Recombinant MCM2 抗体
Our Local Distributor
北京 101111
Quick Overview for Recombinant MCM2 抗体 (ABIN7826115)
抗原
See all MCM2 抗体抗体类型
适用
宿主
克隆类型
标记
应用范围
克隆位点
-
-
原理
- MCM2 antibody (502R)
-
免疫原
- Recombinant fragment of human MCM2 protein
-
亚型
- IgG
-
-
-
-
应用备注
- IHC 1:100-1:200
-
说明
-
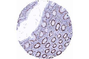
Positive Control: Colon: A strong nuclear MCM2 immunostaining should be seen in virtually all crypt base cells.
Product Description/Background: MCM2 antibody validated for immunohistochemistry on 76 different Normal Tissues
Negative Control: Colon: MCM2 immunostaining should be less intense or absent in surface epithelial cells and absent in most stroma cells.
-
实验流程
- Freshly cut sections should be used (less than 10 days between cutting and staining). Heat-induced antigen retrieval for 5 minutes in an autoclave at 121 °C in pH 7,8 Target Retrieval Solution buffer. Apply the antibody at a dilution of 1:150 at 37 °C for 60 minutes.
-
限制
- 仅限研究用
-
-
-
状态
- Liquid
-
储存条件
- 4 °C,-20 °C,-80 °C
-
储存方法
- Antibody with azide - store at 2 to 8 C. Antibody without azide - store at -20 to -80 C. Antibody is stable for 24 months. Non- hazardous. No MSD required.
-
有效期
- 24 months
-
-
- MCM2 (Minichromosome Maintenance Complex Component 2 (MCM2))
-
别名
- MCM2
-
背景
- Gene Alias: DNA replication licensing factor MCM2, Minichromosome maintenance protein 2 homolog, Nuclear protein BM28, BM28, CCNL1, CDC like 1, cdc19, CDCL1, Cell devision cycle like 1, Cyclin like 1, DNA replication licensing factor MCM2, KIAA0030, Minichromosome maintenance complex component 2, Minichromosome maintenance deficient 2 (mitotin), Minichromosome maintenance protein 2 homolog, Mitotin, Nuclear protein BM28
-
UniProt
- P49736
-
途径
- DNA Damage Repair, Mitotic G1-G1/S Phases, DNA Replication, Chromatin Binding, Synthesis of DNA
抗原
-