电话:
+86 (0512) 65829739
传真:
+86 (010) 6788 5057
电子邮件:
orders@antibodies-online.cn

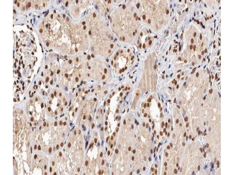
p53 抗体 (pSer315)

The 兔 多克隆 anti-p53 antibody (ABIN6256267) specifically detects p53 in WB, IHC, ELISA, IF, IP 和 ICC. The antibody is reactive with 人 samples.
产品编号 ABIN6256267
发货至: 中国
Contact our Customer Service for availability and price in your country. Contact Info

Our Local Distributor

中国
北京 101111
No. 88 KeChuang 6th Street
Beijing Economic Technological Development Area
Room 801-803
4A Biotech Co.,Ltd.
Tel +86 (0512) 65829739 传真 +86 (010) 6788 5057

Quick Overview for p53 抗体 (pSer315) (ABIN6256267)

抗原

See all p53 (TP53) 抗体
p53 (TP53) (Tumor Protein P53 (TP53))

适用

  • 992
  • 322
  • 254
  • 138
  • 70
  • 69
  • 58
  • 35
  • 12
  • 12
  • 11
  • 8
  • 6
  • 4
  • 3
  • 3
  • 3
  • 2
  • 2
  • 1
  • 1
  • 1
  • 1

宿主

  • 766
  • 254
  • 5
  • 3
  • 2
  • 2

克隆类型

  • 582
  • 449
  • 1
多克隆

标记

  • 496
  • 55
  • 31
  • 23
  • 22
  • 22
  • 22
  • 22
  • 22
  • 19
  • 18
  • 14
  • 14
  • 14
  • 14
  • 14
  • 14
  • 14
  • 14
  • 14
  • 13
  • 13
  • 13
  • 13
  • 13
  • 13
  • 12
  • 11
  • 11
  • 11
  • 11
  • 11
  • 2
  • 2
  • 2
  • 1
  • 1
  • 1
This p53 antibody is un-conjugated

应用范围

  • 798
  • 298
  • 286
  • 278
  • 251
  • 153
  • 149
  • 148
  • 131
  • 122
  • 65
  • 60
  • 32
  • 15
  • 12
  • 12
  • 10
  • 8
  • 8
  • 6
  • 3
  • 3
  • 2
  • 2
  • 2
  • 2
  • 2
  • 1
  • 1
  • 1
  • 1
  • 1
  • 1
  • 1
  • 1
  • 1
  • 1
Western Blotting (WB), Immunohistochemistry (IHC), ELISA, Immunofluorescence (IF), Immunoprecipitation (IP), Immunocytochemistry (ICC)
  • 抗原表位

    • 48
    • 39
    • 37
    • 34
    • 33
    • 32
    • 29
    • 27
    • 27
    • 25
    • 20
    • 20
    • 20
    • 20
    • 19
    • 18
    • 17
    • 16
    • 15
    • 15
    • 13
    • 12
    • 10
    • 8
    • 7
    • 7
    • 7
    • 7
    • 6
    • 6
    • 6
    • 6
    • 6
    • 6
    • 5
    • 5
    • 4
    • 4
    • 4
    • 4
    • 4
    • 4
    • 3
    • 3
    • 3
    • 3
    • 3
    • 3
    • 3
    • 3
    pSer315

    特异性

    Phospho-p53 (Ser315) Antibody detects endogenous levels of p53 only when phosphorylated at Serine 315.

    预测反应

    Bovine,Horse

    纯化方法

    The antibody is from purified rabbit serum by affinity purification via sequential chromatography on phospho- and non-phospho-peptide affinity columns.

    免疫原

    A synthesized peptide derived from human p53 around the phosphorylation site of Ser315.

    亚型

    IgG
  • 应用备注

    WB 1:500-1:2000, IHC 1:50-1:200, IP, IF/ICC 1:100-1:500, ELISA(peptide) 1:20000-1:40000

    限制

    仅限研究用
  • 状态

    Liquid

    浓度

    1 mg/mL

    缓冲液

    Rabbit IgG in phosphate buffered saline , pH 7.4, 150 mM NaCl, 0.02 % sodium azide and 50 % glycerol.

    储存液

    Sodium azide

    注意事项

    This product contains Sodium azide: a POISONOUS AND HAZARDOUS SUBSTANCE which should be handled by trained staff only.

    储存条件

    -20 °C

    储存方法

    Store at -20 °C. Stable for 12 months from date of receipt.

    有效期

    12 months
  • 抗原

    p53 (TP53) (Tumor Protein P53 (TP53))

    别名

    TP53

    背景

    Description: Acts as a tumor suppressor in many tumor types, induces growth arrest or apoptosis depending on the physiological circumstances and cell type. Involved in cell cycle regulation as a trans-activator that acts to negatively regulate cell division by controlling a set of genes required for this process. One of the activated genes is an inhibitor of cyclin-dependent kinases. Apoptosis induction seems to be mediated either by stimulation of BAX and FAS antigen expression, or by repression of Bcl-2 expression. In cooperation with mitochondrial PPIF is involved in activating oxidative stress-induced necrosis, the function is largely independent of transcription. Induces the transcription of long intergenic non-coding RNA p21 (lincRNA-p21) and lincRNA-Mkln1. LincRNA-p21 participates in TP53-dependent transcriptional repression leading to apoptosis and seem to have to effect on cell-cycle regulation. Implicated in Notch signaling cross-over. Prevents CDK7 kinase activity when associated to CAK complex in response to DNA damage, thus stopping cell cycle progression. Isoform 2 enhances the transactivation activity of isoform 1 from some but not all TP53-inducible promoters. Isoform 4 suppresses transactivation activity and impairs growth suppression mediated by isoform 1. Isoform 7 inhibits isoform 1-mediated apoptosis. Regulates the circadian clock by repressing CLOCK-ARNTL/BMAL1-mediated transcriptional activation of PER2 (PubMed:24051492).

    Gene: TP53

    分子量

    53kDa

    基因ID

    7157

    UniProt

    P04637

    途径

    p53 Pathway, MAPK Pathway, PI3K-Akt Signaling, Apoptosis, AMPK Signaling, Chromatin Binding, ER-Nucleus Signaling, Positive Regulation of Endopeptidase Activity, Hepatitis C, Protein targeting to Nucleus, Autophagy, Warburg Effect
You are here: