电话:
+86 (0512) 65829739
传真:
+86 (010) 6788 5057
电子邮件:
orders@antibodies-online.cn

CHEK1 抗体 (pSer345)

This 兔 多克隆 antibody specifically detects CHEK1 in WB, IF, ICC 和 IHC (p). It exhibits reactivity toward 人.It has been mentioned in 1 publication
产品编号 ABIN2857048
发货至: 中国
Contact our Customer Service for availability and price in your country. Contact Info

Our Local Distributor

中国
北京 101111
No. 88 KeChuang 6th Street
Beijing Economic Technological Development Area
Room 801-803
4A Biotech Co.,Ltd.
Tel +86 (0512) 65829739 传真 +86 (010) 6788 5057

Quick Overview for CHEK1 抗体 (pSer345) (ABIN2857048)

抗原

See all CHEK1 抗体
CHEK1 (Checkpoint Kinase 1 (CHEK1))

适用

  • 224
  • 131
  • 80
  • 16
  • 11
  • 8
  • 7
  • 6
  • 6
  • 5
  • 4
  • 3
  • 2
  • 1
  • 1

宿主

  • 236
  • 15
  • 5
  • 3

克隆类型

  • 191
  • 69
多克隆

标记

  • 130
  • 15
  • 9
  • 8
  • 7
  • 7
  • 7
  • 7
  • 7
  • 7
  • 4
  • 4
  • 4
  • 4
  • 4
  • 4
  • 4
  • 4
  • 4
  • 4
  • 4
  • 3
  • 3
  • 3
  • 3
This CHEK1 antibody is un-conjugated

应用范围

  • 209
  • 87
  • 74
  • 70
  • 53
  • 41
  • 40
  • 31
  • 22
  • 15
  • 10
  • 7
  • 6
  • 3
  • 1
  • 1
Western Blotting (WB), Immunofluorescence (IF), Immunocytochemistry (ICC), Immunohistochemistry (Paraffin-embedded Sections) (IHC (p))
  • 抗原表位

    • 38
    • 30
    • 20
    • 19
    • 17
    • 7
    • 7
    • 6
    • 5
    • 4
    • 2
    • 2
    • 2
    • 2
    • 2
    • 2
    • 2
    • 2
    • 2
    • 2
    • 2
    • 2
    • 2
    • 1
    • 1
    • 1
    • 1
    • 1
    • 1
    • 1
    • 1
    • 1
    • 1
    • 1
    • 1
    • 1
    • 1
    • 1
    • 1
    • 1
    • 1
    • 1
    • 1
    • 1
    pSer345

    交叉反应

    人, 小鼠

    产品特性

    Rabbit Polyclonal antibody to Chk1 (phospho Ser345) (CHK1 checkpoint homolog (S. pombe))
    Chk1 (phospho Ser345) antibody [C1C2], Internal

    纯化方法

    Purified by antigen-affinity chromatography.

    免疫原

    Carrier-protein conjugated synthetic peptide surrounding phospho Ser345 of human Chk1. The exact sequence is proprietary.

    亚型

    IgG
  • 应用备注

    WB: 1:500-1:3000. ICC/IF: 1:100-1:1000. IHC-P: 1:100-1:1000. Optimal dilutions/concentrations should be determined by the researcher. Not tested in other applications.

    说明

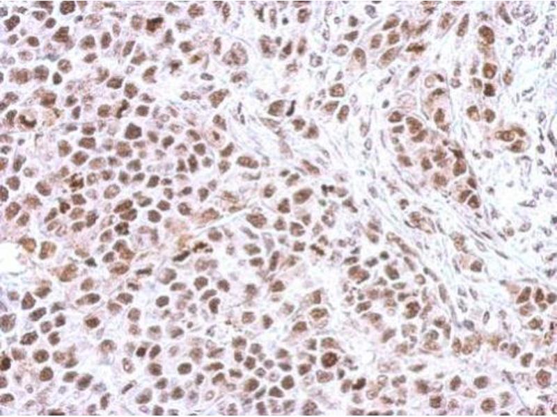
    Positive Control: HCT116 cells with 30uM cisplatin treatment for 24hr , HCT116 P53 cell

    Validation: Orthogonal

    限制

    仅限研究用
  • 状态

    Liquid

    浓度

    1.66 mg/mL

    缓冲液

    1XPBS ( pH 7), 1 % BSA, 20 % Glycerol, 0.025 % ProClin 300

    储存液

    ProClin

    注意事项

    This product contains ProClin: a POISONOUS AND HAZARDOUS SUBSTANCE which should be handled by trained staff only.

    储存条件

    4 °C,-20 °C

    储存方法

    Store as concentrated solution. Centrifuge briefly prior to opening vial. For short-term storage (1-2 weeks), store at 4°C. For long-term storage, aliquot and store at -20°C or below. Avoid multiple freeze-thaw cycles.
  • Xu, Zhou, Xiong, Zou, Deng, Ganaie, Kleiboeker, Peng, Liu, Wang, Ye, Qiu: "Parvovirus B19 NS1 protein induces cell cycle arrest at G2-phase by activating the ATR-CDC25C-CDK1 pathway." in: PLoS pathogens, Vol. 13, Issue 3, pp. e1006266, (2017) (PubMed).

  • 抗原

    CHEK1 (Checkpoint Kinase 1 (CHEK1))

    别名

    checkpoint kinase 1

    背景

    Required for checkpoint mediated cell cycle arrest in response to DNA damage or the presence of unreplicated DNA. May also negatively regulate cell cycle progression during unperturbed cell cycles. Recognizes the substrate consensus sequence [R-X-X-S/T]. Binds to and phosphorylates CDC25A, CDC25B and CDC25C. Phosphorylation of CDC25A at 'Ser-178' and 'Thr-507' and phosphorylation of CDC25C at 'Ser-216' creates binding sites for 14-3-3 proteins which inhibit CDC25A and CDC25C. Phosphorylation of CDC25A at 'Ser-76', 'Ser-124', 'Ser-178', 'Ser-279' and 'Ser-293' promotes proteolysis of CDC25A. Inhibition of CDC25 activity leads to increased inhibitory tyrosine phosphorylation of CDK-cyclin complexes and blocks cell cycle progression. Binds to and phosphorylates RAD51 at 'Thr-309', which may enhance the association of RAD51 with chromatin and promote DNA repair by homologous recombination. Binds to and phosphorylates TLK1 at 'Ser-743', which prevents the TLK1-dependent phosphorylation of the chromatin assembly factor ASF1A. This may affect chromatin assembly during S phase or DNA repair. May also phosphorylate multiple sites within the C-terminus of TP53, which promotes activation of TP53 by acetylation and enhances suppression of cellular proliferation.

    Cellular Localization: Nucleus , Cytoplasm

    分子量

    54 kDa

    基因ID

    1111

    UniProt

    O14757

    途径

    p53 Pathway, Apoptosis, Cell Division Cycle, DNA Damage Repair
You are here: