电话:
+86 (0512) 65829739
传真:
+86 (010) 6788 5057
电子邮件:
orders@antibodies-online.cn

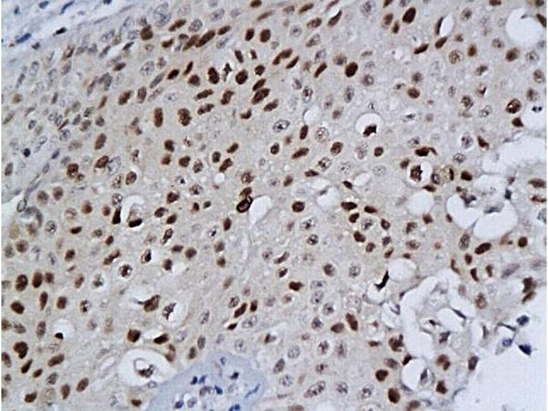
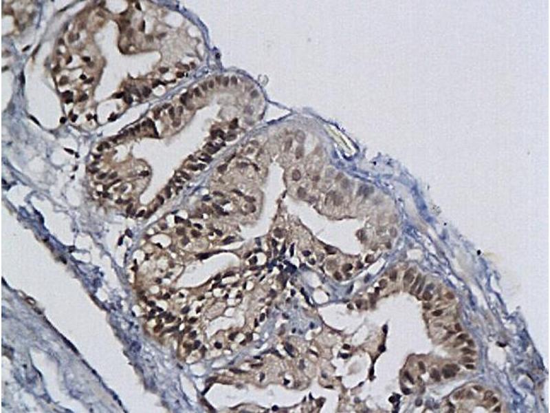
MCM2 抗体 (AA 601-700)

The 兔 多克隆 anti-MCM2 antibody is suitable to detect MCM2 in samples from 人 和 小鼠. It has been validated for ELISA, IHC (p), FACS, IF (p), IF (cc) 和 IHC (fro).
产品编号 ABIN676238
发货至: 中国
Contact our Customer Service for availability and price in your country. Contact Info

Our Local Distributor

中国
北京 101111
No. 88 KeChuang 6th Street
Beijing Economic Technological Development Area
Room 801-803
4A Biotech Co.,Ltd.
Tel +86 (0512) 65829739 传真 +86 (010) 6788 5057

Quick Overview for MCM2 抗体 (AA 601-700) (ABIN676238)

抗原

See all MCM2 抗体
MCM2 (Minichromosome Maintenance Complex Component 2 (MCM2))

适用

  • 214
  • 126
  • 82
  • 10
  • 10
  • 9
  • 8
  • 4
  • 4
  • 3
  • 3
  • 3
  • 2
  • 1
人, 小鼠

宿主

  • 208
  • 17
  • 2
  • 1

克隆类型

  • 120
  • 108
多克隆

标记

  • 95
  • 15
  • 10
  • 10
  • 10
  • 10
  • 10
  • 10
  • 8
  • 8
  • 7
  • 6
  • 4
  • 3
  • 2
  • 2
  • 2
  • 2
  • 2
  • 2
  • 2
  • 2
  • 2
  • 2
  • 2
This MCM2 antibody is un-conjugated

应用范围

  • 172
  • 118
  • 106
  • 72
  • 43
  • 41
  • 27
  • 25
  • 25
  • 24
  • 5
  • 4
  • 2
  • 1
  • 1
  • 1
ELISA, Immunohistochemistry (Paraffin-embedded Sections) (IHC (p)), Flow Cytometry (FACS), Immunofluorescence (Paraffin-embedded Sections) (IF (p)), Immunofluorescence (Cultured Cells) (IF (cc)), Immunohistochemistry (Frozen Sections) (IHC (fro))
  • 抗原表位

    • 19
    • 18
    • 17
    • 15
    • 13
    • 12
    • 9
    • 8
    • 7
    • 7
    • 5
    • 5
    • 4
    • 2
    • 2
    • 2
    • 2
    • 2
    • 2
    • 1
    • 1
    • 1
    • 1
    • 1
    • 1
    • 1
    • 1
    • 1
    • 1
    • 1
    • 1
    • 1
    • 1
    • 1
    AA 601-700

    交叉反应

    人, 小鼠

    预测反应

    Rat,Dog,Cow,Horse,Chicken,Rabbit

    纯化方法

    Purified by Protein A.

    免疫原

    KLH conjugated synthetic peptide derived from human MCM2

    亚型

    IgG
  • 应用备注

    ELISA 1:500-1000
    FCM 1:20-100
    IHC-P 1:200-400
    IHC-F 1:100-500
    IF(IHC-P) 1:50-200
    IF(IHC-F) 1:50-200
    IF(ICC) 1:50-200

    限制

    仅限研究用
  • 状态

    Liquid

    浓度

    1 μg/μL

    缓冲液

    0.01M TBS( pH 7.4) with 1 % BSA, 0.02 % Proclin300 and 50 % Glycerol.

    储存液

    ProClin

    注意事项

    This product contains ProClin: a POISONOUS AND HAZARDOUS SUBSTANCE, which should be handled by trained staff only.

    储存条件

    4 °C,-20 °C

    储存方法

    Shipped at 4°C. Store at -20°C for one year. Avoid repeated freeze/thaw cycles.

    有效期

    12 months
  • 抗原

    MCM2 (Minichromosome Maintenance Complex Component 2 (MCM2))

    别名

    MCM2

    背景

    Synonyms: BM28, CCNL1, CDCL1, cdc19, D3S3194, MITOTIN, DNA replication licensing factor MCM2, Minichromosome maintenance protein 2 homolog, Nuclear protein BM28, MCM2, KIAA0030

    Background: Acts as component of the MCM2-7 complex (MCM complex) which is the putative replicative helicase essential for 'once per cell cycle' DNA replication initiation and elongation in eukaryotic cells. The active ATPase sites in the MCM2-7 ring are formed through the interaction surfaces of two neighboring subunits such that a critical structure of a conserved arginine finger motif is provided in trans relative to the ATP-binding site of the Walker A box of the adjacent subunit. The six ATPase active sites, however, are likely to contribute differentially to the complex helicase activity. Required for the entry in S phase and for cell division.

    基因ID

    4171

    UniProt

    P49736

    途径

    DNA Damage Repair, Mitotic G1-G1/S Phases, DNA Replication, Chromatin Binding, Synthesis of DNA
You are here: