MDM2 抗体 (pThr218)
Our Local Distributor
北京 101111
Quick Overview for MDM2 抗体 (pThr218) (ABIN802533)
抗原
See all MDM2 抗体适用
宿主
克隆类型
标记
应用范围
-
-
抗原表位
- pThr218
-
交叉反应
- 人, 小鼠, 大鼠
-
预测反应
- Dog,Cow,Horse
-
纯化方法
- Purified by Protein A.
-
免疫原
- KLH conjugated synthetic phosphopeptide derived from human MDM2 around the phosphorylation site of Thr218
-
亚型
- IgG
-
-
-
-
应用备注
-
WB 1:300-5000
ELISA 1:500-1000
FCM 1:20-100
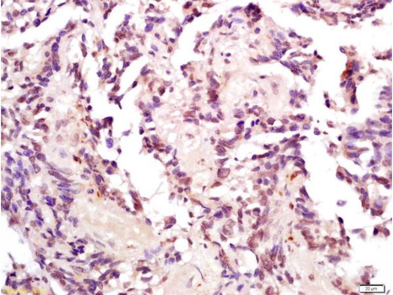
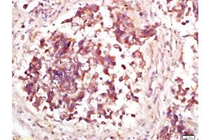
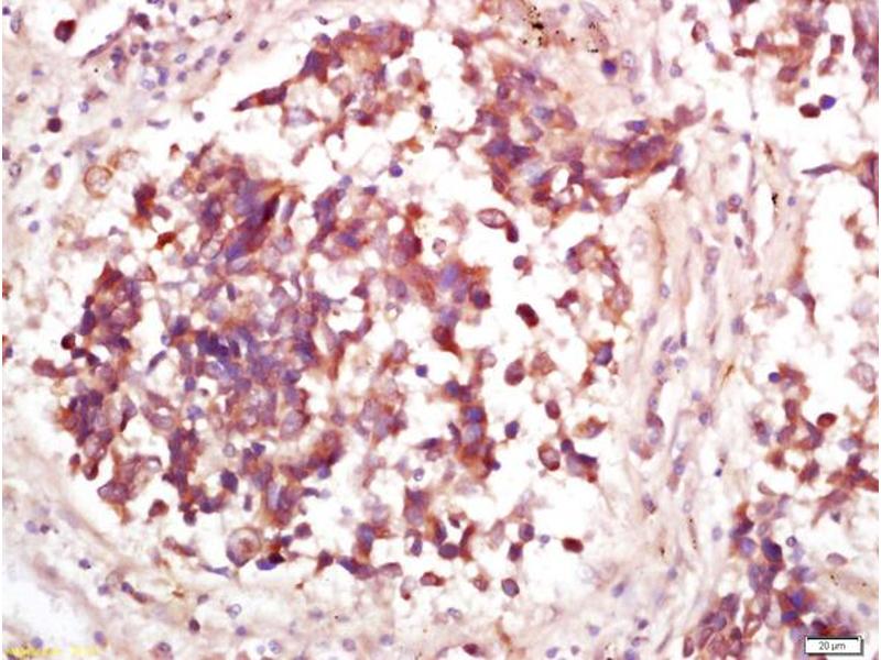
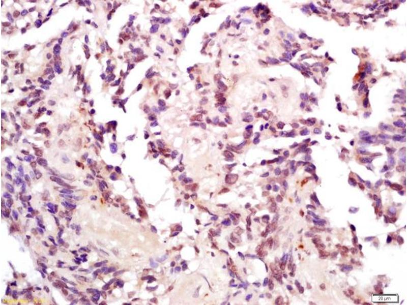
IHC-P 1:200-400
IHC-F 1:100-500
IF(IHC-P) 1:50-200
IF(IHC-F) 1:50-200
IF(ICC) 1:50-200
ICC 1:100-500 -
限制
- 仅限研究用
-
-
-
状态
- Liquid
-
浓度
- 1 μg/μL
-
缓冲液
- 0.01M TBS( pH 7.4) with 1 % BSA, 0.02 % Proclin300 and 50 % Glycerol.
-
储存液
- ProClin
-
注意事项
- This product contains ProClin: a POISONOUS AND HAZARDOUS SUBSTANCE, which should be handled by trained staff only.
-
储存条件
- 4 °C,-20 °C
-
储存方法
- Shipped at 4°C. Store at -20°C for one year. Avoid repeated freeze/thaw cycles.
-
有效期
- 12 months
-
-
- MDM2 (Mdm2, p53 E3 Ubiquitin Protein Ligase Homolog (Mouse) (MDM2))
-
别名
- MDM2
-
背景
-
Synonyms: HDMX, hdm2, ACTFS, E3 ubiquitin-protein ligase Mdm2, Double minute 2 protein, Oncoprotein Mdm2, p53-binding protein Mdm2, MDM2
Background: E3 ubiquitin-protein ligase that mediates ubiquitination of p53/TP53, leading to its degradation by the proteasome. Inhibits p53/TP53- and p73/TP73-mediated cell cycle arrest and apoptosis by binding its transcriptional activation domain. Also acts as a ubiquitin ligase E3 toward itself and ARRB1. Permits the nuclear export of p53/TP53. Promotes proteasome-dependent ubiquitin-independent degradation of retinoblastoma RB1 protein. Inhibits DAXX-mediated apoptosis by inducing its ubiquitination and degradation. Component of the TRIM28/KAP1-MDM2-p53/TP53 complex involved in stabilizing p53/TP53. Also component of the TRIM28/KAP1-ERBB4-MDM2 complex which links growth factor and DNA damage response pathways. Mediates ubiquitination and subsequent proteasome degradation of DYRK2 in nucleus. Ubiquitinates IGF1R and SNAI1 and promotes them to proteasomal degradation.
-
基因ID
- 4193
-
UniProt
- Q00987
-
途径
- p53 Pathway, PI3K-Akt Signaling, Cell Division Cycle, Fc-epsilon Receptor Signaling Pathway, EGFR Signaling Pathway, Neurotrophin Signaling Pathway, Autophagy, Ubiquitin Proteasome Pathway
抗原
-