电话:
+86 (0512) 65829739
传真:
+86 (010) 6788 5057
电子邮件:
orders@antibodies-online.cn

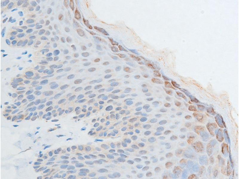
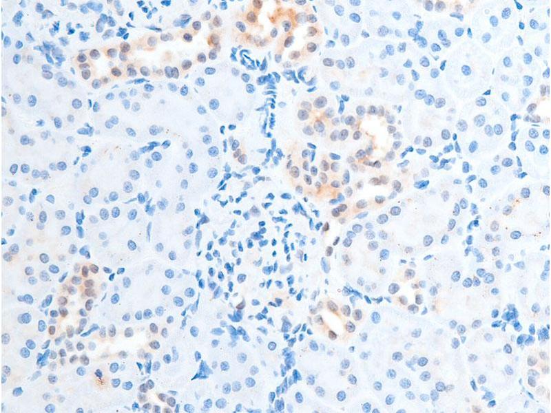
CHEK2 抗体 (pThr387)

There is 1 publication for this product available. The 兔 多克隆 anti-CHEK2 antibody is suitable to detect CHEK2 in samples from 人, 小鼠 和 大鼠. It has been validated for WB, ELISA, IHC, IF 和 ICC.
产品编号 ABIN6256554
发货至: 中国
Contact our Customer Service for availability and price in your country. Contact Info

Our Local Distributor

中国
北京 101111
No. 88 KeChuang 6th Street
Beijing Economic Technological Development Area
Room 801-803
4A Biotech Co.,Ltd.
Tel +86 (0512) 65829739 传真 +86 (010) 6788 5057

Quick Overview for CHEK2 抗体 (pThr387) (ABIN6256554)

抗原

See all CHEK2 抗体
CHEK2 (Checkpoint Kinase 2 (CHEK2))

适用

  • 262
  • 88
  • 75
  • 16
  • 12
  • 8
  • 6
  • 6
  • 3
  • 2
  • 2
  • 1
人, 小鼠, 大鼠

宿主

  • 240
  • 24
  • 1

克隆类型

  • 206
  • 59
多克隆

标记

  • 118
  • 13
  • 9
  • 9
  • 7
  • 7
  • 7
  • 7
  • 7
  • 7
  • 7
  • 7
  • 7
  • 7
  • 7
  • 5
  • 5
  • 5
  • 5
  • 5
  • 5
  • 2
  • 2
  • 2
  • 2
  • 1
This CHEK2 antibody is un-conjugated

应用范围

  • 226
  • 80
  • 79
  • 68
  • 61
  • 56
  • 38
  • 32
  • 30
  • 27
  • 18
  • 3
  • 1
  • 1
  • 1
  • 1
  • 1
Western Blotting (WB), ELISA, Immunohistochemistry (IHC), Immunofluorescence (IF), Immunocytochemistry (ICC)
  • 抗原表位

    • 34
    • 26
    • 19
    • 17
    • 16
    • 16
    • 15
    • 15
    • 9
    • 8
    • 8
    • 8
    • 6
    • 4
    • 3
    • 3
    • 3
    • 2
    • 2
    • 2
    • 2
    • 2
    • 1
    • 1
    • 1
    • 1
    • 1
    • 1
    • 1
    • 1
    • 1
    • 1
    • 1
    • 1
    • 1
    • 1
    • 1
    • 1
    • 1
    • 1
    • 1
    • 1
    • 1
    • 1
    • 1
    • 1
    pThr387

    特异性

    Phospho-Chk2 (Thr387) Antibody detects endogenous levels of Chk2 only when phosphorylated at Threonine 387.

    预测反应

    Pig,Zebrafish,Bovine,Horse,Sheep,Rabbit,Dog,Chicken,Xenopus

    纯化方法

    The antibody is from purified rabbit serum by affinity purification via sequential chromatography on phospho- and non-phospho-peptide affinity columns.

    免疫原

    A synthesized peptide derived from human Chk2 around the phosphorylation site of Thr387.

    亚型

    IgG
  • 应用备注

    WB 1:500-1:2000, IHC 1:50-1:200, IF/ICC 1:100-1:500, ELISA(peptide) 1:20000-1:40000

    限制

    仅限研究用
  • 状态

    Liquid

    浓度

    1 mg/mL

    缓冲液

    Rabbit IgG in phosphate buffered saline , pH 7.4, 150 mM NaCl, 0.02 % sodium azide and 50 % glycerol.

    储存液

    Sodium azide

    注意事项

    This product contains Sodium azide: a POISONOUS AND HAZARDOUS SUBSTANCE which should be handled by trained staff only.

    储存条件

    -20 °C

    储存方法

    Store at -20 °C. Stable for 12 months from date of receipt.

    有效期

    12 months
  • Mousa, Soliman, Alhumaydhi, Almatroudi, Al Rugaie, Allemailem, Alrumaihi, Khan, Rezk, Aljasir, Alwashmi, Aba Alkhayl, Albutti, Seleem: "Garlic Extract Alleviates Trastuzumab-Induced Hepatotoxicity in Rats Through Its Antioxidant, Anti-Inflammatory, and Antihyperlipidemic Effects." in: Journal of inflammation research, Vol. 14, pp. 6305-6316, (2021) (PubMed).

  • 抗原

    CHEK2 (Checkpoint Kinase 2 (CHEK2))

    别名

    CHEK2

    背景

    Description: Serine/threonine-protein kinase which is required for checkpoint-mediated cell cycle arrest, activation of DNA repair and apoptosis in response to the presence of DNA double-strand breaks. May also negatively regulate cell cycle progression during unperturbed cell cycles. Following activation, phosphorylates numerous effectors preferentially at the consensus sequence [L-X-R-X-X-S/T]. Regulates cell cycle checkpoint arrest through phosphorylation of CDC25A, CDC25B and CDC25C, inhibiting their activity. Inhibition of CDC25 phosphatase activity leads to increased inhibitory tyrosine phosphorylation of CDK-cyclin complexes and blocks cell cycle progression. May also phosphorylate NEK6 which is involved in G2/M cell cycle arrest. Regulates DNA repair through phosphorylation of BRCA2, enhancing the association of RAD51 with chromatin which promotes DNA repair by homologous recombination. Also stimulates the transcription of genes involved in DNA repair (including BRCA2) through the phosphorylation and activation of the transcription factor FOXM1. Regulates apoptosis through the phosphorylation of p53/TP53, MDM4 and PML. Phosphorylation of p53/TP53 at 'Ser-20' by CHEK2 may alleviate inhibition by MDM2, leading to accumulation of active p53/TP53. Phosphorylation of MDM4 may also reduce degradation of p53/TP53. Also controls the transcription of pro-apoptotic genes through phosphorylation of the transcription factor E2F1. Tumor suppressor, it may also have a DNA damage-independent function in mitotic spindle assembly by phosphorylating BRCA1. Its absence may be a cause of the chromosomal instability observed in some cancer cells. Promotes the CCAR2-SIRT1 association and is required for CCAR2-mediated SIRT1 inhibition (PubMed:25361978).

    Gene: CHEK2

    分子量

    62kDa

    基因ID

    11200

    UniProt

    O96017

    途径

    p53 Pathway, Apoptosis, Cell Division Cycle
You are here: