电话:
+86 (0512) 65829739
传真:
+86 (010) 6788 5057
电子邮件:
orders@antibodies-online.cn

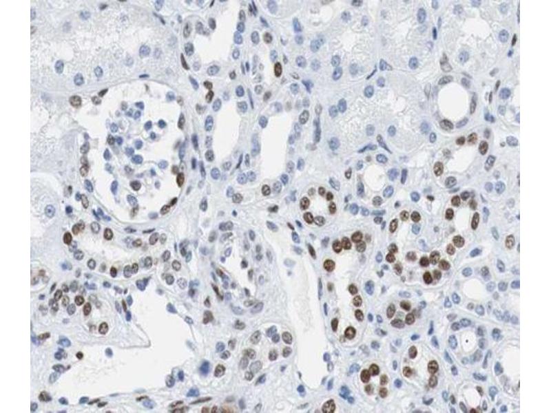
Retinoblastoma 1 抗体 (pSer807)

The 兔 多克隆 anti-Retinoblastoma 1 antibody is suitable to detect Retinoblastoma 1 in samples from 人, 小鼠 和 大鼠. It has been validated for WB, IHC, ELISA, IF 和 ICC.
产品编号 ABIN6256428
发货至: 中国
Contact our Customer Service for availability and price in your country. Contact Info

Our Local Distributor

中国
北京 101111
No. 88 KeChuang 6th Street
Beijing Economic Technological Development Area
Room 801-803
4A Biotech Co.,Ltd.
Tel +86 (0512) 65829739 传真 +86 (010) 6788 5057

Quick Overview for Retinoblastoma 1 抗体 (pSer807) (ABIN6256428)

抗原

See all Retinoblastoma 1 (RB1) 抗体
Retinoblastoma 1 (RB1)

适用

  • 272
  • 132
  • 107
  • 4
  • 4
  • 4
  • 3
  • 3
  • 3
  • 2
  • 1
  • 1
  • 1
人, 小鼠, 大鼠

宿主

  • 244
  • 30

克隆类型

  • 201
  • 73
多克隆

标记

  • 141
  • 12
  • 6
  • 6
  • 6
  • 6
  • 6
  • 6
  • 6
  • 6
  • 6
  • 6
  • 6
  • 6
  • 6
  • 4
  • 4
  • 4
  • 4
  • 4
  • 4
  • 2
  • 2
  • 2
  • 2
  • 2
  • 2
  • 2
  • 2
  • 2
  • 1
This Retinoblastoma 1 antibody is un-conjugated

应用范围

  • 220
  • 85
  • 80
  • 79
  • 66
  • 46
  • 40
  • 28
  • 21
  • 20
  • 19
  • 10
  • 10
  • 8
  • 6
  • 2
  • 2
  • 1
Western Blotting (WB), Immunohistochemistry (IHC), ELISA, Immunofluorescence (IF), Immunocytochemistry (ICC)
  • 抗原表位

    • 31
    • 29
    • 20
    • 19
    • 19
    • 17
    • 15
    • 12
    • 6
    • 6
    • 5
    • 3
    • 3
    • 3
    • 3
    • 3
    • 2
    • 2
    • 2
    • 2
    • 2
    • 2
    • 2
    • 2
    • 2
    • 2
    • 1
    • 1
    • 1
    • 1
    • 1
    • 1
    • 1
    • 1
    • 1
    • 1
    • 1
    • 1
    • 1
    • 1
    • 1
    • 1
    • 1
    • 1
    • 1
    • 1
    • 1
    • 1
    • 1
    • 1
    pSer807

    特异性

    Phospho-Retinoblastoma (Ser807) Antibody detects endogenous levels of Retinoblastoma only when phosphorylated at Serine 807.

    预测反应

    Pig,Bovine,Horse,Sheep,Rabbit,Dog,Chicken,Xenopus

    纯化方法

    The antibody is from purified rabbit serum by affinity purification via sequential chromatography on phospho- and non-phospho-peptide affinity columns.

    免疫原

    A synthesized peptide derived from human Retinoblastoma around the phosphorylation site of Ser807.

    亚型

    IgG
  • 应用备注

    WB 1:500-1:2000, IHC 1:50-1:200, IF/ICC 1:100-1:500, ELISA(peptide) 1:20000-1:40000

    限制

    仅限研究用
  • 状态

    Liquid

    浓度

    1 mg/mL

    缓冲液

    Rabbit IgG in phosphate buffered saline , pH 7.4, 150 mM NaCl, 0.02 % sodium azide and 50 % glycerol.

    储存液

    Sodium azide

    注意事项

    This product contains Sodium azide: a POISONOUS AND HAZARDOUS SUBSTANCE which should be handled by trained staff only.

    储存条件

    -20 °C

    储存方法

    Store at -20 °C. Stable for 12 months from date of receipt.

    有效期

    12 months
  • 抗原

    Retinoblastoma 1 (RB1)

    别名

    RB1

    背景

    Description: Key regulator of entry into cell division that acts as a tumor suppressor. Promotes G0-G1 transition when phosphorylated by CDK3/cyclin-C. Acts as a transcription repressor of E2F1 target genes. The underphosphorylated, active form of RB1 interacts with E2F1 and represses its transcription activity, leading to cell cycle arrest. Directly involved in heterochromatin formation by maintaining overall chromatin structure and, in particular, that of constitutive heterochromatin by stabilizing histone methylation. Recruits and targets histone methyltransferases SUV39H1, KMT5B and KMT5C, leading to epigenetic transcriptional repression. Controls histone H4 'Lys-20' trimethylation. Inhibits the intrinsic kinase activity of TAF1. Mediates transcriptional repression by SMARCA4/BRG1 by recruiting a histone deacetylase (HDAC) complex to the c-FOS promoter. In resting neurons, transcription of the c-FOS promoter is inhibited by BRG1-dependent recruitment of a phospho-RB1-HDAC1 repressor complex. Upon calcium influx, RB1 is dephosphorylated by calcineurin, which leads to release of the repressor complex (By similarity). In case of viral infections, interactions with SV40 large T antigen, HPV E7 protein or adenovirus E1A protein induce the disassembly of RB1-E2F1 complex thereby disrupting RB1's activity.

    Gene: RB1

    分子量

    106kDa

    基因ID

    5925

    UniProt

    P06400

    途径

    Cell Division Cycle, Intracellular Steroid Hormone Receptor Signaling Pathway, Mitotic G1-G1/S Phases, DNA Replication, Maintenance of Protein Location, Synthesis of DNA, Autophagy
You are here: