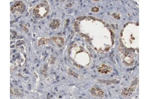
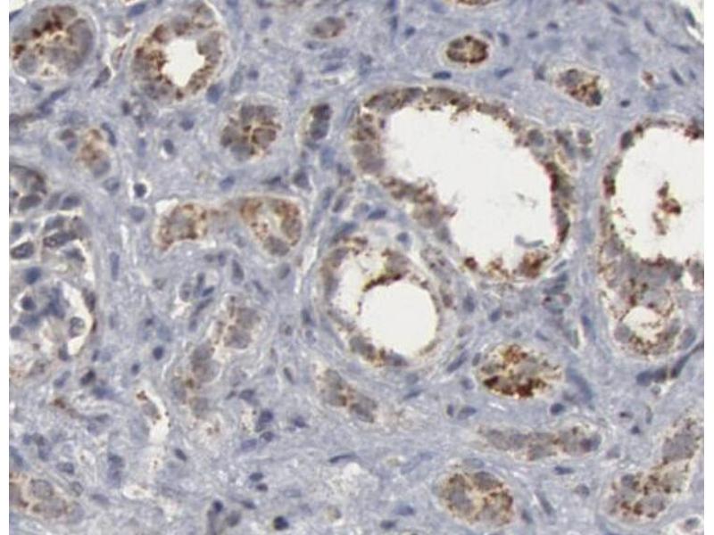
Caspase 9 抗体 (Cleaved-Asp330)
Our Local Distributor
北京 101111
Quick Overview for Caspase 9 抗体 (Cleaved-Asp330) (ABIN6254880)
抗原
See all Caspase 9 (CASP9) 抗体适用
宿主
克隆类型
标记
应用范围
-
-
抗原表位
- Cleaved-Asp330
-
特异性
- Cleaved-Caspase 9 (Asp330) Antibody detects endogenous levels of fragment of activated Caspase 9 resulting from cleavage adjacent to Asp330.
-
预测反应
- Dog
-
纯化方法
- The antiserum was purified by peptide affinity chromatography using SulfoLinkTM Coupling Resin (Thermo Fisher Scientific).
-
免疫原
- A synthesized peptide derived from human Caspase 9 (Cleaved-Asp330).
-
亚型
- IgG
-
-
-
-
应用备注
- WB 1:500-1:1000, IHC 1:50-1:200, IF/ICC 1:100-1:500, ELISA(peptide) 1:20000-1:40000
-
限制
- 仅限研究用
-
-
-
状态
- Liquid
-
浓度
- 1 mg/mL
-
缓冲液
- Rabbit IgG in phosphate buffered saline , pH 7.4, 150 mM NaCl, 0.02 % sodium azide and 50 % glycerol.
-
储存液
- Sodium azide
-
注意事项
- This product contains Sodium azide: a POISONOUS AND HAZARDOUS SUBSTANCE which should be handled by trained staff only.
-
储存条件
- -20 °C
-
储存方法
- Store at -20 °C. Stable for 12 months from date of receipt.
-
有效期
- 12 months
-
-
-
: "Purkinje Cell Degeneration and Motor Coordination Deficits in a New Mouse Model of Autosomal Recessive Spastic Ataxia of Charlevoix-Saguenay." in: Frontiers in molecular neuroscience, Vol. 10, pp. 121, (2017) (PubMed).
-
-
- Caspase 9 (CASP9) (Caspase 9, Apoptosis-Related Cysteine Peptidase (CASP9))
-
别名
- CASP9
-
背景
-
Description: Involved in the activation cascade of caspases responsible for apoptosis execution. Binding of caspase-9 to Apaf-1 leads to activation of the protease which then cleaves and activates caspase-3. Promotes DNA damage-induced apoptosis in a ABL1/c-Abl-dependent manner. Proteolytically cleaves poly(ADP-ribose) polymerase (PARP).
Gene: CASP9
-
分子量
- 10 kDa
-
基因ID
- 842
-
UniProt
- P55211
-
途径
- MAPK Pathway, RTK signaling, Apoptosis, Caspase Cascade in Apoptosis, Fc-epsilon Receptor Signaling Pathway, EGFR Signaling Pathway, Neurotrophin Signaling Pathway, Positive Regulation of Endopeptidase Activity
抗原
-