电话:
+86 (0512) 65829739
传真:
+86 (010) 6788 5057
电子邮件:
orders@antibodies-online.cn

PTPN11 抗体

(Protein tyrosine Phosphatase, Non-Receptor Type 11 (PTPN11))
The protein encoded by this gene is a member of the protein tyrosine phosphatase (PTP) family. PTPs are known to be signaling molecules that regulate a variety of cellular processes including cell growth, differentiation, mitotic cycle, and oncogenic transformation. This PTP contains two tandem Src homology-2 domains, which function as phospho-tyrosine binding domains and mediate the interaction of this PTP with its substrates. This PTP is widely expressed in most tissues and plays a regulatory role in various cell signaling events that are important for a diversity of cell functions, such as mitogenic activation, metabolic control, transcription regulation, and cell migration. Mutations in this gene are a cause of Noonan syndrome as well as acute myeloid leukemia. Two transcript variants encoding different isoforms have been found for this gene. [provided by RefSeq, May 2012].

222 results

PTPN11 适用: 人 IHC, ELISA, ICC, FACS 宿主: 小鼠 Monoclonal 6D9 unconjugated
Pubmed 2 references
产品编号 ABIN1098117
100 μL
发货至: 中国
获取报价
 
PTPN11 适用: 人 WB, IHC, IF 宿主: 兔 Polyclonal unconjugated
Pubmed 1 reference
产品编号 ABIN3016707
100 μL (More quantities available)
发货至: 中国
获取报价
 
Verified PTPN11 适用: 人 WB, ELISA, IF, FACS 宿主: 山羊 Polyclonal unconjugated
产品编号 ABIN184604
100 μg
发货至: 中国
获取报价
 
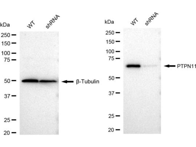
KO Validated PTPN11 适用: 人 WB, IHC (p) 宿主: 兔 Polyclonal unconjugated
产品编号 ABIN2854914
100 μL
发货至: 中国
获取报价
 
PTPN11 适用: 人, 小鼠, 大鼠 WB, IHC, IF, ICC, FACS 宿主: 小鼠 Monoclonal 2E6 unconjugated
产品编号 ABIN6719583
 
PTPN11 适用: 人 WB, IHC (p), FACS 宿主: 兔 Polyclonal RB21493 unconjugated
Pubmed 1 reference
产品编号 ABIN6243732
400 μL (More quantities available)
发货至: 中国
获取报价
 
PTPN11 适用: 人 WB, PLA 宿主: 小鼠 Polyclonal unconjugated
Pubmed 1 reference
产品编号 ABIN519514
50 μg
发货至: 中国
获取报价
 
PTPN11 适用: 人 WB, IF, IP 宿主: 兔 Monoclonal unconjugated
产品编号 ABIN7269704
100 μL (More quantities available)
发货至: 中国
获取报价
 
PTPN11 适用: 人, 小鼠, 大鼠 WB, IHC, ELISA, IF, ICC 宿主: 兔 Polyclonal unconjugated
产品编号 ABIN6256761
100 μL (More quantities available)
发货至: 中国
获取报价
 
PTPN11 适用: 人, 小鼠, 大鼠 WB, IHC, ELISA, IF, ICC 宿主: 兔 Polyclonal unconjugated
产品编号 ABIN6256769
100 μL (More quantities available)
发货至: 中国
获取报价
 
PTPN11 适用: 人, 小鼠, 大鼠 WB, IHC, ELISA, IF, ICC 宿主: 兔 Polyclonal unconjugated
产品编号 ABIN6265075
100 μL (More quantities available)
发货至: 中国
获取报价
 
PTPN11 适用: 人, 犬 WB, FACS 宿主: 小鼠 Monoclonal 3F2 unconjugated
产品编号 ABIN1500499
100 μL
发货至: 中国
获取报价
 
KD Validated PTPN11 适用: 人 WB, FACS 宿主: 兔 Monoclonal 23GB2670 unconjugated Recombinant Antibody
产品编号 ABIN7800040
100 μL
发货至: 中国
获取报价
 
KD Validated PTPN11 适用: 人 WB, FACS 宿主: 兔 Monoclonal 23GB2665 unconjugated Recombinant Antibody
产品编号 ABIN7800041
100 μL
发货至: 中国
获取报价
 
KD Validated PTPN11 适用: 人 WB, FACS 宿主: 兔 Monoclonal 24GB5055 unconjugated Recombinant Antibody
产品编号 ABIN7800042
100 μL
发货至: 中国
获取报价
 
PTPN11 适用: 人, 小鼠, 大鼠 WB, IHC 宿主: 兔 Polyclonal unconjugated
产品编号 ABIN3043912
 
PTPN11 适用: 人 WB, IHC, ELISA, FACS 宿主: 兔 Polyclonal unconjugated
产品编号 ABIN3032394
0.4 mL (More quantities available)
发货至: 中国
获取报价
 
PTPN11 适用: 人 WB, IF, IP 宿主: 兔 Polyclonal unconjugated
产品编号 ABIN6146440
100 μL (More quantities available)
发货至: 中国
获取报价
 
PTPN11 适用: 小鼠, 大鼠 WB, ELISA, IHC (p), IF (cc), IF (p), IHC (fro) 宿主: 兔 Polyclonal unconjugated
产品编号 ABIN712541
 
PTPN11 适用: 小鼠, 大鼠 WB, ELISA, IHC (p), ICC, IF (cc), IF (p), IHC (fro) 宿主: 兔 Polyclonal unconjugated
产品编号 ABIN745838
 
  • 类型 Primary
    • Primary
  • 应用范围
    • Western Blotting (WB)
    • Immunohistochemistry (IHC)
    • Immunofluorescence (IF)
    • ELISA
    • Immunocytochemistry (ICC)
    • Immunoprecipitation (IP)
    • Immunofluorescence (Cultured Cells) (IF (cc))
    • Immunofluorescence (Paraffin-embedded Sections) (IF (p))
    • Immunohistochemistry (Paraffin-embedded Sections) (IHC (p))
    • Flow Cytometry (FACS)
    • Immunohistochemistry (Frozen Sections) (IHC (fro))
    • Enzyme Immunoassay (EIA)
    • Immunochromatography (IC)
    • Proximity Ligation Assay (PLA)
  • 适用
    • Human
    • Mouse
    • Rat
    • Rabbit
    • Cow
    • Horse
    • Chicken
    • Dog
    • Pig
    • Monkey
    • Guinea Pig
    • Xenopus laevis
    • Zebrafish (Danio rerio)
    • Sheep
    • Bat
  • 论文引用
  • 图像
  • 仅无防腐剂
  • Carrier free only
  • 抗体来源
    • Rabbit
    • Mouse
    • Sheep
    • Goat
  • 克隆形成能力
    • Polyclonal
    • Monoclonal
  • 克隆
    • S08-3G2
    • SN61-01
    • 246CT9-8-2
    • 3F2
    • 11B5
    • 13B658
    • 23GB2665
    • 23GB2670
    • 24GB5055
    • 2E2
    • 2E6
    • 6D9
    • 6G11
    • 6T2
    • 8A1F
    • FAB-16
    • GBO-16
    • PT0592R
    • RB20780
    • RB21493
    • RB7283
  • 抗原表位
    • pTyr542
    • pTyr580
    • pTyr584
    • pTyr81
    • C-Term
    • N-Term
    • AA 246-520
    • AA 1-460
    • Tyr542
    • AA 2-593
    • AA 520-547
    • AA 526-551
    • AA 540-544
    • AA 543-593
    • AA 578-582
    • AA 582-597
    • AA 69-99
    • AA 1-593
    • AA 143-192
    • AA 2-99
    • AA 263-329
    • AA 290-370
    • AA 321-370
    • AA 508-557
    • AA 510-560
    • AA 514-593
    • AA 546-595
    • AA 576-593
    • Glu574
    • Internal Region
    • Lys536
    • Ser350
    • Thr494
    • Thr497
    • Tyr580
    • pSer576
  • 标记
    • 非结合性
    • Biotin
    • Alexa Fluor 488
    • Alexa Fluor 555
    • Alexa Fluor 594
    • Alexa Fluor 647
    • Alexa Fluor 680
    • Alexa Fluor 750
    • FITC
    • Alexa Fluor 350
    • Alexa Fluor 405
    • HRP
    • APC
    • AbBy Fluor® 350
    • AbBy Fluor® 488
    • AbBy Fluor® 555
    • AbBy Fluor® 594
    • AbBy Fluor® 647
    • AbBy Fluor® 680
    • AbBy Fluor® 750
    • Cy3
    • Cy5
    • Cy5.5
    • Cy7
    • Magnetic Particles
    • PE
    • Sepharose
  • 抗体亚型
    • IgG
    • IgG1 kappa
    • Ig Fraction
    • IgG1
    • IgG2a
    • IgG2b
    • kappa
  • 蛋白类型
    • Recombinant Antibody
  • Format
    • Liquid
    • Lyophilized
  • Grade
    • KD Validated
    • KO Validated
    • Verified
  • Supplier
    • antibodies-online
    • Signalway
    • Boster Bio
    • Abbexa
    • Acris
    • USBio
    • Abcepta
    • Assay Biotechnology Company, Inc.
    • Angio-Proteomie
    • Aviva Systems Biology
    • ProSci
    • Biomatik
    • Cohesion Biosciences
    • NSJ Bioreagents
    • ProteoGenix

Latest Publications for our PTPN11 抗体

Ganesan, Rasool: "Interleukin 17 regulates SHP-2 and IL-17RA/STAT-3 dependent Cyr61, IL-23 and GM-CSF expression and RANKL mediated osteoclastogenesis by fibroblast-like synoviocytes in rheumatoid arthritis." in: Molecular immunology, Vol. 91, pp. 134-144, (2017) (PubMed).

Yan, Zhou, Chen, Li, Yang, You, Ling: "Effects of mitochondrial translocation of telomerase on drug resistance in hepatocellular carcinoma cells." in: Journal of Cancer, Vol. 6, Issue 2, pp. 151-9, (2015) (PubMed).

Chang, Gao, Han, Du, Liu, Wang, Tan, Zhang, Liu, Zhu, Yu, Fan, Zhang, Zhou, Wang, Fu, Cao: "Gene expression profiling-derived immunohistochemistry signature with high prognostic value in colorectal carcinoma." in: Gut, Vol. 63, Issue 9, pp. 1457-67, (2014) (PubMed).

Liu, Chen, Chau, Jan, Chen, Hsu, Lin, Juang, Lu, Cheng, Chen, Chang, Ting, Kao, Hsiao, Huang: "Analysis of protein-protein interactions in cross-talk pathways reveals CRKL protein as a novel prognostic marker in hepatocellular carcinoma." in: Molecular & cellular proteomics : MCP, Vol. 12, Issue 5, pp. 1335-49, (2013) (PubMed).

Li, Modi, McDonald, Rossi, Yee, Bhatia: "A critical role for SHP2 in STAT5 activation and growth factor-mediated proliferation, survival, and differentiation of human CD34+ cells." in: Blood, Vol. 118, Issue 6, pp. 1504-15, (2011) (PubMed).

Bard-Chapeau, Li, Ding, Zhang, Zhu, Princen, Fang, Han, Bailly-Maitre, Poli, Varki, Wang, Feng: "Ptpn11/Shp2 acts as a tumor suppressor in hepatocellular carcinogenesis." in: Cancer cell, Vol. 19, Issue 5, pp. 629-39, (2011) (PubMed).

Yao, Zhu, Zhao, Liu, Luo, Yin: "Arctigenin enhances chemosensitivity of cancer cells to cisplatin through inhibition of the STAT3 signaling pathway." in: Journal of cellular biochemistry, Vol. 112, Issue 10, pp. 2837-49, (2011) (PubMed).

Carver, Piazza, Schuler: "Prolactin enhances insulin-like growth factor I receptor phosphorylation by decreasing its association with the tyrosine phosphatase SHP-2 in MCF-7 breast cancer cells." in: The Journal of biological chemistry, Vol. 285, Issue 11, pp. 8003-12, (2010) (PubMed).

Rani, Dhandapany, Nallari, Govindaraj, Singh, Thangaraj: "Mitochondrial DNA haplogroup 'R' is associated with Noonan syndrome of south India." in: Mitochondrion, Vol. 10, Issue 2, pp. 166-73, (2010) (PubMed).

Bakken, He, Cannon: "The phosphatase Shp2 is required for signaling by the Kaposi's sarcoma-associated herpesvirus viral GPCR in primary endothelial cells." in: Virology, Vol. 397, Issue 2, pp. 379-88, (2010) (PubMed).

Aliases for PTPN11 抗体

protein tyrosine phosphatase, non-receptor type 11 (PTPN11) 抗体
protein tyrosine phosphatase, non-receptor type 11 (Ptpn11) 抗体
protein tyrosine phosphatase, non-receptor type 11 S homeolog (ptpn11.S) 抗体
protein tyrosine phosphatase, non-receptor type 11, a (ptpn11a) 抗体
protein tyrosine phosphatase, non-receptor type 11, b (ptpn11b) 抗体
2700084A17Rik 抗体
AW536184 抗体
BPTP3 抗体
bptp3 抗体
CFC 抗体
cfc 抗体
fa14b09 抗体
NS1 抗体
ns1 抗体
PTP-1D 抗体
ptp-2 抗体
PTP1D 抗体
PTP2C 抗体
ptp2c 抗体
ptpn11 抗体
ptpn11-a 抗体
ptpn11-b 抗体
SAP-2 抗体
SH-PTP2 抗体
SH-PTP3 抗体
SHP-2 抗体
shp-2 抗体
SHP2 抗体
Shp2 抗体
shp2 抗体
Syp 抗体
SYP 抗体
wu:fa14b09 抗体
wu:fi24f03 抗体
zgc:55388 抗体
zgc:63553 抗体
You are here: