HRAS 抗体
Our Local Distributor
北京 101111
Quick Overview for HRAS 抗体 (ABIN302083)
抗原
See all HRAS 抗体适用
宿主
克隆类型
标记
应用范围
克隆位点
-
-
原理
- Anti-H-RAS Purified
-
交叉反应 (详细)
- Human, Other not determined
-
产品特性
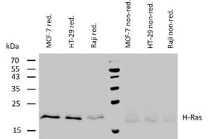
- The mouse monoclonal antibody H-RAS-03 reacts with human H-Ras, an ubiquitously expressed 21 kDa intracellular protein. Although reactivity with other species has not been determined, it is probable as the epitope is highly conserved among animals.
-
纯化方法
- Purified by protein-A affinity chromatography.
-
纯度
- > 95 % (by SDS-PAGE)
-
免疫原
- Peptide corresponding to amino acids DIHQYREQIKRVKDSDDC of human H-Ras protein
-
亚型
- IgG1
-
-
-
-
应用备注
- Western blotting: Recommended dilution: 1-2 μg/mL, reducing conditions.
-
限制
- 仅限研究用
-
-
-
状态
- Liquid
-
浓度
- 1 mg/mL
-
缓冲液
- Phosphate buffered saline (PBS), pH 7.4, 15 mM sodium azide
-
储存液
- Sodium azide
-
注意事项
- This product contains Sodium azide: a POISONOUS AND HAZARDOUS SUBSTANCE which should be handled by trained staff only.
-
注意事项
- Do not freeze
-
储存条件
- 4 °C
-
储存方法
- Store at 2-8°C. Do not freeze.
-
-
- HRAS (HRas proto-oncogene, GTPase (HRAS))
-
别名
- H-RAS
-
背景
- HRas proto-oncogene,H-Ras is one of three ubiquitously isoforms of Ras GTPase that operate at the intracellular leaflet of the plasma membrane to regulate multiple signal transduction pathways, such as mitogen-activated protein kinase (MAPK) cascade. H-Ras is anchored to the plasma membrane by farnesyl and two palmityl residues. GTP loading decreases H-Ras affinity for lipid rafts and allows the protein to target to nonraft microdomains, the primary sites of H-Ras signaling. Sos protein and other guanine nucleotide-exchange factors catalyze dissociation of GDP from Ras. Besides its roles in the plasma membrane, active H-Ras also diffuses through the cytoplasm on nanoparticles termed rasosomes, which is dependent on Ras palmitoylation.,Ras-H, HRAS, p21Ras
-
基因ID
- 3265
-
UniProt
- P01112
-
途径
- p53 Pathway, MAPK Pathway, RTK signaling, Fc-epsilon Receptor Signaling Pathway, EGFR Signaling Pathway, Neurotrophin Signaling Pathway, Hepatitis C, Autophagy, Signaling Events mediated by VEGFR1 and VEGFR2, Signaling of Hepatocyte Growth Factor Receptor, Regulation of long-term Neuronal Synaptic Plasticity, VEGF Signaling, BCR Signaling
抗原
-