MCM2 抗体
Our Local Distributor
北京 101111
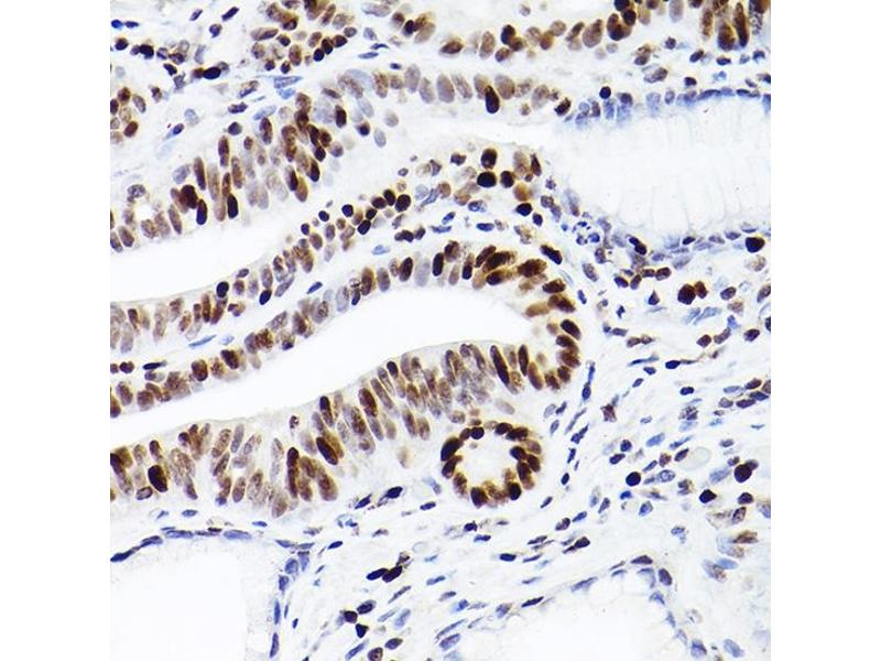
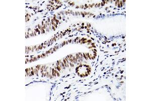
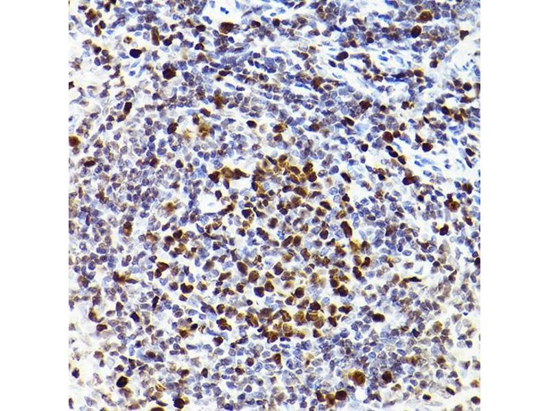
Quick Overview for MCM2 抗体 (ABIN7268538)
抗原
See all MCM2 抗体适用
宿主
克隆类型
标记
应用范围
-
-
原理
- MCM2 Rabbit mAb
-
交叉反应
- 人, 小鼠, 大鼠
-
产品特性
- Monoclonal Antibodies
-
纯化方法
- Affinity purification
-
免疫原
- Recombinant protein of human MCM2.
-
亚型
- IgG
-
-
-
-
应用备注
- WB,1:500 - 1:2000,IHC,1:100 - 1:200,IF,1:50 - 1:200
-
限制
- 仅限研究用
-
-
-
状态
- Liquid
-
缓冲液
- PBS with 0.02 % sodium azide,0.05 % BSA,50 % glycerol, pH 7.3.
-
储存液
- Sodium azide
-
注意事项
- This product contains Sodium azide: a POISONOUS AND HAZARDOUS SUBSTANCE which should be handled by trained staff only.
-
储存条件
- -20 °C
-
储存方法
- Store at -20°C. Avoid freeze / thaw cycles.
-
-
- MCM2 (Minichromosome Maintenance Complex Component 2 (MCM2))
-
别名
- MCM2
-
背景
- The protein encoded by this gene is one of the highly conserved mini-chromosome maintenance proteins (MCM) that are involved in the initiation of eukaryotic genome replication. The hexameric protein complex formed by MCM proteins is a key component of the pre-replication complex (pre_RC) and may be involved in the formation of replication forks and in the recruitment of other DNA replication related proteins. This protein forms a complex with MCM4, 6, and 7, and has been shown to regulate the helicase activity of the complex. This protein is phosphorylated, and thus regulated by, protein kinases CDC2 and CDC7. Multiple alternatively spliced transcript variants have been found, but the full-length nature of some variants has not been defined.,MCM2,BM28,CCNL1,CDCL1,D3S3194,DFNA70,MITOTIN,cdc19,Epigenetics & Nuclear Signaling,Cell Biology & Developmental Biology,Cell Cycle,Centrosome,Stem Cells,MCM2
-
分子量
- 101kDa
-
基因ID
- 4171
-
UniProt
- P49736
-
途径
- DNA Damage Repair, Mitotic G1-G1/S Phases, DNA Replication, Chromatin Binding, Synthesis of DNA
抗原
-