电话:
+86 (0512) 65829739
传真:
+86 (010) 6788 5057
电子邮件:
orders@antibodies-online.cn

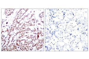
ATF2 抗体 (pThr73)

The 兔 多克隆 anti-ATF2 antibody is suitable to detect ATF2 in samples from 人. It has been validated for WB, IHC, ELISA 和 IF.
产品编号 ABIN7138878
发货至: 中国
Contact our Customer Service for availability and price in your country. Contact Info

Our Local Distributor

中国
北京 101111
No. 88 KeChuang 6th Street
Beijing Economic Technological Development Area
Room 801-803
4A Biotech Co.,Ltd.
Tel +86 (0512) 65829739 传真 +86 (010) 6788 5057

Quick Overview for ATF2 抗体 (pThr73) (ABIN7138878)

抗原

See all ATF2 抗体
ATF2 (Activating Transcription Factor 2 (ATF2))

适用

  • 337
  • 240
  • 207
  • 17
  • 12
  • 11
  • 8
  • 7
  • 7
  • 5
  • 5
  • 3
  • 2
  • 2
  • 1
  • 1

宿主

  • 365
  • 15
  • 2
  • 1

克隆类型

  • 325
  • 58
多克隆

标记

  • 170
  • 21
  • 11
  • 11
  • 10
  • 10
  • 10
  • 10
  • 10
  • 10
  • 9
  • 9
  • 9
  • 9
  • 9
  • 9
  • 9
  • 9
  • 9
  • 9
  • 9
  • 3
  • 3
  • 3
  • 2
This ATF2 antibody is un-conjugated

应用范围

  • 285
  • 129
  • 120
  • 119
  • 118
  • 85
  • 82
  • 48
  • 41
  • 29
  • 21
  • 10
  • 6
  • 2
  • 2
  • 1
Western Blotting (WB), Immunohistochemistry (IHC), ELISA, Immunofluorescence (IF)
  • 抗原表位

    • 54
    • 45
    • 26
    • 25
    • 25
    • 24
    • 24
    • 23
    • 15
    • 15
    • 15
    • 14
    • 13
    • 11
    • 9
    • 6
    • 5
    • 4
    • 3
    • 3
    • 3
    • 3
    • 3
    • 3
    • 3
    • 2
    • 2
    • 2
    • 2
    • 2
    • 2
    • 2
    • 2
    • 2
    • 2
    • 1
    • 1
    • 1
    • 1
    • 1
    • 1
    • 1
    • 1
    • 1
    • 1
    • 1
    • 1
    • 1
    • 1
    • 1
    pThr73

    原理

    Phospho-ATF2 (Thr73 or 55) Antibody

    交叉反应

    猴, 小鼠, 大鼠

    纯化方法

    Antibodies were produced by immunizing rabbits with synthetic phosphopeptide and KLH conjugates. Antibodies were purified by affinity-chromatography using epitope-specific phosphopeptide. Non-phospho specific antibodies were removed by chromatogramphy usi

    免疫原

    Peptide sequence around phosphorylation site of threonine 73 or 55 (T-P-T(p)-R-F) derived from Human ATF2.

    亚型

    IgG
  • 应用备注

    Optimal working dilution should be determined by the investigator.

    限制

    仅限研究用
  • 状态

    Liquid

    缓冲液

    Supplied at 1.0 mg/mL in phosphate buffered saline (without Mg2+ and Ca2+), pH 7.4, 150 mM NaCl, 0.02 % sodium azide and 50 % glycerol.

    储存液

    Sodium azide

    注意事项

    This product contains Sodium azide: a POISONOUS AND HAZARDOUS SUBSTANCE which should be handled by trained staff only.

    储存条件

    -20 °C,-80 °C

    储存方法

    Upon receipt, store at -20°C or -80°C. Avoid repeated freeze.
  • 抗原

    ATF2 (Activating Transcription Factor 2 (ATF2))

    别名

    ATF2

    背景

    Background:

    Transcriptional activator, probably constitutive, which binds to the cAMP-responsive element (CRE) (consensus: 5'-GTGACGT[AC][AG]-3'), a sequence present in many viral and cellular promoters. Interaction with JUN redirects JUN to bind to CRES preferentially over the 12-O-tetradecanoylphorbol-13-acetate response elements (TRES) as part of an ATF2-c-Jun complex.

    Beausoleil S A, et al. (2004) Proc Natl Acad Sci U S A. 101(33): 12130-12135.
    Abdel-Hafiz H A, et al. (1992) Mol Endocrinol. 6: 2079-2089.
    Gupta S, et al. (1995) Science. 267: 389-393.
    Van Dam H, et al. (1995) EMBO J. 14(8): 1798-1811.
    Livingstone C, et al. (1995) EMBO J. 14: 1785-1797.

    Aliases: Activating transcription factor 2 antibody, Activating transcription factor 2 splice variant ATF2 var2 antibody, ATF 2 antibody, Atf-2 antibody, Atf2 antibody, ATF2 protein antibody, ATF2_HUMAN antibody, cAMP Response Element Binding Protein 2 antibody, cAMP response element binding protein CRE BP1 antibody, cAMP response element-binding protein CRE-BP1 antibody, cAMP responsive element binding protein 2, formerly antibody, cAMP-dependent transcription factor ATF-2 antibody, cAMP-responsive element-binding protein 2 antibody, CRE BP1 antibody, CRE-BP antibody, CREB 2 antibody, CREB-2 antibody, CREB2 antibody, CREBP1 antibody, Cyclic AMP dependent transcription factor ATF 2 antibody, Cyclic AMP-dependent transcription factor ATF-2 antibody, Cyclic AMP-responsive element-binding protein 2 antibody, D130078H02Rik antibody, D18875 antibody, HB 16 antibody, HB16 antibody, Histone acetyltransferase ATF2 antibody, MGC105211 antibody, MGC105222 antibody, MGC111558 antibody, MGC142504 antibody, mXBP antibody, MXBP protein antibody, Tg(Gzma-Klra1)7Wum antibody, TREB 7 antibody, TREB7 antibody

    UniProt

    P15336

    途径

    MAPK Pathway, RTK signaling, Thyroid Hormone Synthesis, Activation of Innate immune Response, Chromatin Binding, Myometrial Relaxation and Contraction, Synaptic Membrane, Tube Formation, Toll-Like Receptors Cascades
You are here: