电话:
+86 (0512) 65829739
传真:
+86 (010) 6788 5057
电子邮件:
orders@antibodies-online.cn

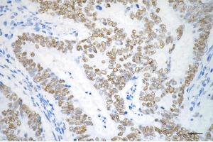
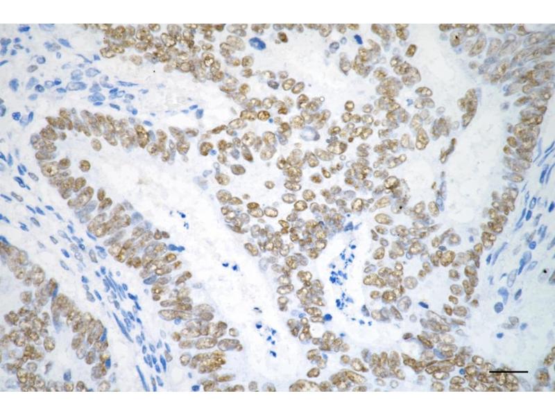
Recombinant CHEK2 抗体

This 兔 单克隆 antibody specifically detects CHEK2 in WB, IF (p) 和 FACS. It exhibits reactivity toward 人.
产品编号 ABIN7798040
发货至: 中国
Contact our Customer Service for availability and price in your country. Contact Info

Our Local Distributor

中国
北京 101111
No. 88 KeChuang 6th Street
Beijing Economic Technological Development Area
Room 801-803
4A Biotech Co.,Ltd.
Tel +86 (0512) 65829739 传真 +86 (010) 6788 5057

Quick Overview for Recombinant CHEK2 抗体 (ABIN7798040)

抗原

See all CHEK2 抗体
CHEK2 (Checkpoint Kinase 2 (CHEK2))

抗体类型

Recombinant Antibody

适用

  • 261
  • 88
  • 75
  • 16
  • 11
  • 8
  • 6
  • 6
  • 3
  • 2
  • 2
  • 1

宿主

  • 239
  • 24
  • 1

克隆类型

  • 206
  • 58
单克隆

标记

  • 117
  • 13
  • 9
  • 9
  • 7
  • 7
  • 7
  • 7
  • 7
  • 7
  • 7
  • 7
  • 7
  • 7
  • 7
  • 5
  • 5
  • 5
  • 5
  • 5
  • 5
  • 2
  • 2
  • 2
  • 2
  • 1
This CHEK2 antibody is un-conjugated

应用范围

  • 225
  • 79
  • 79
  • 68
  • 62
  • 57
  • 39
  • 32
  • 29
  • 26
  • 18
  • 3
  • 1
  • 1
  • 1
  • 1
  • 1
Western Blotting (WB), Immunofluorescence (Paraffin-embedded Sections) (IF (p)), Flow Cytometry (FACS)

质量等级

KD Validated

克隆位点

24GB4585
  • Expression System

    HEK-293 Cells

    原理

    KD-Validated Checkpoint Kinase 2 Recombinant Rabbit mAb

    纯化方法

    Affinity Purified

    免疫原

    Recombinant protein of human Chk2

    亚型

    IgG
  • 应用备注

    Western Blotting (WB): 1:1,000-1:5,000, Flow Cytometry (FCM): 1:200-1:2,000, Immunohistochemistry-Paraffin (IHC-P): 1:100-1:200

    说明

    We assess the antibodies’ specificity and selectivity using knockdown techniques. Our validation approach is straightforward: if an antibody identifies a signal in wild-type (WT) cells, but this signal is absent or noticeably reduced in gene-silenced (KD) cells, we consider the antibody to be highly specific.

    限制

    仅限研究用
  • 状态

    Liquid

    缓冲液

    PBS (pH 7.4) containing 50% glycerol and 0.02% sodium azide.

    储存液

    Sodium azide

    注意事项

    This product contains Sodium azide: a POISONOUS AND HAZARDOUS SUBSTANCE which should be handled by trained staff only.

    储存条件

    -20 °C

    储存方法

    Store at -20 °C for one year.

    有效期

    12 months
  • 抗原

    CHEK2 (Checkpoint Kinase 2 (CHEK2))

    别名

    Checkpoint Kinase 2

    分子量

    61 kDa

    基因ID

    11200

    UniProt

    O96017

    途径

    p53 Pathway, Apoptosis, Cell Division Cycle
You are here: