电话:
+86 (0512) 65829739
传真:
+86 (010) 6788 5057
电子邮件:
orders@antibodies-online.cn

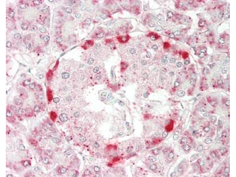
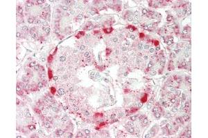
RPL14 抗体 (Biotin)

The Biotin-conjugated 兔 多克隆 anti-RPL14 antibody (ABIN2579476) specifically detects RPL14 in WB, ELISA, IHC 和 IHC (p). The antibody is reactive with 人 samples.
产品编号 ABIN2579476
发货至: 中国
Contact our Customer Service for availability and price in your country. Contact Info

Our Local Distributor

中国
北京 101111
No. 88 KeChuang 6th Street
Beijing Economic Technological Development Area
Room 801-803
4A Biotech Co.,Ltd.
Tel +86 (0512) 65829739 传真 +86 (010) 6788 5057

Quick Overview for RPL14 抗体 (Biotin) (ABIN2579476)

抗原

See all RPL14 抗体
RPL14 (Ribosomal Protein L14 (RPL14))

适用

  • 39
  • 11
  • 11
  • 2
  • 2
  • 1
  • 1
  • 1
  • 1

宿主

  • 35
  • 4

克隆类型

  • 36
  • 3
多克隆

标记

  • 27
  • 3
  • 2
  • 1
  • 1
  • 1
  • 1
  • 1
  • 1
  • 1
This RPL14 antibody is conjugated to Biotin

应用范围

  • 28
  • 18
  • 7
  • 7
  • 3
  • 2
  • 2
  • 1
Western Blotting (WB), ELISA, Immunohistochemistry (IHC), Immunohistochemistry (Paraffin-embedded Sections) (IHC (p))
  • 特异性

    Human RPL14

    纯化方法

    Caprylic acid and ammonium sulfate precipitation

    免疫原

    Recombinant human 60S ribosomal protein L14 protein.

    Type of Immunogen: Recombinant protein

    亚型

    IgG
  • 应用备注

    Approved: ELISA, IHC, IHC-P, WB

    Usage: The applications listed have been tested for the unconjugated form of this product. Other forms have not been tested.

    说明

    Target Species of Antibody: Human

    限制

    仅限研究用
  • 状态

    Liquid

    浓度

    Lot specific

    缓冲液

    PBS,  pH 7.4, 0.03 % Proclin 300, 50 % glycerol.

    储存液

    ProClin

    注意事项

    This product contains ProClin: a POISONOUS AND HAZARDOUS SUBSTANCE which should be handled by trained staff only.

    注意事项

    Avoid freeze-thaw cycles.

    储存条件

    -20 °C,-80 °C

    储存方法

    Aliquot and store at -20°C or -80°C. Avoid freeze-thaw cycles.
  • 抗原

    RPL14 (Ribosomal Protein L14 (RPL14))

    别名

    RPL14

    背景

    Name/Gene ID: RPL14

    Synonyms: RPL14, 60S ribosomal protein L14, CAG-ISL 7, HRL14, MMRPL32, Ribosomal protein L14, RL14, CAG-ISL-7, CTG-B33, L14

    基因ID

    9045
You are here: