电话:
+86 (0512) 65829739
传真:
+86 (010) 6788 5057
电子邮件:
orders@antibodies-online.cn

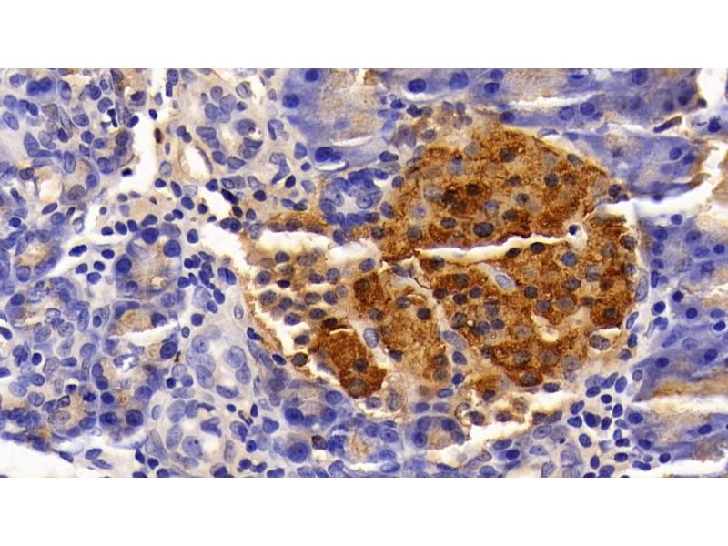
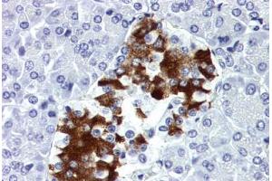
Insulin 抗体

(Insulin (INS))
Insulin, a peptide hormone synthesized within the beta cells of the Islets of Langerhans in the pancreas, serves as a pivotal orchestrator in the intricate regulation of blood glucose concentrations. Operating through a series of intricate cellular mechanisms, insulin exerts its influence on glucose metabolism by modulating cellular glucose uptake, storage, and utilization.

Insulin antibodies are essential tools for studying insulin-related processes and investigating conditions like diabetes. Here are some primary applications for insulin research antibodies:

  • Immunohistochemistry (IHC) and Immunofluorescence (IF): Insulin antibodies are used to visualize the distribution and localization of insulin in tissues. IHC and IF techniques allow researchers to identify insulin-producing cells within pancreatic islets and study changes in insulin expression in response to different physiological or pathological conditions.
  • Cell Signaling Studies: Insulin is a potent signaling molecule that regulates glucose metabolism and cellular responses. Insulin antibodies are utilized to investigate insulin signaling pathways, including receptor activation, downstream kinase cascades, and transcriptional responses.
  • Pharmacological Studies: In drug development and testing, insulin antibodies are used to assess the effects of potential therapeutics on insulin expression, secretion, and signaling. This information is crucial for developing new treatments for diabetes and related conditions.
  • Immunoassays: Insulin antibodies are used in various immunoassays, such as enzyme-linked immunosorbent assays (ELISAs), to quantify insulin levels in biological samples like blood and tissue homogenates. These assays are valuable for clinical diagnosis and research studies.
  • Cell Culture and In Vitro Studies: In vitro studies often involve the use of insulin antibodies to modulate insulin signaling in cultured cells and assess the outcomes on cellular metabolism and growth.

320 results

INS 适用: 人 IHC, WB, IF 宿主: 兔 Polyclonal unconjugated
Pubmed 1 reference
产品编号 ABIN3022885
100 μL (More quantities available)
发货至: 中国
获取报价
 
INS 适用: 小鼠, 大鼠 WB, ELISA, IHC (p), FACS, IF (p), IF (cc), IHC (fro) 宿主: 兔 Polyclonal unconjugated
Pubmed 1 reference
产品编号 ABIN724265
 
INS 适用: 人 IHC, WB, IF 宿主: 兔 Monoclonal unconjugated
产品编号 ABIN7267886
100 μL (More quantities available)
发货至: 中国
获取报价
 
INS 适用: 小鼠 IHC, WB, IP, ICC 宿主: 兔 Polyclonal unconjugated
产品编号 ABIN7429844
100 μL (More quantities available)
发货至: 中国
获取报价
 
INS 适用: 大鼠 IHC, WB, IP, ICC 宿主: 兔 Polyclonal unconjugated
产品编号 ABIN7429847
100 μL (More quantities available)
发货至: 中国
获取报价
 
INS 适用: 人, 小鼠, Pig, Cow, 大鼠, 兔, 豚鼠, 犬, 猴, Cat, 小鸡, 驴, 山羊, Hamster, 马, 绵羊, Avian WB, IHC (p), IHC (fro) 宿主: 山羊 Polyclonal unconjugated
产品编号 ABIN6254161
600 μg
发货至: 中国
获取报价
 
INS 适用: 人 IHC, WB, IP, ICC 宿主: 兔 Polyclonal unconjugated
产品编号 ABIN7429841
100 μL (More quantities available)
发货至: 中国
获取报价
 
INS 适用: 人 IHC 宿主: 兔 Monoclonal HMV308 unconjugated Recombinant Antibody
产品编号 ABIN7826125
100 μL (More quantities available)
发货至: 中国
获取报价
 
INS 适用: Cow IHC, WB, IP, ICC 宿主: 兔 Polyclonal unconjugated
产品编号 ABIN7429853
100 μL (More quantities available)
发货至: 中国
获取报价
 
INS 适用: 人 IHC, WB, IP, ICC 宿主: 小鼠 Monoclonal C1 unconjugated
产品编号 ABIN7425869
100 μL (More quantities available)
发货至: 中国
获取报价
 
INS 适用: 人 IHC, ELISA 宿主: 兔 Monoclonal 1F6 unconjugated Recombinant Antibody
产品编号 ABIN7127574
100 μL (More quantities available)
发货至: 中国
获取报价
 
INS 适用: 人, 小鼠, Pig, Cow, 兔 IHC, StM 宿主: 小鼠 Monoclonal rIRDN-805 unconjugated Recombinant Antibody
产品编号 ABIN6939797
100 μg (More quantities available)
发货至: 中国
获取报价
 
INS 适用: 人, 小鼠, Pig, Cow, 兔 IHC, StM 宿主: 兔 Monoclonal IRDN-1980R unconjugated Recombinant Antibody
产品编号 ABIN6939798
100 μg (More quantities available)
发货至: 中国
获取报价
 
INS 适用: 人, 小鼠, Pig, Cow IHC, IF, IHC (p), FACS, ISt, StM 宿主: 小鼠 Monoclonal 2D11-H5-same as INS05 unconjugated
产品编号 ABIN6939789
100 μg (More quantities available)
发货至: 中国
获取报价
 
INS 适用: 人, 小鼠, 大鼠 IHC, IF, IHC (p), ICC, FACS 宿主: 兔 Polyclonal unconjugated
产品编号 ABIN337249
50 μL
发货至: 中国
获取报价
 
INS 适用: 人 IHC, ELISA, IHC (p) 宿主: 小鼠 Monoclonal 8E2 HRP
产品编号 ABIN337134
50 μg
发货至: 中国
获取报价
 
INS 适用: 人, 小鼠, Pig, Cow, 大鼠 IHC, ELISA, IHC (p), IHC (fro) 宿主: 小鼠 Monoclonal D3E7 unconjugated
产品编号 ABIN768892
0.05 mg
发货至: 中国
获取报价
 
INS 适用: 人, 小鼠 WB, IHC (p) 宿主: 兔 Polyclonal unconjugated
产品编号 ABIN5530710
200 μL
发货至: 中国
获取报价
 
INS 适用: 人 IF (p), IF (cc) 宿主: 小鼠 Monoclonal 1G11 FITC
Pubmed 1 reference
产品编号 ABIN722608
 
INS 适用: 人 IHC (p), IF (p), IF (cc) 宿主: 小鼠 Monoclonal 1G11 unconjugated
Pubmed 1 reference
产品编号 ABIN722601
 
  • 类型 Primary
    • Primary
  • 应用范围
    • Immunohistochemistry (IHC)
    • Western Blotting (WB)
    • ELISA
    • Immunofluorescence (IF)
    • Flow Cytometry (FACS)
    • Immunohistochemistry (Paraffin-embedded Sections) (IHC (p))
    • Immunofluorescence (Paraffin-embedded Sections) (IF (p))
    • Immunohistochemistry (Formalin-fixed Sections) (IHC (f))
    • Immunofluorescence (Cultured Cells) (IF (cc))
    • Immunocytochemistry (ICC)
    • Immunohistochemistry (Formalin-fixed Paraffin-embedded Sections) (IHC (fp))
    • Immunoprecipitation (IP)
    • Immunohistochemistry (Frozen Sections) (IHC (fro))
    • Immunostaining (ISt)
    • Radioimmunoassay (RIA)
    • Immunofluorescence (fixed cells) (IF/ICC)
    • Enzyme Immunoassay (EIA)
    • Staining Methods (StM)
    • Immunochromatography (IC)
    • Dot Blot (DB)
    • ELISA (Capture)
    • Functional Studies (Func)
    • ELISA (Detection)
    • Blocking Reagent (BR)
    • Immunoassay (IA)
    • Immunodiffusion (ID)
    • Lateral Flow (LF)
    • Neutralization (Neut)
    • Protein Assay (PrA)
    • Agglutination (AGG)
  • 适用
    • Human
    • Mouse
    • Pig
    • Cow
    • Rat
    • Rabbit
    • Guinea Pig
    • Dog
    • Monkey
    • Avian
    • Cat
    • Chicken
    • Donkey
    • Goat
    • Hamster
    • Horse
    • Mammalian
    • Sheep
  • 论文引用
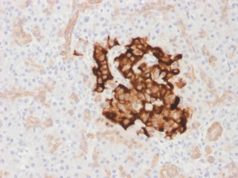
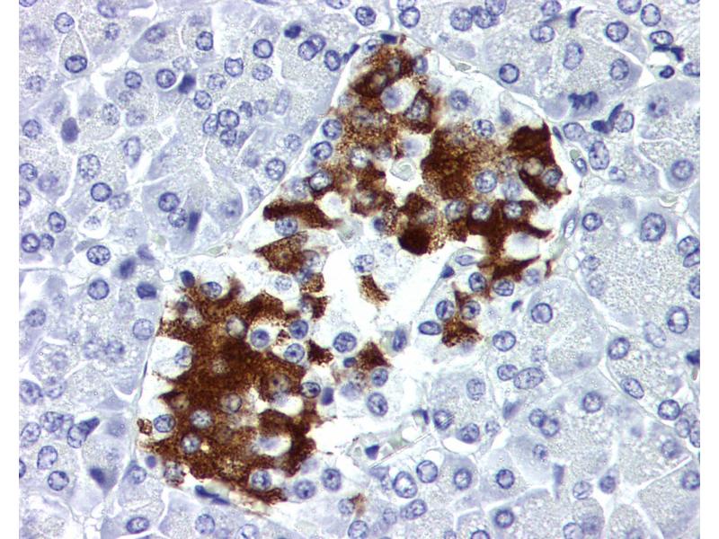
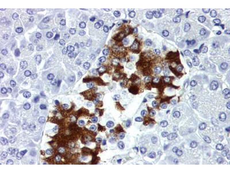
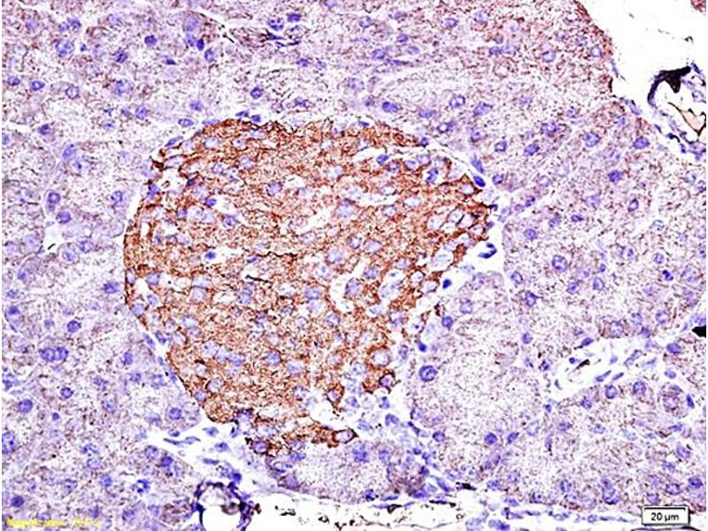
  • 图像
  • 仅无防腐剂
  • Carrier free only
  • 抗体来源
    • Mouse
    • Rabbit
    • Guinea Pig
    • Chicken
    • Goat
    • Sheep
  • 克隆形成能力
    • Monoclonal
    • Polyclonal
    • Chimeric
  • 克隆
    • 1G11
    • IRDN-1980R
    • rIRDN-805
    • 2D11-H5
    • IRDN-805
    • E2-E3
    • E2-E3 2D11-H5
    • IRDN-794
    • K36aC10
    • 1-B-1E16
    • 5C54
    • IN-05
    • ISL-8J
    • 1-B-1E15
    • 2D11-H5 or INS05
    • 7F8
    • 8E2
    • Ab 123
    • E2-E3 or INS04
    • E2E3
    • ML02I01
    • SPM139
    • 0H2
    • 1A399
    • 1A400
    • 1C5A
    • 1F6
    • 2D11-H5-same as INS05
    • 396CT20-4-4
    • 3E7
    • 5H7
    • 7C8
    • 9F3
    • C-PEP-01
    • C1
    • C7
    • CCI-3
    • D3E7
    • D3E7 (5B6-6)
    • D4B8cc
    • DEA-9
    • E2-E3-2D11-H5 or INS04-INS05
    • E6-E5 (7F8)
    • F1B2
    • GT1455
    • HMV308
    • INSC7C9
    • M322212
    • M83149
    • SAA0557
    Please use search to find more...
  • 抗原表位
    • AA 46-59
    • AA 25-110
    • C-Term
    • AA 1-84
    • AA 25-54
    • AA 1-110
    • AA 88-108
    • Beta Chain
    • AA 30-70
    • AA 48-62
    • AA 90-110
    • Center
    • N-Term
    • AA 21-52
    • AA 35-64
    • AA 49-98
    • AA 826-854
    • AA 93-108
    • Chain beta
    • Phe49
  • 标记
    • 非结合性
    • Biotin
    • FITC
    • HRP
    • CF®405S
    • CF®488A
    • CF®568
    • CF®594
    • CF®640R
    • CF®647
    • CF®740
    • AbBy Fluor® 350
    • AbBy Fluor® 488
    • AbBy Fluor® 555
    • AbBy Fluor® 594
    • AbBy Fluor® 647
    • AbBy Fluor® 680
    • AbBy Fluor® 750
    • Cy3
    • Cy5
    • Cy5.5
    • Cy7
    • APC
    • Alexa Fluor 488
    • Alexa Fluor 555
    • Alexa Fluor 594
    • Alexa Fluor 647
    • Alexa Fluor 680
    • Alexa Fluor 750
    • PE
    • Sepharose
    • Alexa Fluor 350
    • Alexa Fluor 405
    • CF®680R
    • Magnetic Particles
  • 抗体亚型
    • IgG
    • IgG1
    • IgG1 kappa
    • kappa
    • IgG2a
    • IgG kappa
    • Ig Fraction
    • IgG2b
    • IgG2a kappa
    • IgG3
    • IgM
    • IgY
  • 蛋白类型
    • Recombinant Antibody
  • Format
    • Liquid
    • Lyophilized
  • Supplier
    • antibodies-online
    • Biotium
    • Signalway
    • USBio
    • Abbexa
    • Acris
    • ProteoGenix
    • NSJ Bioreagents
    • Biomatik
    • Cohesion Biosciences
    • Enogene Biotech
    • RayBiotech
    • ProSci
    • Assaypro
    • ANTIGENES
    • Abcepta
    • Assay Biotechnology Company, Inc.
    • Boster Bio
    • CUSABIO
    • Cloud-Clone
    • Covalab
    • ImmunoBioscience
    • Rockland

Latest Publications for our Insulin 抗体

Chen, Ren, Zhou, Deng, Hu, Zhang, Li: "HWL-088, a new potent free fatty acid receptor 1 (FFAR1) agonist, improves glucolipid metabolism and acts additively with metformin in ob/ob diabetic mice." in: British journal of pharmacology, Vol. 177, Issue 10, pp. 2286-2302, (2021) (PubMed).

Zhao, Wang, Zhu, Xia, Zhang, Wang, Zhang, Xu, Chen, Jiang, Liu, Wu, Wu, Zhang, Bai, Fotina, Hu: "The Antimicrobial Peptide Mastoparan X Protects Against Enterohemorrhagic Escherichia coli O157:H7 Infection, Inhibits Inflammation, and Enhances the Intestinal Epithelial Barrier." in: Frontiers in microbiology, Vol. 12, pp. 644887, (2021) (PubMed).

Meesaragandla, Karanth, Janke, Delcea: "Biopolymer-coated gold nanoparticles inhibit human insulin amyloid fibrillation." in: Scientific reports, Vol. 10, Issue 1, pp. 7862, (2020) (PubMed).

Fang, Weng, Li, Tao, Mai, Liu, Lu, Lai, Duan, Alvarez, Arvan, Wynshaw-Boris, Li, Pei, Jin, Li: "Single-Cell Heterogeneity Analysis and CRISPR Screen Identify Key ��-Cell-Specific Disease Genes." in: Cell reports, Vol. 26, Issue 11, pp. 3132-3144.e7, (2019) (PubMed).

Xu, Huang, Guo, Xiong, Zhu, Xu, Lu, Li, Wan, Lu, Wang: "microRNA-690 regulates induced pluripotent stem cells (iPSCs) differentiation into insulin-producing cells by targeting Sox9." in: Stem cell research & therapy, Vol. 10, Issue 1, pp. 59, (2019) (PubMed).

Chen, Zeng, Liu, Guo, Zhang, Chen, Lin, Wen, Zhao, Lin, Gao: "Adropin deficiency worsens HFD-induced metabolic defects." in: Cell death & disease, Vol. 8, Issue 8, pp. e3008, (2018) (PubMed).

Zheng, Cao, Zhang, Yan, Xu, Zhao, Zhu, Zhang, Li, Zhu: "Abnormal gene methylation during embryonic development after preimplantation genetic testing increases risk of liver-derived insulin resistance." in: Annals of the New York Academy of Sciences, (2018) (PubMed).

Cao, Kakar, Hossen, Wu, Chen: "Sustained epidermal powder drug delivery via skin microchannels." in: Journal of controlled release : official journal of the Controlled Release Society, Vol. 249, pp. 94-102, (2017) (PubMed).

Dooley, Tian, Schonefeldt, Delghingaro-Augusto, Garcia-Perez, Pasciuto, Di Marino, Carr, Oskolkov, Lyssenko, Franckaert, Lagou, Overbergh, Vandenbussche, Allemeersch, Chabot-Roy, Dahlstrom, Laybutt et al.: "Genetic predisposition for beta cell fragility underlies type 1 and type 2 diabetes. ..." in: Nature genetics, Vol. 48, Issue 5, pp. 519-27, (2017) (PubMed).

Zöllner, Jouni, Panzer, Khadour, Janzen, Wesche, Ten Berg, Schellong, Heinken, Greinacher, Bakchoul: "Platelet activation in the presence of neutral protamine Hagedorn insulin: a new feature of antibodies against protamine/heparin complexes." in: Journal of thrombosis and haemostasis : JTH, (2016) (PubMed).

Aliases for Insulin 抗体

insulin (INS) 抗体
insulin (INS-IGF2) 抗体
insulin (ins) 抗体
insulin (Ins) 抗体
insulin precursor (PIN) 抗体
insulin II (Ins2) 抗体
preproinsulin (ins) 抗体
insulin L homeolog (ins.L) 抗体
insulin S homeolog (ins.S) 抗体
AA986540 抗体
IDDM2 抗体
igf2-A 抗体
ILPR 抗体
ins 抗体
Ins-2 抗体
ins-a 抗体
ins-b 抗体
ins1 抗体
ins1-a 抗体
InsII 抗体
Insulin 抗体
IRDN 抗体
Mody 抗体
Mody4 抗体
MODY10 抗体
proinsulin 抗体
xins 抗体
zgc:109842 抗体
You are here: