电话:
+86 (0512) 65829739
传真:
+86 (010) 6788 5057
电子邮件:
orders@antibodies-online.cn

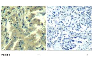
Phospholipase C gamma 2 抗体 (Tyr1217)

PLCG2 适用: 人, 大鼠, 小鼠 IF, IHC (p) 宿主: 兔 Polyclonal unconjugated
产品编号 ABIN319402
发货至: 中国
  • 抗原 See all Phospholipase C gamma 2 (PLCG2) 抗体
    Phospholipase C gamma 2 (PLCG2)
    抗原表位
    • 27
    • 15
    • 15
    • 12
    • 6
    • 5
    • 4
    • 3
    • 3
    • 2
    • 2
    • 2
    • 2
    • 1
    • 1
    • 1
    • 1
    • 1
    • 1
    Tyr1217
    适用
    • 107
    • 50
    • 37
    • 6
    • 4
    • 4
    • 4
    • 4
    • 3
    • 1
    人, 大鼠, 小鼠
    宿主
    • 101
    • 6
    克隆类型
    • 101
    • 6
    多克隆
    标记
    • 49
    • 6
    • 4
    • 4
    • 3
    • 3
    • 3
    • 3
    • 3
    • 3
    • 3
    • 3
    • 3
    • 3
    • 2
    • 2
    • 2
    • 2
    • 2
    • 2
    • 2
    This Phospholipase C gamma 2 antibody is un-conjugated
    应用范围
    • 83
    • 37
    • 37
    • 32
    • 31
    • 19
    • 18
    • 12
    • 11
    • 7
    • 6
    • 2
    • 1
    • 1
    Immunofluorescence (IF), Immunohistochemistry (Paraffin-embedded Sections) (IHC (p))
    特异性
    This antibody detects endogenous levels of total PLC-gamma 2 protein.
    纯化方法
    Immunoaffinity Chromatography
    免疫原
    The antiserum was produced against synthesized non-phosphopeptide derived from human PLC-gamma 2 around the phosphorylation site of Tyrosine 1217 (F-L-YP-D-T).
    Top Product
    Discover our top product PLCG2 Primary Antibody
  • 应用备注
    Immunohistochemistry (1/50-1/100).
    Other applications not tested.
    Optimal dilutions are dependent on conditions and should be determined by the user.
    限制
    仅限研究用
  • 浓度
    1,0 mg/mL
    缓冲液
    PBS (without Mg2+ and Ca2+), pH 7.4, 150 mM NaCl, 0.02 % Sodium Azide and 50 % Glycerol.
    储存液
    Sodium azide
    注意事项
    This product contains sodium azide: a POISONOUS AND HAZARDOUS SUBSTANCE which should be handled by trained staff only.
    注意事项
    Avoid repeated freezing and thawing.
    储存条件
    -20 °C
    储存方法
    Store the antibody (in aliquots) at-20 °C.
  • 抗原
    Phospholipase C gamma 2 (PLCG2)
    别名
    PLCG2 (PLCG2 产品)
    背景
    Synonyms: 1-phosphatidylinositol-4, 5-bisphosphate phosphodiesterase gamma-2, PLC-IV, PLC-gamma-2, Phosphoinositide phospholipase C-gamma-2, Phospholipase C-IV, Phospholipase C-gamma-2
    基因ID
    5336
    NCBI登录号
    NP_002652
    UniProt
    P16885
    途径
    RTK signaling, WNT signaling, Fc-epsilon Receptor Signaling Pathway, Inositol Metabolic Process, Myometrial Relaxation and Contraction, Toll-Like Receptors Cascades, VEGF Signaling, BCR Signaling
You are here:
Chat with us!