电话:
+86 (0512) 65829739
传真:
+86 (010) 6788 5057
电子邮件:
orders@antibodies-online.cn

MAP2K3 抗体 (AA 1-170)

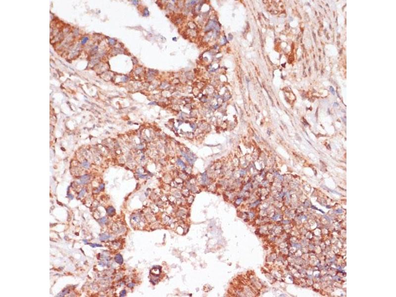
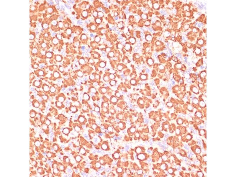
Cited in 1 publication. The 兔 多克隆 anti-MAP2K3 antibody (ABIN6143484) specifically detects MAP2K3 in WB, IHC 和 IF. The antibody is reactive with 人 samples.
产品编号 ABIN6143484
发货至: 中国
Contact our Customer Service for availability and price in your country. Contact Info

Our Local Distributor

中国
北京 101111
No. 88 KeChuang 6th Street
Beijing Economic Technological Development Area
Room 801-803
4A Biotech Co.,Ltd.
Tel +86 (0512) 65829739 传真 +86 (010) 6788 5057

Quick Overview for MAP2K3 抗体 (AA 1-170) (ABIN6143484)

抗原

See all MAP2K3 抗体
MAP2K3 (Mitogen-Activated Protein Kinase Kinase 3 (MAP2K3))

适用

  • 140
  • 110
  • 88
  • 11
  • 10
  • 6
  • 5
  • 5
  • 4
  • 3
  • 1
  • 1
  • 1
  • 1

宿主

  • 145
  • 11

克隆类型

  • 125
  • 31
多克隆

标记

  • 71
  • 9
  • 6
  • 5
  • 4
  • 4
  • 4
  • 4
  • 4
  • 4
  • 3
  • 3
  • 3
  • 3
  • 3
  • 3
  • 3
  • 3
  • 3
  • 3
  • 3
  • 2
  • 2
  • 1
  • 1
  • 1
  • 1
This MAP2K3 antibody is un-conjugated

应用范围

  • 126
  • 47
  • 46
  • 40
  • 40
  • 32
  • 24
  • 18
  • 18
  • 15
  • 9
  • 2
  • 1
  • 1
Western Blotting (WB), Immunohistochemistry (IHC), Immunofluorescence (IF)
  • 抗原表位

    • 27
    • 15
    • 15
    • 12
    • 9
    • 8
    • 7
    • 6
    • 4
    • 3
    • 3
    • 2
    • 2
    • 2
    • 2
    • 2
    • 1
    • 1
    • 1
    • 1
    • 1
    • 1
    • 1
    • 1
    • 1
    • 1
    • 1
    • 1
    • 1
    AA 1-170

    序列

    MESPASSQPA SMPQSKGKSK RKKDLRISCM SKPPAPNPTP PRNLDSRTFI TIGDRNFEVE ADDLVTISEL GRGAYGVVEK VRHAQSGTIM AVKRIRATVN SQEQKRLLMD LDINMRTVDC FYTVTFYGAL FREGDVWICM ELMDTSLDKF YRKVLDKNMT IPEDILGEIA

    交叉反应

    人, 小鼠, 大鼠

    产品特性

    Polyclonal Antibodies

    免疫原

    Recombinant fusion protein containing a sequence corresponding to amino acids 1-170 of human MEK3 (NP_659731.1).

    亚型

    IgG
  • 应用备注

    WB,1:500 - 1:2000,IHC,1:50 - 1:200,IF,1:50 - 1:200

    限制

    仅限研究用
  • 状态

    Liquid

    缓冲液

    PBS with 0.02 % sodium azide,50 % glycerol, pH 7.3.

    储存液

    Sodium azide

    注意事项

    This product contains Sodium azide: a POISONOUS AND HAZARDOUS SUBSTANCE which should be handled by trained staff only.

    储存条件

    -20 °C

    储存方法

    Store at -20°C. Avoid freeze / thaw cycles.
  • Ma, Chen, Zhang, Ma, Yang, Zhang, Li, Xiao, Wang: "MAPK kinase 10.2 promotes disease resistance and drought tolerance by activating different MAPKs in rice." in: The Plant journal : for cell and molecular biology, Vol. 92, Issue 4, pp. 557-570, (2018) (PubMed).

  • 抗原

    MAP2K3 (Mitogen-Activated Protein Kinase Kinase 3 (MAP2K3))

    别名

    MAP2K3

    背景

    The protein encoded by this gene is a dual specificity protein kinase that belongs to the MAP kinase kinase family. This kinase is activated by mitogenic and environmental stress, and participates in the MAP kinase-mediated signaling cascade. It phosphorylates and thus activates MAPK14/p38-MAPK. This kinase can be activated by insulin, and is necessary for the expression of glucose transporter. Expression of RAS oncogene is found to result in the accumulation of the active form of this kinase, which thus leads to the constitutive activation of MAPK14, and confers oncogenic transformation of primary cells. The inhibition of this kinase is involved in the pathogenesis of Yersina pseudotuberculosis. Multiple alternatively spliced transcript variants that encode distinct isoforms have been reported for this gene.,MAP2K3,MAPKK3,MEK3,MKK3,PRKMK3,SAPKK-2,SAPKK2,Epigenetics & Nuclear Signaling,Cancer,Signal Transduction,G protein signaling,G2/M DNA Damage Checkpoint,Kinase,Serine/threonine kinases,Tyrosine kinases,ErbB-HER Signaling Pathway,MAPK-P38 Signaling Pathway,Cell Biology & Developmental Biology,Cytoskeleton,Actins,TGF-b-Smad Signaling Pathway,Immunology & Inflammation,B Cell Receptor Signaling Pathway,IL-6 Receptor Signaling Pathway,Toll-like Receptor Signaling Pathway,Cell Intrinsic Innate Immunity Signaling Pathway,TLR Signaling,Neuroscience,Neurodegenerative Diseases,MAP2K3

    分子量

    36 kDa/39 kDa

    基因ID

    5606

    UniProt

    P46734

    途径

    MAPK Pathway, TLR signaling, Activation of Innate immune Response, Toll-Like Receptors Cascades, Autophagy, Signaling Events mediated by VEGFR1 and VEGFR2
You are here: