电话:
+86 (0512) 65829739
传真:
+86 (010) 6788 5057
电子邮件:
orders@antibodies-online.cn

ATF2 抗体 (Thr53, Thr71)

The 兔 多克隆 anti-ATF2 antibody (ABIN197148) specifically detects ATF2 in WB, IF 和 IHC (p). The antibody is reactive with 人 和 小鼠 samples.
产品编号 ABIN197148
发货至: 中国
Contact our Customer Service for availability and price in your country. Contact Info

Our Local Distributor

中国
北京 101111
No. 88 KeChuang 6th Street
Beijing Economic Technological Development Area
Room 801-803
4A Biotech Co.,Ltd.
Tel +86 (0512) 65829739 传真 +86 (010) 6788 5057

Quick Overview for ATF2 抗体 (Thr53, Thr71) (ABIN197148)

抗原

See all ATF2 抗体
ATF2 (Activating Transcription Factor 2 (ATF2))

适用

  • 337
  • 239
  • 207
  • 17
  • 12
  • 11
  • 8
  • 7
  • 7
  • 5
  • 5
  • 3
  • 2
  • 2
  • 1
  • 1
人, 小鼠

宿主

  • 365
  • 15
  • 2
  • 1

克隆类型

  • 325
  • 58
多克隆

标记

  • 170
  • 21
  • 11
  • 11
  • 10
  • 10
  • 10
  • 10
  • 10
  • 10
  • 9
  • 9
  • 9
  • 9
  • 9
  • 9
  • 9
  • 9
  • 9
  • 9
  • 9
  • 3
  • 3
  • 3
  • 2
This ATF2 antibody is un-conjugated

应用范围

  • 285
  • 130
  • 121
  • 119
  • 118
  • 85
  • 82
  • 47
  • 41
  • 29
  • 21
  • 10
  • 6
  • 2
  • 2
  • 1
Western Blotting (WB), Immunofluorescence (IF), Immunohistochemistry (Paraffin-embedded Sections) (IHC (p))
  • 抗原表位

    • 54
    • 45
    • 26
    • 25
    • 25
    • 24
    • 24
    • 23
    • 15
    • 15
    • 15
    • 15
    • 13
    • 11
    • 9
    • 6
    • 5
    • 4
    • 3
    • 3
    • 3
    • 3
    • 3
    • 3
    • 2
    • 2
    • 2
    • 2
    • 2
    • 2
    • 2
    • 2
    • 2
    • 2
    • 2
    • 1
    • 1
    • 1
    • 1
    • 1
    • 1
    • 1
    • 1
    • 1
    • 1
    • 1
    • 1
    • 1
    • 1
    • 1
    Thr53, Thr71

    特异性

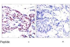
    ATF-2 antibody detects endogenous levels of total ATF-2 protein.

    纯化方法

    Affinity chromatography

    免疫原

    Synthetic non-phosphopeptide derived from human ATF-2 around the phosphorylation site of threonine 71 or 53 (T-P-TP-P-T).
  • 应用备注

    Western Blot: 1: 500approx. 1: 1000. Immunohistochemistry: 1: 50approx. 1: 100.
    Other applications not tested.
    Optimal dilutions are dependent on conditions and should be determined by the user.

    限制

    仅限研究用
  • 浓度

    1.0 mg/mL

    缓冲液

    PBS(without Mg2+ and Ca2+), pH 7.4 containing 150 mM NaCl, 0.02 % sodium azide and 50 % glycerol

    储存液

    Sodium azide

    注意事项

    This product contains sodium azide: a POISONOUS AND HAZARDOUS SUBSTANCE which should be handled by trained staff only.

    注意事项

    Avoid repeated freezing and thawing.

    储存条件

    -20 °C
  • 抗原

    ATF2 (Activating Transcription Factor 2 (ATF2))

    别名

    ATF2

    背景

    ATF2 (Activating Transcription Factor 2, CREBP, HB16, CREB2, TREB7) is a member of the ATF/CREB family of basic region leucine zipper DNA binding proteins that regulates transcription by binding to a consensus cAMP response element (CRE) in the promoter of various viral and cellular genes. Many of these genes are important in cell growth and differentiation, and in stress and immune responses. ATF2 is a nuclear protein that binds DNA as a dimer and can form dimers with members of the ATF/CREB and Jun/Fos families. It is a stronger activator as a heterodimer with cJun than as a homodimer. Several isoforms of ATF2 arise by differential splicing. The stable native full length ATF2 is transcriptionally inactive as a result of an inhibitory direct intramolecular interaction of its carboxy terminal DNA binding domain with the amino terminal transactivation domain. Following dimerization ATF2 becomes a short lived protein that undergoes ubiquitination and proteolysis, seemingly in a protein phosphatase-dependent mechanism. Stimulation of the transcriptional activity of ATF2 occurs following cellular stress induced by several genotoxic agents, inflammatory cytokines, and UV irradiation. This activation requires phosphorylation of two threonine residues in ATF2 by both JNK/SAP kinase and p38 MAP kinase. ATF2 is abundantly expressed in brain.Synonyms: ATF-2, Activating transcription factor 2, CRE-BP1, CREB-2, CREB2, CREBP1, Cyclic AMP-dependent transcription factor ATF-2, Cyclic AMP-responsive element-binding protein 2, HB16, cAMP response element-binding protein CRE-BP1, cAMP-dependent transcription factor ATF-2

    基因ID

    1386

    NCBI登录号

    NP_001871

    UniProt

    P15336

    途径

    MAPK Pathway, RTK signaling, Thyroid Hormone Synthesis, Activation of Innate immune Response, Chromatin Binding, Myometrial Relaxation and Contraction, Synaptic Membrane, Tube Formation, Toll-Like Receptors Cascades
You are here: