电话:
+86 (0512) 65829739
传真:
+86 (010) 6788 5057
电子邮件:
orders@antibodies-online.cn

CDK8 抗体

(Cyclin-Dependent Kinase 8 (CDK8))
The protein encoded by this gene is a member of the cyclin-dependent protein kinase (CDK) family. CDK family members are highly similar to the gene products of Saccharomyces cerevisiae cdc28, and Schizosaccharomyces pombe cdc2, and are known to be important regulators of cell cycle progression. This kinase and its regulatory subunit cyclin C are components of the RNA polymerase II holoenzyme complex, which phosphorylates the carboxy-terminal domain (CTD) of the largest subunit of RNA polymerase II. This kinase has also been shown to regulate transcription by targeting the CDK7/cyclin H subunits of the general transcription initiation factor IIH (TFIIH), thus providing a link between the 'Mediator-like' protein complexes and the basal transcription machinery. [provided by RefSeq, Jul 2008].

90 results

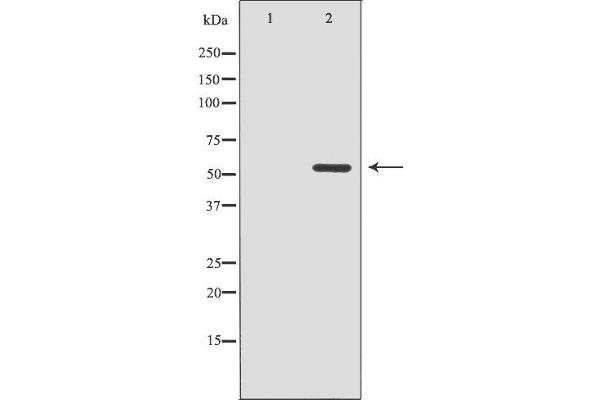
CDK8 适用: 人 WB, ELISA 宿主: 小鼠 Monoclonal 6H5 unconjugated
产品编号 ABIN560302
100 μg
发货至: 中国
获取报价
 
CDK8 适用: 人 WB, IP 宿主: 兔 Polyclonal unconjugated
产品编号 ABIN6138329
100 μL (More quantities available)
发货至: 中国
获取报价
 
CDK8 适用: 人, 小鼠 WB, ChIP-seq, ChIP 宿主: 兔 Polyclonal unconjugated
产品编号 ABIN6971509
100 μL
发货至: 中国
获取报价
 
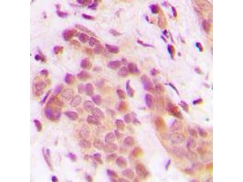
CDK8 适用: 人, 小鼠, 大鼠 WB, ELISA, IHC, ICC, IF 宿主: 兔 Polyclonal unconjugated
产品编号 ABIN6257696
100 μL (More quantities available)
发货至: 中国
获取报价
 
CDK8 适用: 人, 小鼠, 大鼠 WB, IHC (p), IF (p) 宿主: 兔 Polyclonal unconjugated
Pubmed 1 reference
产品编号 ABIN670266
 
CDK8 适用: 人 WB 宿主: 兔 Polyclonal RB51053 unconjugated
产品编号 ABIN6242788
400 μL (More quantities available)
发货至: 中国
获取报价
 
CDK8 适用: 人, 小鼠 WB, ELISA, IHC 宿主: 兔 Polyclonal unconjugated
产品编号 ABIN3183844
100 μL (More quantities available)
发货至: 中国
获取报价
 
CDK8 适用: 人 WB, IHC, IP, ICC 宿主: 兔 Polyclonal unconjugated
产品编号 ABIN7441010
100 μL (More quantities available)
发货至: 中国
获取报价
 
CDK8 适用: 人, 小鼠 WB, ELISA, IHC (p) 宿主: 兔 Polyclonal unconjugated
产品编号 ABIN7214134
100 μL (More quantities available)
发货至: 中国
获取报价
 
CDK8 适用: 人 WB, ELISA, IHC 宿主: 兔 Polyclonal unconjugated
产品编号 ABIN7188619
100 μg (More quantities available)
发货至: 中国
获取报价
 
CDK8 适用: 人, 小鼠, 大鼠, 斑马鱼, 犬, 马, 兔, Cow, 小鸡, 非洲爪蟾, Pig, 猴, Hamster WB 宿主: 兔 Polyclonal unconjugated
产品编号 ABIN202585
100 μL
发货至: 中国
获取报价
 
CDK8 适用: 人, 小鼠, 大鼠, 斑马鱼, 犬, 马, 兔, 小鸡, 猴 WB 宿主: 兔 Polyclonal unconjugated
产品编号 ABIN6749807
100 μL
发货至: 中国
获取报价
 
CDK8 适用: 人 WB 宿主: 兔 Monoclonal unconjugated
产品编号 ABIN7266596
100 μL (More quantities available)
发货至: 中国
获取报价
 
CDK8 适用: 人 WB, FACS 宿主: 兔 Polyclonal RB20649 unconjugated
产品编号 ABIN655911
400 μL (More quantities available)
发货至: 中国
获取报价
 
CDK8 适用: 人 WB 宿主: 兔 Polyclonal RB3200 unconjugated
Pubmed 1 reference
产品编号 ABIN391759
400 μL (More quantities available)
发货至: 中国
获取报价
 
CDK8 适用: 人, 小鼠, 大鼠, 斑马鱼 WB, IHC 宿主: 兔 Polyclonal unconjugated
产品编号 ABIN7299158
100 μL (More quantities available)
发货至: 中国
获取报价
 
CDK8 适用: 人, 小鼠, 大鼠 WB, IP 宿主: 兔 Polyclonal unconjugated
产品编号 ABIN6989759
 
CDK8 适用: 人, 小鼠, 大鼠 WB, IF (p) 宿主: 兔 Polyclonal AbBy Fluor® 594
产品编号 ABIN2811484
 
CDK8 适用: 人, 小鼠, 大鼠 WB, IF (p) 宿主: 兔 Polyclonal AbBy Fluor® 488
产品编号 ABIN889804
 
CDK8 适用: 人, 小鼠, 大鼠 WB, IF (p) 宿主: 兔 Polyclonal AbBy Fluor® 350
产品编号 ABIN889803
 
  • 类型 Primary
    • Primary
  • 应用范围
    • Western Blotting (WB)
    • ELISA
    • Immunoprecipitation (IP)
    • Immunohistochemistry (IHC)
    • Immunofluorescence (Paraffin-embedded Sections) (IF (p))
    • Flow Cytometry (FACS)
    • Immunohistochemistry (Paraffin-embedded Sections) (IHC (p))
    • Immunofluorescence (IF)
    • Immunocytochemistry (ICC)
    • ChIP DNA-Sequencing (ChIP-seq)
    • Chromatin Immunoprecipitation (ChIP)
    • Enzyme Immunoassay (EIA)
    • Immunohistochemistry (Formalin-fixed Paraffin-embedded Sections) (IHC (fp))
    • Immunofluorescence (fixed cells) (IF/ICC)
  • 适用
    • Human
    • Mouse
    • Rat
    • Zebrafish (Danio rerio)
    • Dog
    • Chicken
    • Horse
    • Rabbit
    • Cow
    • Xenopus laevis
    • Monkey
    • Pig
    • Guinea Pig
    • Hamster
  • 论文引用
  • 图像
  • 仅无防腐剂
  • Carrier free only
  • 抗体来源
    • Rabbit
    • Mouse
    • Sheep
  • 克隆形成能力
    • Polyclonal
    • Monoclonal
  • 克隆
    • 6H5
    • A183
    • GHF-3
    • RB20649
    • RB3200
    • RB51053
  • 抗原表位
    • N-Term
    • AA 1-30
    • AA 245-272
    • C-Term
    • AA 420-470
    • AA 21-392
    • AA 370-420
    • AA 375-464
    • AA 424-458
    • Center
    • Internal Region
    • AA 1-50
    • AA 10-90
    • AA 244-272
    • AA 249-277
    • AA 256-285
    • AA 3-32
    • AA 365-464
    • AA 380-464
    • AA 400-464
  • 标记
    • 非结合性
    • Biotin
    • Alexa Fluor 488
    • Alexa Fluor 555
    • Alexa Fluor 594
    • Alexa Fluor 647
    • Alexa Fluor 680
    • Alexa Fluor 750
    • FITC
    • HRP
    • APC
    • PE
    • AbBy Fluor® 350
    • AbBy Fluor® 488
    • AbBy Fluor® 555
    • AbBy Fluor® 594
    • AbBy Fluor® 647
    • Alexa Fluor 350
    • Alexa Fluor 405
    • Cy3
    • Cy5
    • Cy5.5
    • Cy7
  • 抗体亚型
    • IgG
    • Ig Fraction
    • IgG1
    • IgG1 kappa
    • kappa
  • 蛋白类型
    • Recombinant Antibody
  • Format
    • Liquid
    • Lyophilized
  • Supplier
    • antibodies-online
    • Signalway
    • USBio
    • Abcepta
    • Aviva Systems Biology
    • ProSci
    • Abbexa
    • Acris
    • Angio-Proteomie
    • Assay Biotechnology Company, Inc.
    • Boster Bio
    • Cohesion Biosciences
    • ProteoGenix

Latest Publications for our CDK8 抗体

Han, Zheng, Ge, Wang, Xiang, Wang: "Downregulation of cyclin-dependent kinase 8 by microRNA-148a suppresses proliferation and invasiveness of papillary thyroid carcinomas." in: American journal of cancer research, Vol. 7, Issue 10, pp. 2081-2090, (2018) (PubMed).

Li, Tian, Ren, Chen, Wang, Ge, Wu, Sun, Liu, Xiao: "MicroRNA-101 is a potential prognostic indicator of laryngeal squamous cell carcinoma and modulates CDK8." in: Journal of translational medicine, Vol. 13, pp. 271, (2015) (PubMed).

Barette, Jariel-Encontre, Piechaczyk, Piette: "Human cyclin C protein is stabilized by its associated kinase cdk8, independently of its catalytic activity." in: Oncogene, Vol. 20, Issue 5, pp. 551-62, (2001) (PubMed).

Di Pietro, Rapisarda, Bonaiuto, Lizzio, Engel, Amico, Scalia, Amato, Grzeschik, Sichel, Purrello: "Genomics of the human genes encoding four TAFII subunits of TFIID, the three subunits of TFIIA, as well as CDK8 and SURB7." in: Somatic cell and molecular genetics, Vol. 25, Issue 3, pp. 185-9, (2001) (PubMed).

Akoulitchev, Chuikov, Reinberg: "TFIIH is negatively regulated by cdk8-containing mediator complexes." in: Nature, Vol. 407, Issue 6800, pp. 102-6, (2000) (PubMed).

Johnson, Walker: "Cyclins and cell cycle checkpoints." in: Annual review of pharmacology and toxicology, Vol. 39, pp. 295-312, (1999) (PubMed).

Rickert, Corden, Lees: "Cyclin C/CDK8 and cyclin H/CDK7/p36 are biochemically distinct CTD kinases." in: Oncogene, Vol. 18, Issue 4, pp. 1093-102, (1999) (PubMed).

Aliases for CDK8 抗体

cyclin dependent kinase 8 (CDK8) 抗体
cyclin-dependent kinase 8 (Cdk8) 抗体
cyclin-dependent kinase 8 (cdk8) 抗体
cyclin-dependent kinase 8 S homeolog (cdk8.S) 抗体
Cyclin-dependent kinase 8 (cdk-8) 抗体
cyclin-dependent kinase 8 (CDK8) 抗体
cyclin dependent kinase 19 (CDK19) 抗体
K35 抗体
wu:fk95h11 抗体
You are here: