电话:
+86 (0512) 65829739
传真:
+86 (010) 6788 5057
电子邮件:
orders@antibodies-online.cn

RPL14 抗体

(Ribosomal Protein L14 (RPL14))
Ribosomes, the organelles that catalyze protein synthesis, consist of a small 40S subunit and a large 60S subunit. Together these subunits are composed of 4 RNA species and approximately 80 structurally distinct proteins. This gene encodes a ribosomal protein that is a component of the 60S subunit. The protein belongs to the L14E family of ribosomal proteins. It contains a basic region-leucine zipper (bZIP)-like domain. The protein is located in the cytoplasm. This gene contains a trinucleotide (GCT) repeat tract whose length is highly polymorphic\; these triplet repeats result in a stretch of alanine residues in the encoded protein. Transcript variants utilizing alternative polyA signals and alternative 5'-terminal exons exist but all encode the same protein. As is typical for genes encoding ribosomal proteins, there are multiple processed pseudogenes of this gene dispersed through the genome. [provided by RefSeq, Jul 2008].

40 results

RPL14 适用: 人 WB, IF, FACS 宿主: 兔 Polyclonal RB55360 unconjugated
产品编号 ABIN6242838
200 μL (More quantities available)
发货至: 中国
获取报价
 
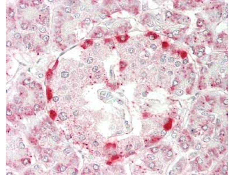
RPL14 适用: 人 WB, ELISA, IHC (p) 宿主: 小鼠 Monoclonal 1B4 unconjugated
产品编号 ABIN563920
100 μg
发货至: 中国
获取报价
 
RPL14 适用: 人 WB 宿主: 小鼠 Polyclonal unconjugated
Pubmed 1 reference
产品编号 ABIN948763
50 μg
发货至: 中国
获取报价
 
RPL14 适用: 人, 小鼠, 大鼠 WB, ELISA, IF, ICC 宿主: 兔 Polyclonal unconjugated
产品编号 ABIN6264828
100 μL (More quantities available)
发货至: 中国
获取报价
 
RPL14 适用: 人, 小鼠, 大鼠 WB, ELISA, IHC 宿主: 兔 Polyclonal unconjugated
产品编号 ABIN7248467
200 μL (More quantities available)
发货至: 中国
获取报价
 
RPL14 适用: 人 WB, ELISA 宿主: 小鼠 Monoclonal 1B4 unconjugated
产品编号 ABIN465975
100 μg
发货至: 中国
获取报价
 
RPL14 适用: 人 WB, IF 宿主: 兔 Polyclonal unconjugated
产品编号 ABIN6147112
100 μL (More quantities available)
发货至: 中国
获取报价
 
RPL14 适用: 人, 小鼠, 大鼠 WB, IF 宿主: 兔 Polyclonal unconjugated
产品编号 ABIN7308284
100 μL (More quantities available)
发货至: 中国
获取报价
 
RPL14 适用: 人 WB 宿主: 兔 Polyclonal RB55361 unconjugated
产品编号 ABIN6242837
200 μL (More quantities available)
发货至: 中国
获取报价
 
RPL14 适用: 人, 小鼠, 大鼠 WB, ELISA 宿主: 兔 Polyclonal unconjugated
产品编号 ABIN7244723
200 μL (More quantities available)
发货至: 中国
获取报价
 
RPL14 适用: 人 IP 宿主: 兔 Polyclonal unconjugated
产品编号 ABIN522479
100 μL
发货至: 中国
获取报价
 
RPL14 适用: 人 WB 宿主: 兔 Polyclonal unconjugated
产品编号 ABIN926776
100 μL
发货至: 中国
获取报价
 
RPL14 适用: 人 WB 宿主: 兔 Polyclonal unconjugated
产品编号 ABIN2854337
100 μL
发货至: 中国
获取报价
 
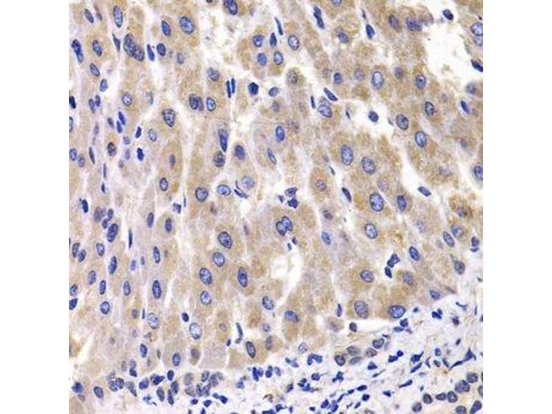
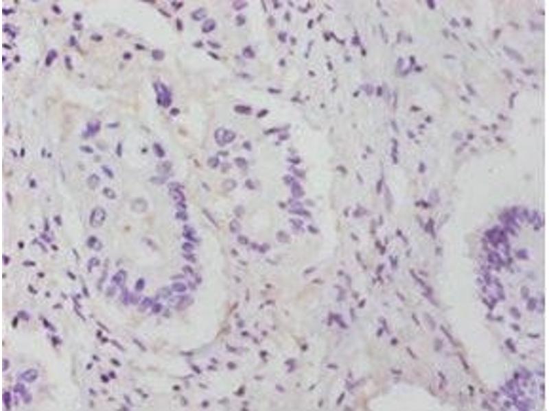
RPL14 适用: 人 ELISA, IHC 宿主: 兔 Polyclonal unconjugated
产品编号 ABIN7142748
100 μg (More quantities available)
发货至: 中国
获取报价
 
RPL14 适用: 人 WB, ELISA, IHC, IHC (p) 宿主: 兔 Polyclonal FITC
产品编号 ABIN2579477
100 μg (More quantities available)
发货至: 中国
获取报价
 
RPL14 适用: 人 WB, ELISA, IHC, IHC (p) 宿主: 兔 Polyclonal HRP
产品编号 ABIN2579478
100 μg (More quantities available)
发货至: 中国
获取报价
 
RPL14 适用: 人 WB, ELISA, IHC, IHC (p) 宿主: 兔 Polyclonal Biotin
产品编号 ABIN2579476
100 μg (More quantities available)
发货至: 中国
获取报价
 
RPL14 适用: 人, 小鼠, 大鼠, 犬, 豚鼠, 猴, Pig WB 宿主: 兔 Polyclonal unconjugated
产品编号 ABIN6747405
100 μL
发货至: 中国
获取报价
 
RPL14 适用: 人, 小鼠, 大鼠 WB, ELISA 宿主: 兔 Polyclonal unconjugated
产品编号 ABIN7225778
100 μL (More quantities available)
发货至: 中国
获取报价
 
RPL14 适用: 人 ELISA 宿主: 兔 Polyclonal HRP
产品编号 ABIN7142751
100 μg (More quantities available)
发货至: 中国
获取报价
 
  • 类型 Primary
    • Primary
  • 应用范围
    • Western Blotting (WB)
    • ELISA
    • Immunohistochemistry (IHC)
    • Immunofluorescence (IF)
    • Immunohistochemistry (Paraffin-embedded Sections) (IHC (p))
    • Flow Cytometry (FACS)
    • Immunocytochemistry (ICC)
    • Immunoprecipitation (IP)
  • 适用
    • Human
    • Mouse
    • Rat
    • Dog
    • Guinea Pig
    • Cow
    • Monkey
    • Pig
    • Rabbit
  • 论文引用
  • 图像
  • 仅无防腐剂
  • Carrier free only
  • 抗体来源
    • Rabbit
    • Mouse
  • 克隆形成能力
    • Polyclonal
    • Monoclonal
  • 克隆
    • 1B4
    • RB55360
    • RB55361
  • 抗原表位
    • AA 2-214
    • C-Term
    • AA 1-220
    • AA 1-91
    • AA 173-204
    • AA 1-105
    • AA 1-135
    • AA 1-207
    • AA 1-215
    • AA 1-90
    • AA 117-147
    • AA 165-215
    • AA 40-120
    • AA 57-106
    • AA 71-120
    • Internal Region
  • 标记
    • 非结合性
    • FITC
    • Biotin
    • HRP
    • Alexa Fluor 488
    • Alexa Fluor 555
    • Alexa Fluor 594
    • Alexa Fluor 647
    • Alexa Fluor 680
    • Alexa Fluor 750
  • 抗体亚型
    • IgG
    • Ig Fraction
    • IgG2a kappa
    • IgG2a
  • Format
    • Liquid
    • Lyophilized
  • Supplier
    • antibodies-online
    • Signalway
    • Assay Biotechnology Company, Inc.
    • Aviva Systems Biology
    • Boster Bio
    • CUSABIO
    • Cohesion Biosciences
    • NSJ Bioreagents
    • RayBiotech
    • USBio

Latest Publications for our RPL14 抗体

Berard, Coombs, Severini: "Quantification of the host response proteome after herpes simplex virus type 1 infection." in: Journal of proteome research, Vol. 14, Issue 5, pp. 2121-42, (2015) (PubMed).

Aliases for RPL14 抗体

60S ribosomal protein L14 (LOC409290) 抗体
ribosomal protein L14 (rpl14) 抗体
ribosomal protein L14 (RPL14) 抗体
rpl14 (rpl14) 抗体
Rpl14 (rpl14) 抗体
ribosomal protein L14 (Rpl14) 抗体
50S ribosomal protein L14 (rpl14) 抗体
Ribosomal protein L14 (RpL14) 抗体
3100001N19Rik 抗体
AA407502 抗体
ACYPI000029 抗体
AL022816 抗体
anon-EST:Posey6 抗体
anon-EST:Posey193U 抗体
CAG-ISL-7 抗体
CG6253 抗体
CTG-B33 抗体
Dmel\\CG6253 抗体
GB16914 抗体
hRL14 抗体
L14 抗体
M(3) 抗体
M(3)66 抗体
M(3)66D 抗体
M66D 抗体
RL14 抗体
Rpl14 抗体
RPL14 抗体
Rp L14 抗体
rpl14 抗体
You are here: