电话:
+86 (0512) 65829739
传真:
+86 (010) 6788 5057
电子邮件:
orders@antibodies-online.cn

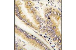
AGR2 抗体 (N-Term)

This 兔 多克隆 antibody specifically detects AGR2 in WB, IHC (p) 和 EIA. It exhibits reactivity toward 人.
产品编号 ABIN358783
发货至: 中国
Contact our Customer Service for availability and price in your country. Contact Info

Our Local Distributor

中国
北京 101111
No. 88 KeChuang 6th Street
Beijing Economic Technological Development Area
Room 801-803
4A Biotech Co.,Ltd.
Tel +86 (0512) 65829739 传真 +86 (010) 6788 5057

Quick Overview for AGR2 抗体 (N-Term) (ABIN358783)

抗原

See all AGR2 抗体
AGR2 (Anterior Gradient Homolog 2 (Xenopus Laevis) (AGR2))

适用

  • 94
  • 41
  • 36
  • 6
  • 4
  • 4
  • 3
  • 3
  • 2
  • 2
  • 2
  • 1
  • 1

宿主

  • 98
  • 20
  • 1
  • 1
  • 1

克隆类型

  • 71
  • 49
多克隆

标记

  • 54
  • 14
  • 6
  • 4
  • 4
  • 4
  • 4
  • 4
  • 4
  • 3
  • 3
  • 2
  • 2
  • 2
  • 1
  • 1
  • 1
  • 1
  • 1
  • 1
  • 1
  • 1
  • 1
  • 1
  • 1
This AGR2 antibody is un-conjugated

应用范围

  • 94
  • 60
  • 35
  • 28
  • 28
  • 23
  • 19
  • 19
  • 14
  • 14
  • 4
  • 4
  • 1
Western Blotting (WB), Immunohistochemistry (Paraffin-embedded Sections) (IHC (p)), Enzyme Immunoassay (EIA)
  • 抗原表位

    • 19
    • 15
    • 5
    • 5
    • 5
    • 4
    • 4
    • 3
    • 2
    • 1
    • 1
    • 1
    • 1
    • 1
    • 1
    • 1
    • 1
    N-Term

    特异性

    This antibody reacts to Anterior Gradient 2 (AGR2).

    纯化方法

    Prepared by Saturated Ammonium Sulfate (SAS) precipitation followed by dialysis against PBS

    免疫原

    This antibody is generated from rabbits immunized with a KLH conjugated synthetic peptide selected from the N-terminal region of human AGR2.

    亚型

    Ig Fraction
  • 应用备注

    ELISA: 1/1,000. Western blotting: 1/50 - 1/100. Immunohistochemistry: 1/10 - 1/50.
    Other applications not tested.
    Optimal dilutions are dependent on conditions and should be determined by the user.

    限制

    仅限研究用
  • 状态

    Liquid

    浓度

    0.25 mg/mL

    缓冲液

    PBS with 0.09 % (W/V) sodium azide

    储存液

    Sodium azide

    注意事项

    This product contains sodium azide: a POISONOUS AND HAZARDOUS SUBSTANCE which should be handled by trained staff only.

    注意事项

    Avoid repeated freezing and thawing.

    储存条件

    4 °C/-20 °C

    储存方法

    Store the antibody undiluted at 2-8 °C for one month or (in aliquots) at-20 °C for longer.
  • 抗原

    AGR2 (Anterior Gradient Homolog 2 (Xenopus Laevis) (AGR2))

    别名

    AGR2

    背景

    Anterior gradient 2 (AGR2) is known as a cancer cell marker specifically up-regulated in response to depletion of serum and oxygen. AGR2 has been identified as a tumor marker in primary and secondary cancer lesions, and as a marker for detection of circulating tumor cells (CTCs). Elevated levels of AGR2 are known to increase the metastatic potential of cancer cells, but conditions leading to increased expression of AGR2 are not well understood.Synonyms: AG-2, AG2, Anterior gradient protein 2 homolog, HPC8, Secreted cement gland protein XAG-2 homolog

    基因ID

    10551, 9606

    UniProt

    O95994
You are here: