电话:
+86 (0512) 65829739
传真:
+86 (010) 6788 5057
电子邮件:
orders@antibodies-online.cn

AGR2 抗体 (AA 21-175)

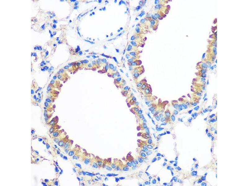
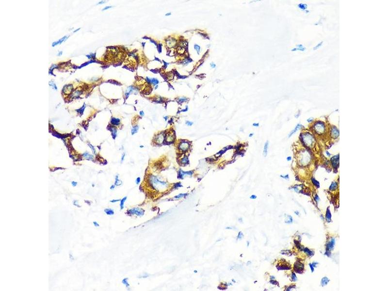
The 兔 多克隆 anti-AGR2 antibody is suitable to detect AGR2 in samples from 人. It has been validated for WB, IHC 和 IF.
产品编号 ABIN6136646
发货至: 中国
Contact our Customer Service for availability and price in your country. Contact Info

Our Local Distributor

中国
北京 101111
No. 88 KeChuang 6th Street
Beijing Economic Technological Development Area
Room 801-803
4A Biotech Co.,Ltd.
Tel +86 (0512) 65829739 传真 +86 (010) 6788 5057

Quick Overview for AGR2 抗体 (AA 21-175) (ABIN6136646)

抗原

See all AGR2 抗体
AGR2 (Anterior Gradient Homolog 2 (Xenopus Laevis) (AGR2))

适用

  • 94
  • 41
  • 36
  • 6
  • 4
  • 4
  • 3
  • 3
  • 2
  • 2
  • 2
  • 1
  • 1

宿主

  • 98
  • 20
  • 1
  • 1
  • 1

克隆类型

  • 71
  • 49
多克隆

标记

  • 54
  • 14
  • 6
  • 4
  • 4
  • 4
  • 4
  • 4
  • 4
  • 3
  • 3
  • 2
  • 2
  • 2
  • 1
  • 1
  • 1
  • 1
  • 1
  • 1
  • 1
  • 1
  • 1
  • 1
  • 1
This AGR2 antibody is un-conjugated

应用范围

  • 94
  • 59
  • 34
  • 28
  • 28
  • 23
  • 20
  • 19
  • 14
  • 14
  • 4
  • 4
  • 2
Western Blotting (WB), Immunohistochemistry (IHC), Immunofluorescence (IF)
  • 抗原表位

    • 18
    • 15
    • 6
    • 5
    • 5
    • 4
    • 4
    • 3
    • 2
    • 1
    • 1
    • 1
    • 1
    • 1
    • 1
    • 1
    • 1
    AA 21-175

    序列

    RDTTVKPGAK KDTKDSRPKL PQTLSRGWGD QLIWTQTYEE ALYKSKTSNK PLMIIHHLDE CPHSQALKKV FAENKEIQKL AEQFVLLNLV YETTDKHLSP DGQYVPRIMF VDPSLTVRAD ITGRYSNRLY AYEPADTALL LDNMKKALKL LKTEL

    交叉反应

    人, 小鼠, 大鼠

    产品特性

    Polyclonal Antibodies

    纯化方法

    Affinity purification

    免疫原

    Recombinant fusion protein containing a sequence corresponding to amino acids 21-175 of human AGR2 (NP_006399.1).

    亚型

    IgG
  • 应用备注

    WB,1:500 - 1:2000,IHC,1:50 - 1:200,IF,1:50 - 1:200

    说明

    HIGH QUALITY

    限制

    仅限研究用
  • 状态

    Liquid

    缓冲液

    PBS with 0.02 % sodium azide,50 % glycerol, pH 7.3.

    储存液

    Sodium azide

    注意事项

    This product contains Sodium azide: a POISONOUS AND HAZARDOUS SUBSTANCE which should be handled by trained staff only.

    储存条件

    -20 °C

    储存方法

    Store at -20°C. Avoid freeze / thaw cycles.
  • 抗原

    AGR2 (Anterior Gradient Homolog 2 (Xenopus Laevis) (AGR2))

    别名

    AGR2

    背景

    This gene encodes a member of the disulfide isomerase (PDI) family of endoplasmic reticulum (ER) proteins that catalyze protein folding and thiol-disulfide interchange reactions. The encoded protein has an N-terminal ER-signal sequence, a catalytically active thioredoxin domain, and a C-terminal ER-retention sequence. This protein plays a role in cell migration, cellular transformation and metastasis and is as a p53 inhibitor. As an ER-localized molecular chaperone, it plays a role in the folding, trafficking, and assembly of cysteine-rich transmembrane receptors and the cysteine-rich intestinal gylcoprotein mucin. This gene has been implicated in inflammatory bowel disease and cancer progression.,AGR2,AG-2,AG2,GOB-4,HAG-2,HEL-S-116,HPC8,PDIA17,XAG-2,Cancer,Tumor biomarkers,Cell Biology & Developmental Biology,Stem Cells,AGR2

    分子量

    19 kDa

    基因ID

    10551

    UniProt

    O95994
You are here: