电话:
+86 (0512) 65829739
传真:
+86 (010) 6788 5057
电子邮件:
orders@antibodies-online.cn

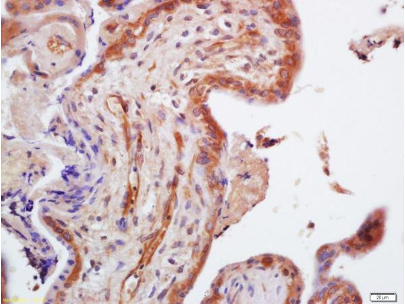
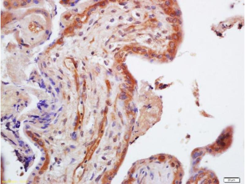
TRIM29 抗体 (AA 253-283)

The 兔 多克隆 anti-TRIM29 antibody (ABIN873066) specifically detects TRIM29 in WB, IHC (p) 和 IF (p). The antibody is reactive with 人, 小鼠 和 大鼠 samples.
产品编号 ABIN873066
发货至: 中国
Contact our Customer Service for availability and price in your country. Contact Info

Our Local Distributor

中国
北京 101111
No. 88 KeChuang 6th Street
Beijing Economic Technological Development Area
Room 801-803
4A Biotech Co.,Ltd.
Tel +86 (0512) 65829739 传真 +86 (010) 6788 5057

Quick Overview for TRIM29 抗体 (AA 253-283) (ABIN873066)

抗原

See all TRIM29 抗体
TRIM29 (Tripartite Motif Containing 29 (TRIM29))

适用

  • 77
  • 10
  • 9
  • 6
  • 6
  • 5
  • 4
  • 3
  • 3
  • 3
  • 1
  • 1
  • 1
人, 小鼠, 大鼠

宿主

  • 41
  • 35
  • 1

克隆类型

  • 39
  • 38
多克隆

标记

  • 49
  • 4
  • 2
  • 2
  • 2
  • 2
  • 2
  • 2
  • 2
  • 1
  • 1
  • 1
  • 1
  • 1
  • 1
  • 1
  • 1
  • 1
  • 1
This TRIM29 antibody is un-conjugated

应用范围

  • 48
  • 25
  • 23
  • 20
  • 19
  • 7
  • 7
  • 2
  • 1
  • 1
  • 1
  • 1
Western Blotting (WB), Immunohistochemistry (Paraffin-embedded Sections) (IHC (p)), Immunofluorescence (Paraffin-embedded Sections) (IF (p))
You are here: