BAD 抗体 (pSer112)
Our Local Distributor
北京 101111
Quick Overview for BAD 抗体 (pSer112) (ABIN7265846)
抗原
See all BAD 抗体适用
宿主
克隆类型
标记
应用范围
-
-
抗原表位
- pSer112
-
原理
- Phospho-Bad-S112 Rabbit mAb
-
交叉反应
- 人, 小鼠
-
产品特性
- Phosphorylated Antibodies
-
纯化方法
- Affinity purification
-
免疫原
- A phospho specific peptide corresponding to residues surrounding S112 of human Bad
-
亚型
- IgG
-
-
-
-
应用备注
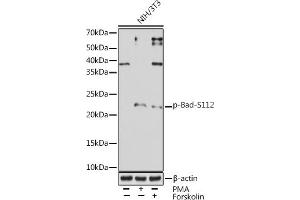
- WB,1:500 - 1:2000
-
限制
- 仅限研究用
-
-
-
状态
- Liquid
-
缓冲液
- PBS with 0.02 % sodium azide,0.05 % BSA,50 % glycerol, pH 7.3.
-
储存液
- Sodium azide
-
注意事项
- This product contains Sodium azide: a POISONOUS AND HAZARDOUS SUBSTANCE which should be handled by trained staff only.
-
储存条件
- -20 °C
-
储存方法
- Store at -20°C. Avoid freeze / thaw cycles.
-
-
- BAD (BCL2-Associated Agonist of Cell Death (BAD))
-
别名
- BAD
-
背景
- The protein encoded by this gene is a member of the BCL-2 family. BCL-2 family members are known to be regulators of programmed cell death. This protein positively regulates cell apoptosis by forming heterodimers with BCL-xL and BCL-2, and reversing their death repressor activity. Proapoptotic activity of this protein is regulated through its phosphorylation. Protein kinases AKT and MAP kinase, as well as protein phosphatase calcineurin were found to be involved in the regulation of this protein. Alternative splicing of this gene results in two transcript variants which encode the same isoform. [provided by RefSeq, Jul 2008],BBC2, BCL2L8,Apoptosis,Apoptosis_Bcl 2 family,Apoptosis_Inhibition of Apoptosis,Apoptosis_Mitochondrial Control of Apoptosis,Cancer,Cell Biology & Developmental Biology,Endocrine & Metabolism,ErbB-HER Signaling Pathway,Immunology & Inflammation,Insulin Receptor Signaling Pathway,Invasion and Metastasis,MAPK-Erk Signaling Pathway,Neurodegenerative Diseases,Neuroscience,PI3K-Akt Signaling Pathway,Protein phosphorylation,Signal Transduction,BAD
-
分子量
- 23kDa
-
基因ID
- 572
-
UniProt
- Q92934
-
途径
- MAPK Pathway, PI3K-Akt Signaling, RTK signaling, Apoptosis, Fc-epsilon Receptor Signaling Pathway, Positive Regulation of Peptide Hormone Secretion, Carbohydrate Homeostasis, Positive Regulation of Endopeptidase Activity, Regulation of Carbohydrate Metabolic Process, Hepatitis C, CXCR4-mediated Signaling Events
抗原
-