电话:
+86 (0512) 65829739
传真:
+86 (010) 6788 5057
电子邮件:
orders@antibodies-online.cn

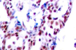
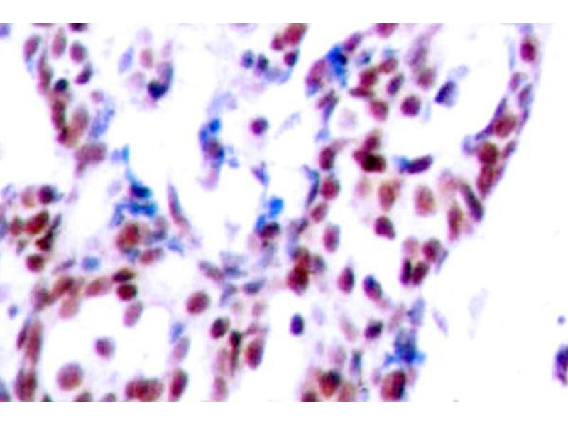
ATF2 抗体

The 兔 多克隆 anti-ATF2 antibody (ABIN265320) specifically detects ATF2 in WB, IP, IHC (p) 和 EIA. The antibody is reactive with 人, 小鼠 和 大鼠 samples.
产品编号 ABIN265320
发货至: 中国
Contact our Customer Service for availability and price in your country. Contact Info

Our Local Distributor

中国
北京 101111
No. 88 KeChuang 6th Street
Beijing Economic Technological Development Area
Room 801-803
4A Biotech Co.,Ltd.
Tel +86 (0512) 65829739 传真 +86 (010) 6788 5057

Quick Overview for ATF2 抗体 (ABIN265320)

抗原

See all ATF2 抗体
ATF2 (Activating Transcription Factor 2 (ATF2))

适用

  • 336
  • 239
  • 206
  • 17
  • 12
  • 11
  • 8
  • 7
  • 7
  • 5
  • 5
  • 3
  • 2
  • 2
  • 1
  • 1
人, 小鼠, 大鼠

宿主

  • 365
  • 14
  • 2
  • 1

克隆类型

  • 325
  • 57
多克隆

标记

  • 169
  • 21
  • 11
  • 11
  • 10
  • 10
  • 10
  • 10
  • 10
  • 10
  • 9
  • 9
  • 9
  • 9
  • 9
  • 9
  • 9
  • 9
  • 9
  • 9
  • 9
  • 3
  • 3
  • 3
  • 2
This ATF2 antibody is un-conjugated

应用范围

  • 284
  • 130
  • 119
  • 118
  • 107
  • 85
  • 70
  • 61
  • 41
  • 29
  • 20
  • 10
  • 5
  • 2
  • 2
  • 1
Western Blotting (WB), Immunoprecipitation (IP), Immunohistochemistry (Paraffin-embedded Sections) (IHC (p)), Enzyme Immunoassay (EIA)
  • 特异性

    This antibody detects endogenous levels of ATF2 protein (region surrounding Val65/47).

    交叉反应 (详细)

    Species reactivity (expected):Mouse and Rat.
    Species reactivity (tested):Human.

    纯化方法

    The antibody was affinity-purified from rabbit antiserum by affinity chromatography using epitope-specific immunogen

    纯度

    > 95 % pure by SDS-PAGE
  • 应用备注

    ELISA: 1: 20000approx. 1: 40000. WB: 1: 500approx. 1: 1000. IHC: 1: 50approx. 1: 200. IP: 1: 50approx. 1: 200.
    Other applications not tested.
    Optimal dilutions are dependent on conditions and should be determined by the user.

    限制

    仅限研究用
  • 浓度

    1.0 mg/mL

    缓冲液

    Phosphate buffered saline (PBS), pH 7.2, 0.05 % Sodium azide

    储存液

    Sodium azide

    注意事项

    This product contains sodium azide: a POISONOUS AND HAZARDOUS SUBSTANCE which should be handled by trained staff only.

    注意事项

    Avoid repeated freezing and thawing.

    储存条件

    4 °C/-20 °C

    储存方法

    Store undiluted at 2-8 °C for one month or (in aliquots) at -20 °C for longer.
  • 抗原

    ATF2 (Activating Transcription Factor 2 (ATF2))

    别名

    ATF2

    背景

    The transcription factor ATF-2 (also called CRE-BP1) binds to both AP-1 and CRE DNA response elements and is a member of the ATF/CREB family of leucine zipper proteins. ATF-2 interacts with a variety of viral oncoproteins and cellular tumor suppressors and is a target of the SAPK/JNK and p38 MAP kinase signaling pathways. Various forms of cellular stress, including genotoxic agents, inflammatory cytokines and UV irradiation, stimulate the transcriptional activity of ATF-2. Cellular stress activates ATF-2 by phosphorylation of Thr69 and Thr71. Both SAPK and p38 MAPK have been shown to phosphorylate ATF-2 at these sites in vitro and in cells transfected with ATF-2.Synonyms: ATF-2, Activating transcription factor 2, CRE-BP1, CREB-2, CREB2, CREBP1, Cyclic AMP-dependent transcription factor ATF-2, Cyclic AMP-responsive element-binding protein 2, HB16, cAMP response element-binding protein CRE-BP1, cAMP-dependent transcription factor ATF-2

    分子量

    approx. 55 to 75 kDa

    基因ID

    1386

    NCBI登录号

    NP_001871

    UniProt

    P15336

    途径

    MAPK Pathway, RTK signaling, Thyroid Hormone Synthesis, Activation of Innate immune Response, Chromatin Binding, Myometrial Relaxation and Contraction, Synaptic Membrane, Tube Formation, Toll-Like Receptors Cascades
You are here: