电话:
+86 (0512) 65829739
传真:
+86 (010) 6788 5057
电子邮件:
orders@antibodies-online.cn

KDELR2 抗体

(KDEL (Lys-Asp-Glu-Leu) Endoplasmic Reticulum Protein Retention Receptor 2 (KDELR2))
Retention of resident soluble proteins in the lumen of the endoplasmic reticulum (ER) is achieved in both yeast and animal cells by their continual retrieval from the cis-Golgi, or a pre-Golgi compartment. Sorting of these proteins is dependent on a C-terminal tetrapeptide signal, usually lys-asp-glu-leu (KDEL) in animal cells, and his-asp-glu-leu (HDEL) in S. cerevisiae. This process is mediated by a receptor that recognizes, and binds the tetrapeptide-containing protein, and returns it to the ER. In yeast, the sorting receptor encoded by a single gene, ERD2, is a seven-transmembrane protein. Unlike yeast, several human homologs of the ERD2 gene, constituting the KDEL receptor gene family, have been described. KDELR2 was the second member of the family to be identified, and it encodes a protein which is 83% identical to the KDELR1 gene product. Alternative splicing results in multiple transcript variants encoding distinct isoforms. [provided by RefSeq, Jul 2008].

20 results

KDELR2 适用: 人 WB, IHC, ELISA, IF 宿主: 兔 Polyclonal unconjugated
产品编号 ABIN7187129
100 μg (More quantities available)
发货至: 中国
获取报价
 
KDELR2 适用: 人, 小鼠, 大鼠 WB, IHC, ELISA, IF, ICC 宿主: 兔 Polyclonal unconjugated
产品编号 ABIN6258945
100 μL (More quantities available)
发货至: 中国
获取报价
 
KDELR2 适用: 人, 小鼠, 大鼠 WB, IHC, ELISA, IF 宿主: 兔 Polyclonal unconjugated
产品编号 ABIN3185289
100 μL (More quantities available)
发货至: 中国
获取报价
 
KDELR2 适用: 人 WB 宿主: 兔 Polyclonal unconjugated
产品编号 ABIN524402
100 μg
发货至: 中国
获取报价
 
KDELR2 适用: 人, 小鼠, 大鼠 WB, ELISA, IF 宿主: 兔 Polyclonal unconjugated
产品编号 ABIN1534894
100 μL (More quantities available)
发货至: 中国
获取报价
 
KDELR2 适用: 人 WB, IHC (p), EIA 宿主: 兔 Polyclonal unconjugated
产品编号 ABIN953024
0.4 mL
发货至: 中国
获取报价
 
KDELR2 适用: 人 WB, IHC (p) 宿主: 兔 Polyclonal unconjugated
产品编号 ABIN5536626
400 μL
发货至: 中国
获取报价
 
KDELR2 适用: 人, 小鼠, 大鼠 WB, IHC, ELISA, IF, IHC (p) 宿主: 兔 Polyclonal unconjugated
产品编号 ABIN2879337
50 μL
发货至: 中国
获取报价
 
KDELR2 适用: 人, 小鼠, 大鼠 WB, IHC, IF, IHC (p) 宿主: 兔 Polyclonal unconjugated
产品编号 ABIN2879465
50 μL
发货至: 中国
获取报价
 
KDELR2 适用: 人, 小鼠, 大鼠 WB, ELISA, IF, IHC (p) 宿主: 兔 Polyclonal unconjugated
产品编号 ABIN7215530
100 μL (More quantities available)
发货至: 中国
获取报价
 
KDELR2 适用: 人 WB, IHC, IHC (p) 宿主: 兔 Polyclonal unconjugated
产品编号 ABIN1812306
400 μL
发货至: 中国
获取报价
 
KDELR2 适用: 人 WB, IHC, ELISA 宿主: 兔 Polyclonal unconjugated
产品编号 ABIN2611274
200 μL
发货至: 中国
获取报价
 
KDELR2 适用: 人 WB, IHC, ELISA 宿主: 兔 Polyclonal PE
产品编号 ABIN1907603
200 μL
发货至: 中国
获取报价
 
KDELR2 适用: 人 WB, IHC, ELISA 宿主: 兔 Polyclonal Biotin
产品编号 ABIN1907601
200 μL
发货至: 中国
获取报价
 
KDELR2 适用: 人 WB, IHC, ELISA 宿主: 兔 Polyclonal FITC
产品编号 ABIN1907602
200 μL
发货至: 中国
获取报价
 
KDELR2 适用: 人 WB, IHC, ELISA 宿主: 兔 Polyclonal HRP
产品编号 ABIN1907604
200 μL
发货至: 中国
获取报价
 
KDELR2 适用: 人 WB, IHC, ELISA 宿主: 兔 Polyclonal APC
产品编号 ABIN1907600
200 μL
发货至: 中国
获取报价
 
KDELR2 适用: 人 WB 宿主: 兔 Polyclonal unconjugated
产品编号 ABIN2790796
100 μL (More quantities available)
发货至: 中国
获取报价
 
KDELR2 适用: 人, 小鼠, 大鼠, 小鸡, Cow, Pig, 绵羊, 斑马鱼 WB, IHC, IF 宿主: 兔 Polyclonal unconjugated
产品编号 ABIN7301710
100 μL (More quantities available)
发货至: 中国
获取报价
 
KDELR2 适用: 人 WB, IHC, ELISA 宿主: 兔 Polyclonal unconjugated
产品编号 ABIN2298337
200 μL
发货至: 中国
获取报价
 
  • 类型 Primary
    • Primary
  • 应用范围
    • Western Blotting (WB)
    • Immunohistochemistry (IHC)
    • ELISA
    • Immunofluorescence (IF)
    • Immunohistochemistry (Paraffin-embedded Sections) (IHC (p))
    • Enzyme Immunoassay (EIA)
    • Immunochromatography (IC)
    • Immunocytochemistry (ICC)
  • 适用
    • Human
    • Mouse
    • Rat
    • Chicken
    • Cow
    • Pig
    • Sheep
    • Zebrafish (Danio rerio)
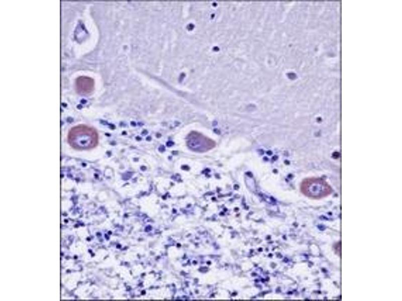
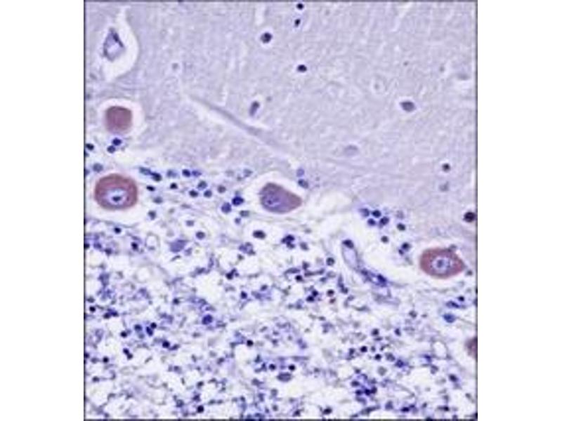
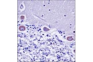
  • 图像
  • 仅无防腐剂
  • 抗体来源
    • Rabbit
  • 克隆形成能力
    • Polyclonal
  • 抗原表位
    • AA 183-211
    • C-Term
    • Internal Region
    • AA 182-211
    • AA 81-130
    • AA 1-212
    • AA 100-150
    • AA 50-130
  • 标记
    • 非结合性
    • APC
    • Biotin
    • FITC
    • HRP
    • PE
  • 抗体亚型
    • IgG
    • Ig Fraction
  • Format
    • Liquid
  • Supplier
    • antibodies-online
    • Acris
    • Assay Biotechnology Company, Inc.
    • Aviva Systems Biology
    • Cohesion Biosciences
    • ProSci
    • USBio

Aliases for KDELR2 抗体

KDEL endoplasmic reticulum protein retention receptor 2 L homeolog (kdelr2.L) 抗体
KDEL endoplasmic reticulum protein retention receptor 2 (KDELR2) 抗体
KDEL (Lys-Asp-Glu-Leu) endoplasmic reticulum protein retention receptor 2 (Kdelr2) 抗体
KDEL endoplasmic reticulum protein retention receptor 2 (Kdelr2) 抗体
KDEL endoplasmic reticulum protein retention receptor 1 L homeolog (kdelr1.L) 抗体
1110007A14Rik 抗体
ELP-1 抗体
ERD2.2 抗体
kdelr1-a 抗体
kdelr2 抗体
You are here: