Caspase 9 抗体
Our Local Distributor
北京 101111
Quick Overview for Caspase 9 抗体 (ABIN7202071)
抗原
See all Caspase 9 (CASP9) 抗体适用
宿主
克隆类型
标记
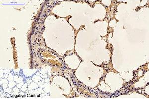
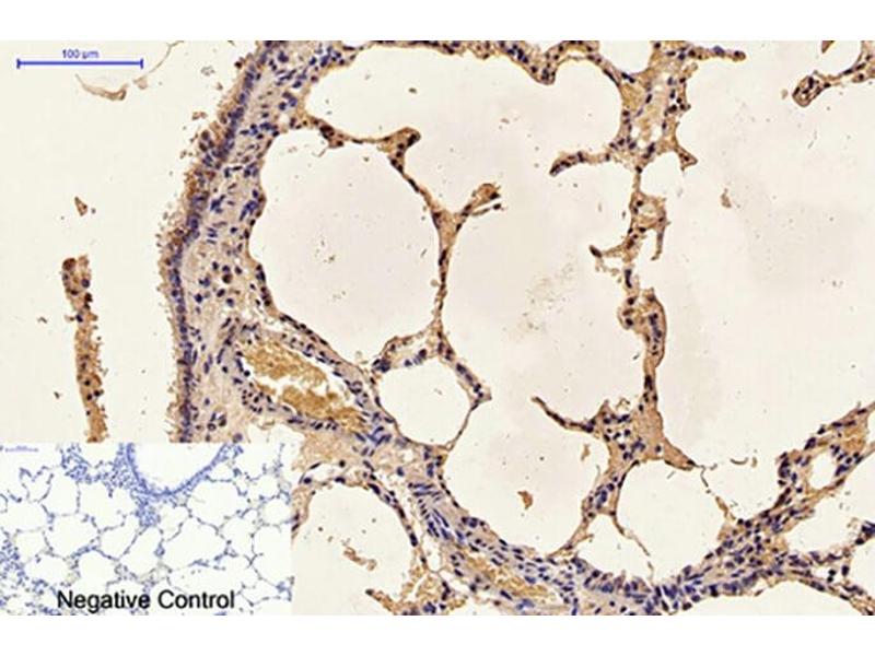
应用范围
-
-
原理
- Caspase 9 Monoclonal Antibody
-
特异性
- The antibody detects endogenous Caspase 9 protein.
-
纯化方法
- The antibody was affinity-purified from mouse ascites by affinity-chromatography using specific immunogen
-
免疫原
- Synthetic Peptide
-
亚型
- IgG1
-
-
-
-
应用备注
- Optimal working dilutions should be determined experimentally by the investigator. Suggested starting dilutions are as follows: WB (1:1000-1:5000), IF (1:100-1:200), IHC-P (1:50-1:300), IP (1:200).
-
限制
- 仅限研究用
-
-
-
状态
- Liquid
-
浓度
- 1 mg/mL
-
缓冲液
- PBS, pH 7.4, containing 0.02 % Sodium Azide as preservative and 50 % Glycerol.
-
储存液
- Sodium azide
-
注意事项
- This product contains Sodium azide: a POISONOUS AND HAZARDOUS SUBSTANCE which should be handled by trained staff only.
-
储存条件
- -20 °C
-
储存方法
- Stable for one year at -20°C from date of shipment. For maximum recovery of product, centrifuge the original vial after thawing and prior to removing the cap. Aliquot to avoid repeated freezing and thawing.
-
-
- Caspase 9 (CASP9) (Caspase 9, Apoptosis-Related Cysteine Peptidase (CASP9))
-
别名
- Caspase 9
-
背景
- Mouse Anti-Caspase 9 Monoclonal Antibody,CASP9, MCH6, Caspase-9, CASP-9, Apoptotic protease Mch-6, Apoptotic protease-activating factor 3, APAF-3, ICE-like apoptotic protease 6, ICE-LAP6,CASP9 encodes a member of the cysteine-aspartic acid protease (caspase) family. Sequential activation of caspases plays a central role in the execution-phase of cell apoptosis. Caspases exist as inactive proenzymes which undergo proteolytic processing at conserved aspartic residues to produce two subunits, large and small, that dimerize to form the active enzyme. Caspase 9 can undergo autoproteolytic processing and activation by the apoptosome, a protein complex of cytochrome c and the apoptotic peptidase activating factor 1, this step is thought to be one of the earliest in the caspase activation cascade. Caspase 9 is thought to play a central role in apoptosis and to be a tumor suppressor. Alternative splicing results in multiple transcript variants.,Caspase-9
-
基因ID
- 842
-
UniProt
- P55211
-
途径
- MAPK Pathway, RTK signaling, Apoptosis, Caspase Cascade in Apoptosis, Fc-epsilon Receptor Signaling Pathway, EGFR Signaling Pathway, Neurotrophin Signaling Pathway, Positive Regulation of Endopeptidase Activity
抗原
-