电话:
+86 (0512) 65829739
传真:
+86 (010) 6788 5057
电子邮件:
orders@antibodies-online.cn

SLBP 抗体

(Stem-Loop Binding Protein (SLBP))
This gene encodes a protein that binds to the stem-loop structure in replication-dependent histone mRNAs. Histone mRNAs do not contain introns or polyadenylation signals, and are processed by endonucleolytic cleavage. The stem-loop structure is essential for efficient processing but this structure also controls the transport, translation and stability of histone mRNAs. Expression of the protein is regulated during the cell cycle, increasing more than 10-fold during the latter part of G1. [provided by RefSeq, Jul 2008].

23 results

SLBP 适用: 人, 小鼠, 大鼠 WB, IHC, IF 宿主: 兔 Polyclonal unconjugated
产品编号 ABIN7075733
100 μL
发货至: 中国
获取报价
 
SLBP 适用: 人 WB, ELISA, IF 宿主: 小鼠 Monoclonal 2C4-1C8 unconjugated
Pubmed 1 reference
产品编号 ABIN563497
100 μg
发货至: 中国
获取报价
 
KD Validated SLBP 适用: 人 WB, FACS 宿主: 兔 Monoclonal 25GB4485 unconjugated Recombinant Antibody
产品编号 ABIN7800436
100 μL
发货至: 中国
获取报价
 
SLBP 适用: 人, 犬, 斑马鱼 WB 宿主: 兔 Polyclonal unconjugated
产品编号 ABIN633212
100 μL
发货至: 中国
获取报价
 
SLBP 适用: 人, Cow, 犬, 斑马鱼, 豚鼠, 马, Bat, 猴 WB 宿主: 兔 Polyclonal unconjugated
产品编号 ABIN6736294
100 μL
发货至: 中国
获取报价
 
SLBP 适用: 人, 小鼠, Cow, 犬, 斑马鱼, 大鼠, 豚鼠, 马 WB, IHC 宿主: 兔 Polyclonal unconjugated
产品编号 ABIN2778993
100 μL (More quantities available)
发货至: 中国
获取报价
 
KO Validated SLBP 适用: 人 WB, ICC, IF 宿主: 兔 Polyclonal unconjugated
产品编号 ABIN7464579
100 μL
发货至: 中国
获取报价
 
SLBP 适用: 人 WB, IP 宿主: 兔 Polyclonal unconjugated
产品编号 ABIN7449822
100 μg (More quantities available)
发货至: 中国
获取报价
 
SLBP 适用: 人, Cow WB, IP 宿主: 兔 Polyclonal unconjugated
产品编号 ABIN1935371
100 μL (More quantities available)
发货至: 中国
获取报价
 
SLBP 适用: 人, 小鼠 ELISA 宿主: 兔 Polyclonal unconjugated
产品编号 ABIN7095162
100 μL (More quantities available)
发货至: 中国
获取报价
 
SLBP 适用: 人, 小鼠 WB, IHC, ICC, ELISA, IF, FACS 宿主: 兔 Polyclonal unconjugated
产品编号 ABIN7600074
 
SLBP 适用: 人, 犬, 斑马鱼 WB, ELISA 宿主: 兔 Polyclonal unconjugated
产品编号 ABIN2462218
100 μL
发货至: 中国
获取报价
 
SLBP 适用: 人 WB, ELISA, IF 宿主: 小鼠 Monoclonal 2C4-1C8 unconjugated
产品编号 ABIN2361395
100 μg
发货至: 中国
获取报价
 
SLBP 适用: 人 WB, IP, IHC, ICC 宿主: 兔 Monoclonal Alexa Fluor 405
产品编号 ABIN7779606
100 μL
发货至: 中国
获取报价
 
SLBP 适用: 人 WB, IP, IHC, ICC 宿主: 兔 Monoclonal Alexa Fluor 488
产品编号 ABIN7779607
100 μL
发货至: 中国
获取报价
 
SLBP 适用: 人 WB, IP, IHC, ICC 宿主: 兔 Monoclonal Alexa Fluor 555
产品编号 ABIN7779608
100 μL
发货至: 中国
获取报价
 
SLBP 适用: 人 WB, IP, IHC, ICC 宿主: 兔 Monoclonal Alexa Fluor 594
产品编号 ABIN7779609
100 μL
发货至: 中国
获取报价
 
SLBP 适用: 人 WB, IP, IHC, ICC 宿主: 兔 Monoclonal Alexa Fluor 647
产品编号 ABIN7779610
100 μL
发货至: 中国
获取报价
 
SLBP 适用: 人 WB, IP, IHC, ICC 宿主: 兔 Monoclonal Alexa Fluor 350
产品编号 ABIN7779605
100 μL
发货至: 中国
获取报价
 
SLBP 适用: 人 WB, IP, IHC, ICC 宿主: 兔 Monoclonal Alexa Fluor 680
产品编号 ABIN7779611
100 μL
发货至: 中国
获取报价
 
  • 类型 Primary
    • Primary
  • 应用范围
    • Western Blotting (WB)
    • Immunohistochemistry (IHC)
    • Immunoprecipitation (IP)
    • Immunocytochemistry (ICC)
    • ELISA
    • Immunofluorescence (IF)
    • Flow Cytometry (FACS)
  • 适用
    • Human
    • Dog
    • Mouse
    • Zebrafish (Danio rerio)
    • Cow
    • Guinea Pig
    • Horse
    • Rat
    • Bat
    • Monkey
  • 论文引用
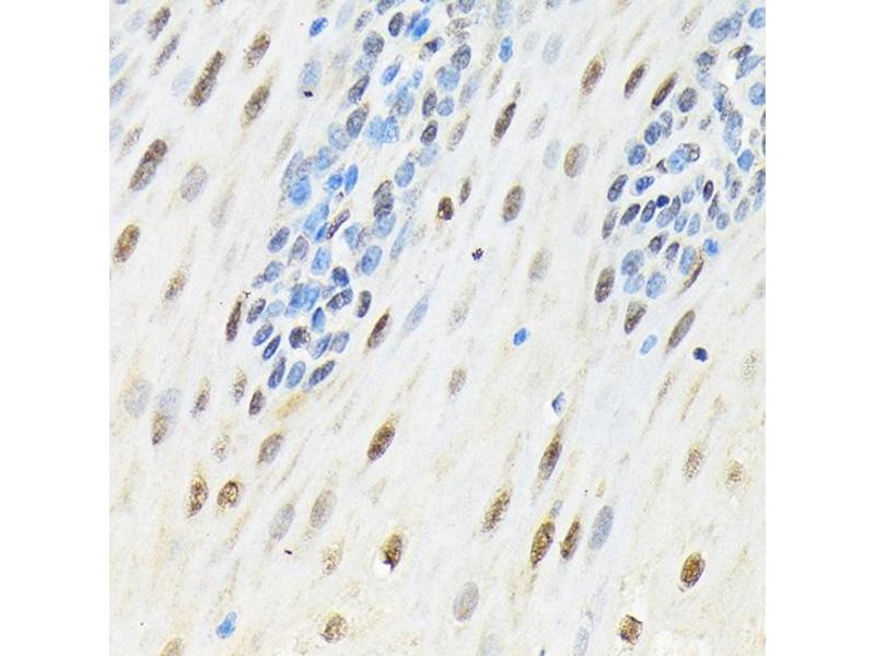
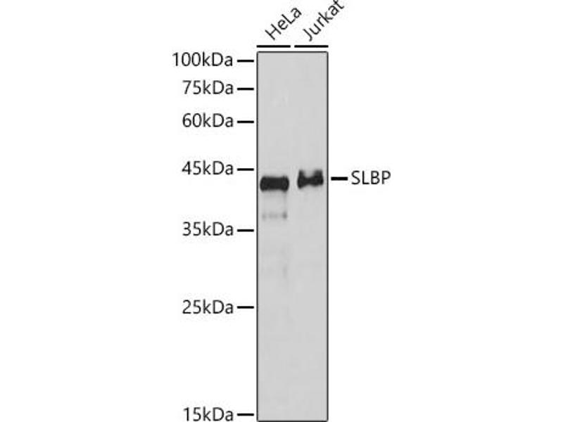
  • 图像
  • Carrier free only
  • 抗体来源
    • Rabbit
    • Mouse
  • 克隆形成能力
    • Monoclonal
    • Polyclonal
  • 克隆
    • 2C4-1C8
    • 25GB4485
  • 抗原表位
    • AA 220-270
    • AA 1-270
    • AA 1-271
    • AA 142-191
    • AA 146-270
    • Middle Region
  • 标记
    • 非结合性
    • Alexa Fluor 350
    • Alexa Fluor 405
    • Alexa Fluor 488
    • Alexa Fluor 555
    • Alexa Fluor 594
    • Alexa Fluor 647
    • Alexa Fluor 680
    • Alexa Fluor 750
    • Biotin
  • 抗体亚型
    • IgG
    • IgG2a
    • IgG2a kappa
  • 蛋白类型
    • Recombinant Antibody
  • Format
    • Liquid
    • Lyophilized
  • Grade
    • KD Validated
    • KO Validated
  • Supplier
    • Signalway
    • antibodies-online
    • Aviva Systems Biology
    • Boster Bio
    • Cohesion Biosciences
    • ProSci
    • USBio

Latest Publications for our SLBP 抗体

Tan, Hagen: "Destabilization of CDC6 upon DNA damage is dependent on neddylation but independent of Cullin E3 ligases." in: The international journal of biochemistry & cell biology, Vol. 45, Issue 7, pp. 1489-98, (2013) (PubMed).

Zheng, Dominski, Yang, Elms, Raska, Borchers, Marzluff et al.: "Phosphorylation of stem-loop binding protein (SLBP) on two threonines triggers degradation of SLBP, the sole cell cycle-regulated factor required for regulation of histone mRNA processing, at the end ..." in: Molecular and cellular biology, Vol. 23, Issue 5, pp. 1590-601, (2003) (PubMed).

Whitfield, Zheng, Baldwin, Ohta, Hurt, Marzluff: "Stem-loop binding protein, the protein that binds the 3' end of histone mRNA, is cell cycle regulated by both translational and posttranslational mechanisms." in: Molecular and cellular biology, Vol. 20, Issue 12, pp. 4188-98, (2000) (PubMed).

Aliases for SLBP 抗体

stem-loop binding protein (Slbp) 抗体
Stem-loop binding protein (Slbp) 抗体
stem-loop binding protein (slbp) 抗体
stem-loop binding protein (SLBP) 抗体
histone RNA hairpin-binding protein (LOC726745) 抗体
histone RNA hairpin-binding protein (EHI_178590) 抗体
histone RNA hairpin-binding protein (CpipJ_CPIJ008644) 抗体
histone RNA hairpin-binding protein (slbp) 抗体
stem-loop binding protein L homeolog (slbp.L) 抗体
cb157 抗体
CG11886 抗体
Dmel\\CG11886 抗体
dSLBP 抗体
dSLPB 抗体
GB13630 抗体
HBP 抗体
sb:cb157 抗体
si:dkey-102m7.2 抗体
SLBP 抗体
slbp 抗体
slbp1 抗体
xslbp 抗体
You are here: