电话:
+86 (0512) 65829739
传真:
+86 (010) 6788 5057
电子邮件:
orders@antibodies-online.cn

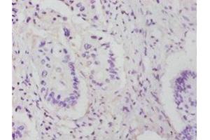
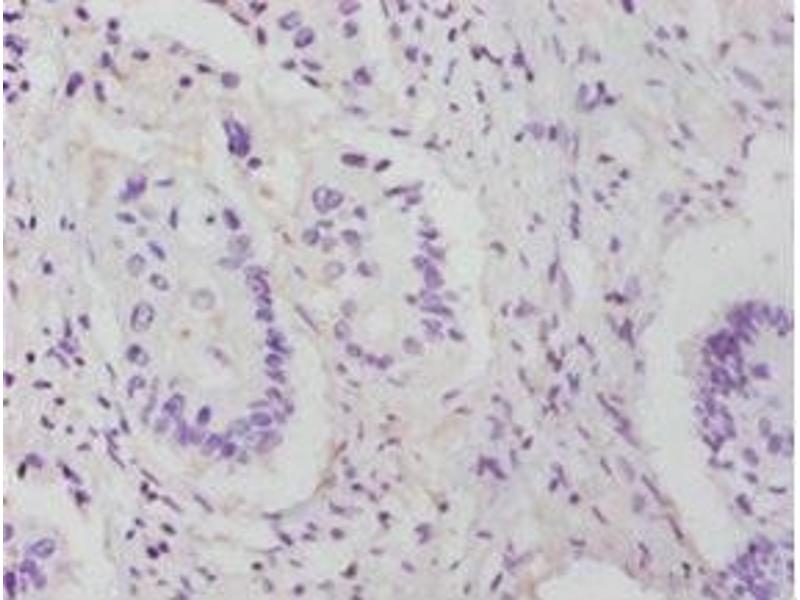
RPL14 抗体 (AA 2-214)

The 兔 多克隆 anti-RPL14 antibody is suitable to detect RPL14 in samples from 人. It has been validated for ELISA 和 IHC.
产品编号 ABIN7142748
发货至: 中国
Contact our Customer Service for availability and price in your country. Contact Info

Our Local Distributor

中国
北京 101111
No. 88 KeChuang 6th Street
Beijing Economic Technological Development Area
Room 801-803
4A Biotech Co.,Ltd.
Tel +86 (0512) 65829739 传真 +86 (010) 6788 5057

Quick Overview for RPL14 抗体 (AA 2-214) (ABIN7142748)

抗原

See all RPL14 抗体
RPL14 (Ribosomal Protein L14 (RPL14))

适用

  • 39
  • 11
  • 11
  • 2
  • 2
  • 1
  • 1
  • 1
  • 1

宿主

  • 35
  • 4

克隆类型

  • 36
  • 3
多克隆

标记

  • 26
  • 3
  • 2
  • 2
  • 1
  • 1
  • 1
  • 1
  • 1
  • 1
This RPL14 antibody is un-conjugated

应用范围

  • 29
  • 18
  • 7
  • 7
  • 4
  • 2
  • 2
  • 1
ELISA, Immunohistochemistry (IHC)
  • 抗原表位

    • 4
    • 3
    • 2
    • 2
    • 2
    • 1
    • 1
    • 1
    • 1
    • 1
    • 1
    • 1
    • 1
    • 1
    • 1
    • 1
    AA 2-214

    原理

    RPL14 Antibody

    纯化方法

    Protein G purified

    纯度

    >95 %

    免疫原

    Recombinant Human 60S ribosomal protein L14 protein (2-214AA)

    亚型

    IgG
  • 应用备注

    Optimal working dilution should be determined by the investigator.

    限制

    仅限研究用
  • 状态

    Liquid

    缓冲液

    Preservative: 0.03 % Proclin 300
    Constituents: 50 % Glycerol, 0.01M PBS, PH 7.4

    储存液

    ProClin

    注意事项

    This product contains ProClin: a POISONOUS AND HAZARDOUS SUBSTANCE which should be handled by trained staff only.

    储存条件

    -20 °C,-80 °C

    储存方法

    Upon receipt, store at -20°C or -80°C. Avoid repeated freeze.
  • 抗原

    RPL14 (Ribosomal Protein L14 (RPL14))

    别名

    RPL14

    背景

    Background: Ribosomes, the organelles that catalyze protein synthesis, consist of a small 40S subunit and a large 60S subunit.Together these subunits are composed of 4 RNA species and approximately 80 structurally distinct proteins.

    Aliases: 3100001N19Rik antibody, 60S ribosomal protein L14 antibody, AA407502 antibody, AL022816 antibody, CAG ISL 7 antibody, CAG-ISL 7 antibody, CTG B33 antibody, hRL 14 antibody, hRL14 antibody, L14 antibody, MGC88594 antibody, Ribosomal protein L14 antibody, RL 14 antibody, RL14 antibody, RL14_HUMAN antibody, RP L14 antibody, RPL 14 antibody, rpl14 antibody

    UniProt

    P50914
You are here: