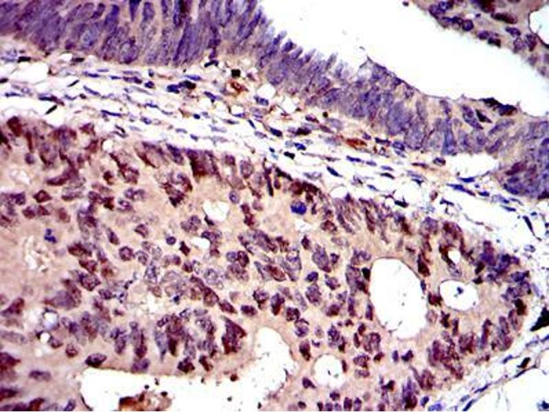
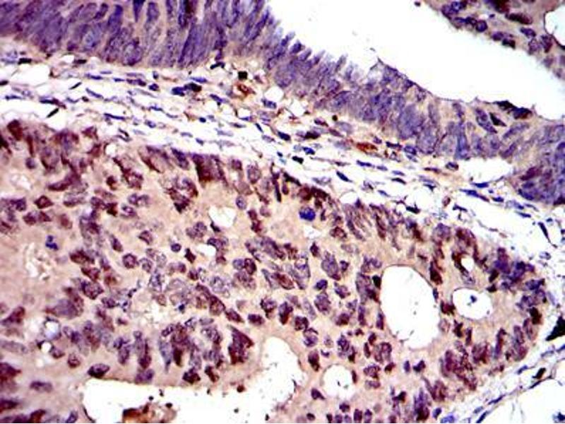
MCM2 抗体
Our Local Distributor
北京 101111
Quick Overview for MCM2 抗体 (ABIN969280)
抗原
See all MCM2 抗体适用
宿主
克隆类型
标记
应用范围
克隆位点
-
-
原理
- MCM2 Antibody
-
纯化方法
- Ascitic fluid
-
免疫原
- Purified recombinant fragment of human MCM2 expressed in E. Coli.
-
亚型
- IgG1
-
-
-
-
应用备注
-
ELISA: 1/10000
FCM: 1/200 - 1/400
-
限制
- 仅限研究用
-
-
-
状态
- Liquid
-
缓冲液
- Ascitic fluid containing 0.03 % sodium azide.
-
储存液
- Sodium azide
-
注意事项
- This product contains Sodium azide: a POISONOUS AND HAZARDOUS SUBSTANCE which should be handled by trained staff only.
-
储存条件
- 4 °C,-20 °C
-
储存方法
- Store at 4°C short term. Aliquot and store at -20°C long term. Avoid freeze/thaw cycles.
-
-
-
: "Phosphorylation of Mcm2 by Cdc7 promotes pre-replication complex assembly during cell-cycle re-entry." in: Molecular cell, Vol. 35, Issue 2, pp. 206-16, (2009) (PubMed).
: "MCM 2 Expression in Basal Cell Carcinomas and Trichoepitheliomas." in: Journal of cutaneous pathology, Vol. 36, Issue 10, pp. 1121-2, (2009) (PubMed).
-
-
- MCM2 (Minichromosome Maintenance Complex Component 2 (MCM2))
-
别名
- MCM2
-
背景
- The protein encoded by this gene is one of the highly conserved mini-chromosome maintenance proteins (MCM) that are involved in the initiation of eukaryotic genome replication. The hexameric protein complex formed by MCM proteins is a key component of the pre-replication complex (pre_RC) and may be involved in the formation of replication forks and in the recruitment of other DNA replication related proteins. This protein forms a complex with MCM4, 6, and 7, and has been shown to regulate the helicase activity of the complex. This protein is phosphorylated, and thus regulated by, protein kinases CDC2 and CDC7.
-
分子量
- 125 kDa
-
基因ID
- 4171
-
UniProt
- P49736
-
途径
- DNA Damage Repair, Mitotic G1-G1/S Phases, DNA Replication, Chromatin Binding, Synthesis of DNA
抗原
-