Recombinant AGR2 抗体
Our Local Distributor
北京 101111
Quick Overview for Recombinant AGR2 抗体 (ABIN7826103)
抗原
See all AGR2 抗体抗体类型
适用
宿主
克隆类型
标记
应用范围
克隆位点
-
-
原理
- Anterior Gradient 2 / AGR2 antibody (HMV325)
-
免疫原
- Recombinant human AGR2 fragment
-
亚型
- IgG
-
-
-
-
应用备注
- IHC 1:100-1:200
-
说明
-
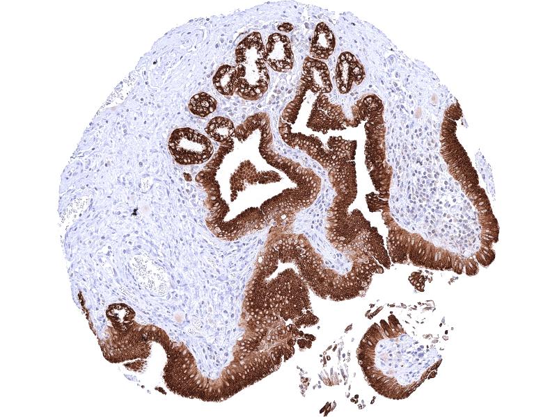
Positive Control: Colon: A strong predominantly cytoplasmic AGR2 staining should be seen in all epithelial cells.
Product Description/Background: Anterior Gradient 2 / AGR2 antibody validated for immunohistochemistry on 76 different Normal Tissues
Negative Control: Colon: AGR2 staining should be absent in all non-epithelial cell types.
-
实验流程
- Freshly cut sections should be used (less than 10 days between cutting and staining). Heat-induced antigen retrieval for 5 minutes in an autoclave at 121 °C in pH 7,8 Target Retrieval Solution buffer. Apply the antibody at a dilution of 1:150 at 37 °C for 60 minutes.
-
限制
- 仅限研究用
-
-
-
状态
- Liquid
-
储存条件
- 4 °C,-20 °C,-80 °C
-
储存方法
- Antibody with azide - store at 2 to 8 C. Antibody without azide - store at -20 to -80 C. Antibody is stable for 24 months. Non- hazardous. No MSD required.
-
有效期
- 24 months
-
-
- AGR2 (Anterior Gradient Homolog 2 (Xenopus Laevis) (AGR2))
-
别名
- Anterior Gradient 2 / AGR2
-
背景
- Gene Alias: anterior gradient 2, protein disulphide isomerase family member , AG-2 , AG2 , GOB-4 , HAG-2 , HEL-S-116 , HPC8 , PDIA17 , XAG-2
-
UniProt
- O95994
抗原
-