电话:
+86 (0512) 65829739
传真:
+86 (010) 6788 5057
电子邮件:
orders@antibodies-online.cn

GFP 抗体

(Green Fluorescent Protein (GFP))

Green fluorescent protein (GFP) antibodies play a crucial role in various research areas, including cell biology, molecular biology, developmental biology, immunology, and neuroscience, providing valuable tools for visualizing and studying protein localization, expression, interactions, and dynamics. GFP is a naturally occurring fluorescent protein derived from the jellyfish Aequorea victoria, and it emits green light when exposed to blue or ultraviolet light. Antibodies specific to GFP can recognize and bind to the GFP protein, enabling researchers to visualize and study GFP-tagged proteins or cells in various experimental settings. Common use cases for GFP antibodies in research include:

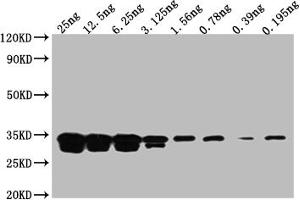
  • GFP antibodies are widely used to detect fusion proteins via Western blotting. A fusion protein is created by genetically fusing the GFP gene to a gene of interest, resulting in the production of a chimeric protein that contains both the GFP portion and the protein of interest. The GFP moiety acts as a tag, allowing researchers to track and visualize the fusion protein within cells or tissues. The resulting signal on the Western blot indicates the presence and size of the fusion protein. Secondary antibodies conjugated to an enzyme, such as horseradish peroxidase (HRP) can be used to amplify the signal.
    This approach allows researchers to study the expression and detection of fusion proteins. Blotting is commonly used in molecular biology and cell biology research to confirm the successful production of fusion proteins, assess their expression levels, and investigate their interactions and localization within cells.
    Suitable for WB and ELISA experiments: anti-GFP Antibody
  • Protein expression analysis: GFP antibodies can be employed to analyze protein expression levels in cells or tissues. Researchers can use immunoblotting techniques, such as Western blotting, to detect and quantify GFP-tagged proteins by specifically binding to the GFP portion. This helps in assessing protein expression levels and monitoring changes under different experimental conditions.
  • Protein localization: GFP fusion proteins are commonly used to track the localization of proteins within cells. By introducing a GFP-tagged protein into cells and using GFP antibodies, researchers can visualize and determine the subcellular localization of the protein of interest. This allows for the study of protein dynamics and cellular processes.
  • Flow cytometry and cell sorting: Flow cytometry allows for the analysis and sorting of cells based on their fluorescent properties. GFP antibodies are employed to detect and quantify GFP-expressing cells in heterogeneous populations. This enables researchers to isolate and characterize specific cell populations based on GFP expression, facilitating the study of cell types, differentiation, or disease states.
  • Immunofluorescence and microscopy: GFP antibodies are utilized in immunofluorescence experiments to visualize and localize GFP-tagged proteins within fixed cells or tissues. By using secondary antibodies conjugated to fluorophores, such as Alexa Fluor or DyLight dyes, the GFP antibodies can be detected and visualized under a fluorescence microscope. This technique enables researchers to study protein localization, interactions, and dynamics in real-time.
    Suitable for FACS and IF experiments:
  • Co-localization studies: GFP antibodies are essential tools for studying protein-protein interactions and co-localization within cells. By using multiple antibodies, including GFP antibodies, against different target proteins, researchers can perform co-immunoprecipitation or immunofluorescence experiments to investigate the spatial relationships and potential interactions between the GFP-tagged protein and other proteins of interest.

antibodies-online offers a wide range of GFP antibodies. Have a look at our top GFP antibodies or discover GFP antibodies tailored to your experimental needs down below!

284 results

Rockland 600-106-215 GFP 适用: Aequorea victoria WB, ELISA, IHC 宿主: 山羊 Polyclonal Biotin
Pubmed 15 references
产品编号 ABIN100087
1 mg
发货至: 中国
获取报价
Rockland Original
GFP 适用: Aequorea victoria WB, IP 宿主: 小鼠 Monoclonal unconjugated
产品编号 ABIN7212026
100 μL (More quantities available)
发货至: 中国
获取报价
 
Rockland 600-402-215 GFP 适用: Aequorea victoria WB, ELISA, FACS, FM, DB 宿主: 兔 Polyclonal FITC
Pubmed 3 references
产品编号 ABIN129717
100 μg
发货至: 中国
获取报价
Rockland Original
Rockland 600-406-215 GFP 适用: Aequorea victoria WB, ELISA, IHC, FM 宿主: 兔 Polyclonal Biotin
Pubmed 5 references
产品编号 ABIN129729
100 μg
发货至: 中国
获取报价
Rockland Original
Rockland 600-141-215 GFP 适用: Aequorea victoria WB, ELISA, FM, DB, FLISA 宿主: 山羊 Polyclonal DyLight 488
Pubmed 22 references
产品编号 ABIN6720701
100 μg
发货至: 中国
获取报价
Rockland Original
Rockland 600-901-b12 GFP 适用: Aequorea victoria WB, ELISA, IHC, FM 宿主: 小鸡 Polyclonal unconjugated
产品编号 ABIN1043927
Rockland Original
GFP 适用: Aequorea victoria WB, IF, EIA 宿主: 小鼠 Monoclonal 168AT1211 unconjugated
Pubmed 8 references
产品编号 ABIN356346
200 μL
发货至: 中国
获取报价
 
GFP 适用: 标记 WB, IF 宿主: 兔 Polyclonal unconjugated
Pubmed 2 references
产品编号 ABIN671271
 
GFP 适用: Aequorea victoria, Aequorea coerulescens (Belt Jellyfish) WB, ELISA, IHC (fro), IHC (p), IF (cc), IF (p) 宿主: 兔 Polyclonal unconjugated
产品编号 ABIN729433
 
GFP 适用: Aequorea victoria WB, IHC, IP, ICC 宿主: 兔 Polyclonal unconjugated
产品编号 ABIN7443860
100 μL (More quantities available)
发货至: 中国
获取报价
 
GFP 适用: Aequorea victoria WB, IHC, IP, ICC 宿主: 小鼠 Monoclonal C11 unconjugated
产品编号 ABIN7428929
100 μL (More quantities available)
发货至: 中国
获取报价
 
GFP 适用: Aequorea victoria WB, IHC, IP, ICC 宿主: 小鼠 Monoclonal G10 unconjugated
产品编号 ABIN7428563
100 μL (More quantities available)
发货至: 中国
获取报价
 
GFP 适用: Aequorea victoria ELISA, IF 宿主: 绵羊 Polyclonal unconjugated
Pubmed 4 references
产品编号 ABIN2473895
1 mL
发货至: 中国
获取报价
 
GFP 适用: Aequorea victoria WB, IF, IHC (fro) 宿主: 山羊 Polyclonal DyLight 405
产品编号 ABIN7273059
250 μg
发货至: 中国
获取报价
 
GFP 适用: Aequorea victoria IF, ICC, FACS 宿主: Alpaca Monoclonal 1H1 Alexa Fluor 647 single-domain Antibody (sdAb) Recombinant Antibody
产品编号 ABIN6953230
200 μL
发货至: 中国
获取报价
 
GFP 适用: Aequorea victoria, Aequorea aequorea IF, ICC, FACS 宿主: Alpaca Monoclonal 1H1 Biotin single-domain Antibody (sdAb) Recombinant Antibody
产品编号 ABIN7272885
250 μg
发货至: 中国
获取报价
 
GFP 适用: Aequorea victoria, Aequorea aequorea IF, ICC, FACS 宿主: Alpaca Monoclonal 1H1 DBCO single-domain Antibody (sdAb) Recombinant Antibody
产品编号 ABIN7272886
250 μg
发货至: 中国
获取报价
 
GFP 适用: Aequorea victoria WB 宿主: 兔 Polyclonal unconjugated
产品编号 ABIN960858
100 μg
发货至: 中国
获取报价
 
GFP 适用: Aequorea victoria IHC 宿主: 兔 Polyclonal unconjugated
Pubmed 1 reference
产品编号 ABIN966201
0.1 mg
发货至: 中国
获取报价
 
GFP 适用: Aequorea victoria WB, ELISA, IP, DB 宿主: 小鼠 Monoclonal GF28R unconjugated
产品编号 ABIN933569
100 μg
发货至: 中国
获取报价
 
  • 类型 Primary
    • Primary
  • 应用范围
    • Western Blotting (WB)
    • ELISA
    • Immunofluorescence (IF)
    • Immunohistochemistry (IHC)
    • Immunocytochemistry (ICC)
    • Fluorescence Microscopy (FM)
    • Immunoprecipitation (IP)
    • Flow Cytometry (FACS)
    • FLISA
    • Immunohistochemistry (Frozen Sections) (IHC (fro))
    • Dot Blot (DB)
    • Immunofluorescence (Cultured Cells) (IF (cc))
    • Immunofluorescence (Paraffin-embedded Sections) (IF (p))
    • Immunohistochemistry (Paraffin-embedded Sections) (IHC (p))
    • Immunochromatography (IC)
    • Chromatin Immunoprecipitation (ChIP)
    • Enzyme Immunoassay (EIA)
    • ChIP DNA-Sequencing (ChIP-seq)
    • Immunoelectron Microscopy (IEM)
    • Immunostaining (ISt)
    • Immunofluorescence (fixed cells) (IF/ICC)
  • 适用
    • Aequorea victoria
    • Jellyfish
    • Various Species
    • Aequorea coerulescens (Belt Jellyfish)
    • Aequorea aequorea
    • Tag
    • Chlamydomonas reinhardtii
    • Human
    • Mouse
    • Nicotiana tabacum
    • Rat
  • 论文引用
  • 图像
  • 仅无防腐剂
  • Carrier free only
  • 抗体来源
    • Mouse
    • Rabbit
    • Goat
    • Chicken
    • Alpaca
    • Guinea Pig
    • Sheep
    • Rat
    • Carp
  • 克隆形成能力
    • Monoclonal
    • Polyclonal
    • Chimeric
  • 克隆
    • 9F9-F9
    • r9F9-F9
    • N86-20
    • N86-38
    • N86-44
    • N86-8
    • 1H1
    • 4B10B2
    • 168AT1211
    • 1H1-1B2
    • GF28R
    • AT2G5
    • C11
    • H3
    • 1002
    • 101G4
    • 14C4
    • 17G06
    • 1A5
    • 1A5 (rat monoclonal
    • 1E4
    • 215
    • 2Q2156
    • 5H6
    • 6C11C11
    • CD-7
    • DG-7
    • G10
    • IQGFP5
    • R04-6A1
    • SAA0921
  • 抗原表位
    • AA 1-238
    • AA 25-120
    • AA 190-220
    • N-Term
    • full length
    • AA 151-238
    • C-Term
    • AA 2-238
    • AA 1-100
    • AA 101-117
    • AA 102-118
    • AA 204-217
    • AA 26-39
    • AA 70-83
    • AA 98-112
  • 标记
    • 非结合性
    • Biotin
    • FITC
    • HRP
    • Alexa Fluor 647
    • Alkaline Phosphatase (AP)
    • FL490
    • FL550
    • FL594
    • FL650
    • Texas Red (TR)
    • APC
    • Alexa Fluor 488
    • Alexa Fluor 555
    • Alexa Fluor 594
    • Alexa Fluor 680
    • Alexa Fluor 750
    • Cy3
    • Cy5
    • Cy5.5
    • Cy7
    • DyLight 405
    • DyLight 488
    • DyLight 680
    • DyLight 800
    • AZDye 568
    • AbBy Fluor® 350
    • AbBy Fluor® 488
    • AbBy Fluor® 555
    • AbBy Fluor® 594
    • AbBy Fluor® 647
    • Alexa Fluor 350
    • Alexa Fluor 405
    • Atto 488
    • CF®488A
    • CF®568
    • CF®594
    • CF®633
    • CF®640R
    • CF®660R
    • CF®680
    • CF®680R
    • CF®770
    • DyLight 549
    • DyLight 649
    • TRITC
    • AbBy Fluor® 680
    • AbBy Fluor® 750
    • AcalephFluor350
    • AcalephFluor405
    • AcalephFluor488
  • 抗体亚型
    • IgG
    • IgG1
    • IgG1 kappa
    • IgG2a
    • kappa
    • IgY
    • IgG2b
    • Ig Fraction
    • IgG2b kappa
    • IgM
    • IgG2a kappa
  • 蛋白类型
    • Recombinant Antibody
  • Format
    • Liquid
    • Lyophilized
  • Fragment
    • single-domain Antibody (sdAb)
  • Grade
    • Carrier-free
  • Supplier
    • antibodies-online
    • Rockland
    • Antibodies Incorporated
    • Signalway
    • Biotium
    • Cohesion Biosciences
    • USBio
    • Acris
    • Agrisera
    • Abbexa
    • ProSci
    • ProteoGenix
    • Synaptic Systems
    • Biomatik
    • Boster Bio
    • Covalab
    • RayBiotech
    • BioAcademia
    • Enogene Biotech
    • Epitope Biotech
    • FabGennix
    • NSJ Bioreagents

Latest Publications for our GFP 抗体

Frolova, Palchevska, Dominguez, Frolov: "Alphavirus-induced transcriptional and translational shutoffs play major roles in blocking the formation of stress granules." in: Journal of virology, Vol. 97, Issue 11, pp. e0097923, (2023) (PubMed).

Dominguez, Palchevska, Frolova, Frolov: "Alphavirus-based replicons demonstrate different interactions with host cells and can be optimized to increase protein expression." in: Journal of virology, Vol. 97, Issue 11, pp. e0122523, (2023) (PubMed).

Park, Kim, Alabdalla, Mishra, Mchaourab: "Generation and characterization of a zebrafish knockout model of abcb4, a homolog of the human multidrug efflux transporter P-glycoprotein." in: Human genomics, Vol. 17, Issue 1, pp. 84, (2023) (PubMed).

Frolov, Agback, Palchevska, Dominguez, Lomzov, Agback, Frolova: "All Domains of SARS-CoV-2 nsp1 Determine Translational Shutoff and Cytotoxicity of the Protein." in: Journal of virology, Vol. 97, Issue 3, pp. e0186522, (2023) (PubMed).

Lapraz, Boutres, Fixary-Schuster, De Queiroz, Plaçais, Cerezo, Besse, Préat, Noselli: "Asymmetric activity of NetrinB controls laterality of the Drosophila brain." in: Nature communications, Vol. 14, Issue 1, pp. 1052, (2023) (PubMed).

Annunziata, Rasa, Krepelova, Lu, Minetti, Omrani, Nunna, Adam, Käppel, Neri: "Paneth cells drive intestinal stem cell competition and clonality in aging and calorie restriction." in: European journal of cell biology, Vol. 101, Issue 4, pp. 151282, (2022) (PubMed).

Kim, Leng, Park, Sorets, Kim, Shostak, Embalabala, Mlouk, Katdare, Rose, Sturgeon, Neal, Ao, Wang, Sofroniew, Brunger, McMahon, Schrag, Kampmann, Lippmann: "Reactive astrocytes transduce inflammation in a blood-brain barrier model through a TNF-STAT3 signaling axis and secretion of alpha 1-antichymotrypsin." in: Nature communications, Vol. 13, Issue 1, pp. 6581, (2022) (PubMed).

Paterson, Lämmermann: "Macrophage network dynamics depend on haptokinesis for optimal local surveillance." in: eLife, Vol. 11, (2022) (PubMed).

Kim, Jiang: "Generation of human pluripotent stem cell-derived fused organoids with oligodendroglia and myelin." in: STAR protocols, Vol. 2, Issue 2, pp. 100443, (2022) (PubMed).

Bhargava, Williart, Maurin, Davidson, Jouve, Piel, Lahaye, Manel: "Inhibition of HIV infection by structural proteins of the inner nuclear membrane is associated with reduced chromatin dynamics." in: Cell reports, Vol. 36, Issue 13, pp. 109763, (2022) (PubMed).

Aliases for GFP 抗体

green fluorescent protein (gfp) 抗体
You are here: