107594, NP_001231775, NP_001265

    UniProt

    O14757

    途径

    p53 Pathway, Apoptosis, Cell Division Cycle, DNA Damage Repair
You are here: