电话:
+86 (0512) 65829739
传真:
+86 (010) 6788 5057
电子邮件:
orders@antibodies-online.cn

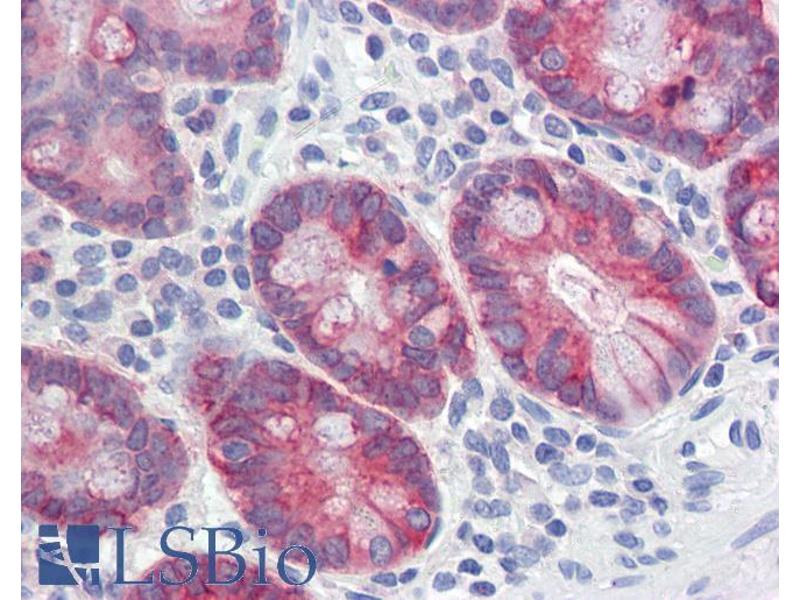
AGR2 抗体 (Internal Region)

The 山羊 多克隆 anti-AGR2 antibody (ABIN334341) specifically detects AGR2 in WB 和 ELISA. The antibody is reactive with 人 samples.
产品编号 ABIN334341
发货至: 中国
Contact our Customer Service for availability and price in your country. Contact Info

Our Local Distributor

中国
北京 101111
No. 88 KeChuang 6th Street
Beijing Economic Technological Development Area
Room 801-803
4A Biotech Co.,Ltd.
Tel +86 (0512) 65829739 传真 +86 (010) 6788 5057

Quick Overview for AGR2 抗体 (Internal Region) (ABIN334341)

抗原

See all AGR2 抗体
AGR2 (Anterior Gradient Homolog 2 (Xenopus Laevis) (AGR2))

适用

  • 94
  • 41
  • 36
  • 6
  • 4
  • 4
  • 3
  • 3
  • 2
  • 2
  • 2
  • 1
  • 1

宿主

  • 99
  • 20
  • 1
  • 1
山羊

克隆类型

  • 71
  • 49
多克隆

标记

  • 54
  • 14
  • 6
  • 4
  • 4
  • 4
  • 4
  • 4
  • 4
  • 3
  • 3
  • 2
  • 2
  • 2
  • 1
  • 1
  • 1
  • 1
  • 1
  • 1
  • 1
  • 1
  • 1
  • 1
  • 1
This AGR2 antibody is un-conjugated

应用范围

  • 94
  • 60
  • 35
  • 28
  • 27
  • 23
  • 20
  • 19
  • 14
  • 14
  • 4
  • 4
  • 2
Western Blotting (WB), ELISA

质量等级

Verified
  • 抗原表位

    • 19
    • 15
    • 6
    • 5
    • 5
    • 4
    • 4
    • 3
    • 2
    • 1
    • 1
    • 1
    • 1
    • 1
    • 1
    • 1
    Internal Region

    原理

    AGR2

    序列

    GAKKDTKDSR PK

    交叉反应

    犬, 人, 小鼠

    纯化方法

    Purified from goat serum by ammonium sulphate precipitation followed by antigen affinity chromatography using the immunizing peptide.

    免疫原

    Peptide with sequence C-GAKKDTKDSRPK, from the internal region of the protein sequence according to NP_006399.1.

    亚型

    IgG
  • 应用备注

    Western Blot: Approx. 18 kDa band observed in Human Colon, Duodenum and Lung lysates (calculated MW of 20.0 kDa according to NP_006399.1). Recommended concentration: 0.1-0.3 μg/mL. Primary incubation was 1 hour.

    Peptide ELISA: antibody detection limit dilution 1:8000.

    限制

    仅限研究用
  • 状态

    Liquid

    浓度

    0.5 mg/mL

    缓冲液

    Supplied at 0.5 mg/mL in Tris saline, 0.02 % sodium azide, pH 7.3 with 0.5 % bovine serum albumin.

    储存液

    Sodium azide

    注意事项

    This product contains Sodium azide: a POISONOUS AND HAZARDOUS SUBSTANCE which should be handled by trained staff only.

    注意事项

    Minimize freezing and thawing.

    储存条件

    -20 °C

    储存方法

    Aliquot and store at -20°C, with minimal freeze/thawing. A working aliquot may be refrigerated at 4°C for a few weeks and still remain viable.
  • 抗原

    AGR2 (Anterior Gradient Homolog 2 (Xenopus Laevis) (AGR2))

    别名

    AGR2

    背景

    AGR2, anterior gradient 2 homolog (Xenopus laevis) , AG2, GOB-4, HAG-2, XAG-2 , anterior gradient 2 homolog, anterior gradient 2 homolog (Xenepus laevis), secreted cement gland homolog

    基因ID

    10551, 23795

    NCBI登录号

    NP_006399
You are here: