电话:
+86 (0512) 65829739
传真:
+86 (010) 6788 5057
电子邮件:
orders@antibodies-online.cn

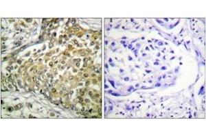
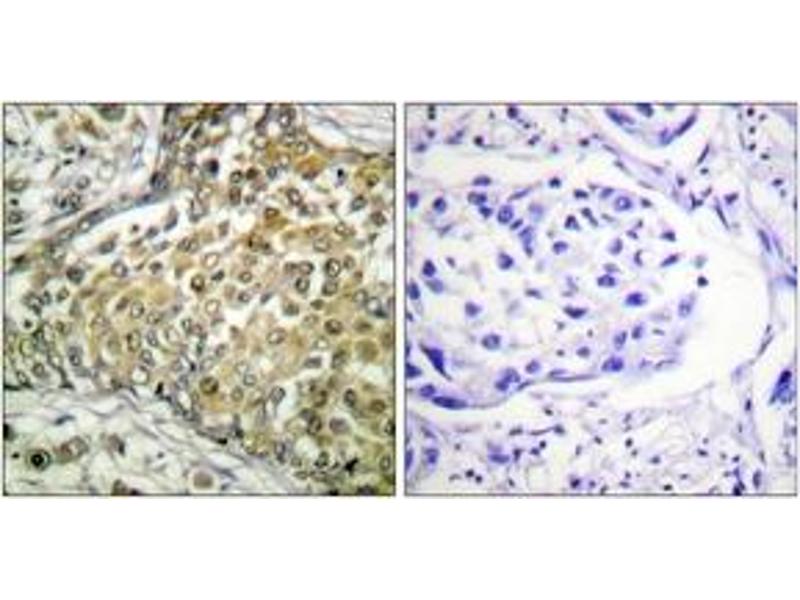
p53 抗体 (acLys381)

The 兔 多克隆 anti-p53 antibody (ABIN1535528) specifically detects p53 in IHC, ELISA 和 IF. The antibody is reactive with 人, 小鼠 和 大鼠 samples.
产品编号 ABIN1535528
发货至: 中国
Contact our Customer Service for availability and price in your country. Contact Info

Our Local Distributor

中国
北京 101111
No. 88 KeChuang 6th Street
Beijing Economic Technological Development Area
Room 801-803
4A Biotech Co.,Ltd.
Tel +86 (0512) 65829739 传真 +86 (010) 6788 5057

Quick Overview for p53 抗体 (acLys381) (ABIN1535528)

抗原

See all p53 (TP53) 抗体
p53 (TP53) (Tumor Protein P53 (TP53))

适用

  • 992
  • 321
  • 253
  • 138
  • 70
  • 69
  • 58
  • 35
  • 12
  • 12
  • 11
  • 8
  • 6
  • 4
  • 3
  • 3
  • 3
  • 2
  • 2
  • 1
  • 1
  • 1
  • 1
人, 小鼠, 大鼠

宿主

  • 766
  • 254
  • 5
  • 3
  • 2
  • 2

克隆类型

  • 582
  • 449
  • 1
多克隆

标记

  • 496
  • 55
  • 31
  • 23
  • 22
  • 22
  • 22
  • 22
  • 22
  • 19
  • 18
  • 14
  • 14
  • 14
  • 14
  • 14
  • 14
  • 14
  • 14
  • 14
  • 13
  • 13
  • 13
  • 13
  • 13
  • 13
  • 12
  • 11
  • 11
  • 11
  • 11
  • 11
  • 2
  • 2
  • 2
  • 1
  • 1
  • 1
This p53 antibody is un-conjugated

应用范围

  • 799
  • 298
  • 286
  • 278
  • 251
  • 153
  • 150
  • 149
  • 131
  • 122
  • 65
  • 60
  • 32
  • 15
  • 12
  • 12
  • 10
  • 8
  • 8
  • 6
  • 3
  • 3
  • 2
  • 2
  • 2
  • 2
  • 2
  • 1
  • 1
  • 1
  • 1
  • 1
  • 1
  • 1
  • 1
  • 1
  • 1
Immunohistochemistry (IHC), ELISA, Immunofluorescence (IF)
  • 抗原表位

    • 48
    • 39
    • 38
    • 34
    • 33
    • 32
    • 29
    • 27
    • 27
    • 25
    • 20
    • 20
    • 20
    • 20
    • 19
    • 18
    • 17
    • 16
    • 15
    • 15
    • 13
    • 12
    • 10
    • 8
    • 7
    • 7
    • 7
    • 7
    • 6
    • 6
    • 6
    • 6
    • 6
    • 6
    • 5
    • 5
    • 4
    • 4
    • 4
    • 4
    • 4
    • 3
    • 3
    • 3
    • 3
    • 3
    • 3
    • 3
    • 3
    • 3
    AA 344-393, acLys381

    特异性

    p53 (Acetyl-Lys379) Antibody detects endogenous levels of total p53 protein only when acetylated at Lys379.

    AcetylationH:K381 M:K375 R:K379

    纯化方法

    The antibody was purified from rabbit antiserum by affinity-chromatography using acetylated peptide. The antibody against non-acetylated peptide was removed by chromatography using corresponding non-acetylated peptide.

    纯度

    > 95 %

    免疫原

    The antiserum was produced against synthesized peptide derived from human p53 around the acetylated site of Lys379.

    亚型

    IgG
  • 应用备注

    IHC: 1:50~1:100 IF: 1:100~1:500 ELISA: 1:10000

    说明

    Unigene-Number: Hs.654481 (NCBI Gene Symbol: TP53)

    限制

    仅限研究用
  • 状态

    Liquid

    浓度

    1 mg/mL

    缓冲液

    phosphate buffered saline (without Mg2+ and Ca2+), pH 7.4, 150 mM NaCl, 0.02 % sodium azide and 50 % glycerol.

    储存液

    Sodium azide

    注意事项

    This product contains sodium azide: a POISONOUS AND HAZARDOUS SUBSTANCE which should be handled by trained staff only.

    储存条件

    -20 °C

    储存方法

    Stable at -20°C for at least 1 year.

    有效期

    12 months
  • 抗原

    p53 (TP53) (Tumor Protein P53 (TP53))

    别名

    p53

    背景

    Synonyms: Antigen NY-CO-13, Cellular tumor antigen p53, Phosphoprotein p53, TP53, Tumor suppressor p53

    NCBI Gene Symbol: TP53

    分子量

    43 kDa

    基因ID

    7157

    OMIM

    133239

    UniProt

    P04637

    途径

    p53 Pathway, MAPK Pathway, PI3K-Akt Signaling, Apoptosis, AMPK Signaling, Chromatin Binding, ER-Nucleus Signaling, Positive Regulation of Endopeptidase Activity, Hepatitis C, Protein targeting to Nucleus, Autophagy, Warburg Effect
You are here: