电话:
+86 (0512) 65829739
传真:
+86 (010) 6788 5057
电子邮件:
orders@antibodies-online.cn

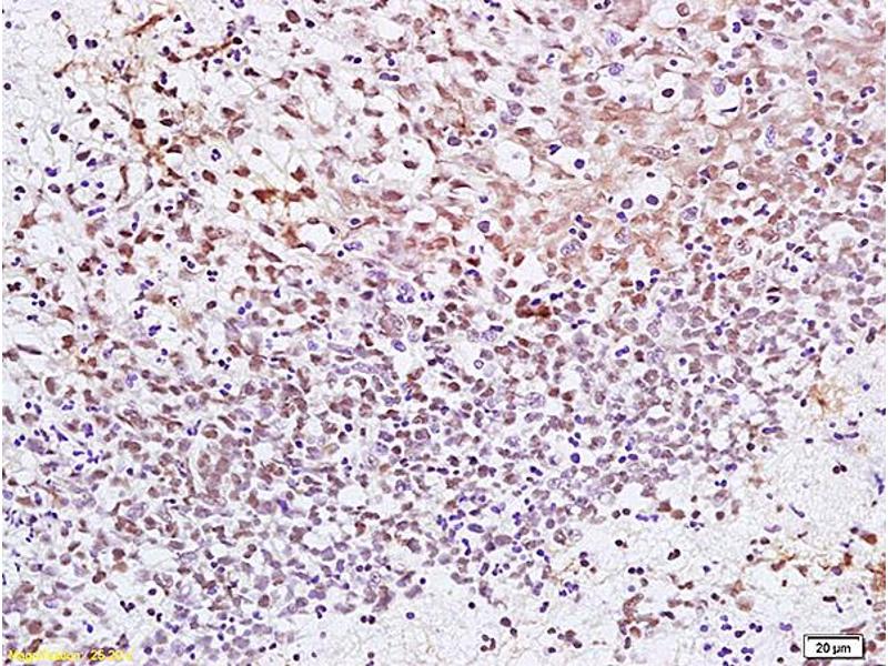
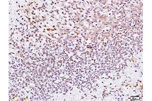
CENPF 抗体 (AA 551-650)

The 兔 多克隆 anti-CENPF antibody (ABIN872667) specifically detects CENPF in ELISA, WB, IHC (p), IHC (fro), IF (p) 和 IF (cc). The antibody is reactive with 人 samples.
产品编号 ABIN872667
发货至: 中国
Contact our Customer Service for availability and price in your country. Contact Info

Our Local Distributor

中国
北京 101111
No. 88 KeChuang 6th Street
Beijing Economic Technological Development Area
Room 801-803
4A Biotech Co.,Ltd.
Tel +86 (0512) 65829739 传真 +86 (010) 6788 5057

Quick Overview for CENPF 抗体 (AA 551-650) (ABIN872667)

抗原

See all CENPF 抗体
CENPF (Centromere Protein F (CENPF))

适用

  • 25
  • 2
  • 1
  • 1

宿主

  • 22
  • 2
  • 1

克隆类型

  • 23
  • 2
多克隆

标记

  • 18
  • 1
  • 1
  • 1
  • 1
  • 1
  • 1
  • 1
This CENPF antibody is un-conjugated

应用范围

  • 10
  • 8
  • 7
  • 7
  • 6
  • 5
  • 4
  • 3
  • 2
  • 2
  • 1
  • 1
  • 1
ELISA, Western Blotting (WB), Immunohistochemistry (Paraffin-embedded Sections) (IHC (p)), Immunohistochemistry (Frozen Sections) (IHC (fro)), Immunofluorescence (Paraffin-embedded Sections) (IF (p)), Immunofluorescence (Cultured Cells) (IF (cc))
  • 抗原表位

    • 3
    • 3
    • 3
    • 2
    • 2
    • 2
    • 1
    • 1
    AA 551-650

    交叉反应

    纯化方法

    Purified by Protein A.

    免疫原

    KLH conjugated synthetic peptide derived from human CENPF

    亚型

    IgG
  • 应用备注

    WB 1:300-5000
    ELISA 1:500-1000
    IHC-P 1:200-400
    IHC-F 1:100-500
    IF(IHC-P) 1:50-200
    IF(IHC-F) 1:50-200
    IF(ICC) 1:50-200

    限制

    仅限研究用
  • 状态

    Liquid

    浓度

    1 μg/μL

    缓冲液

    0.01M TBS( pH 7.4) with 1 % BSA, 0.02 % Proclin300 and 50 % Glycerol.

    储存液

    ProClin

    注意事项

    This product contains ProClin: a POISONOUS AND HAZARDOUS SUBSTANCE, which should be handled by trained staff only.

    储存条件

    4 °C,-20 °C

    储存方法

    Shipped at 4°C. Store at -20°C for one year. Avoid repeated freeze/thaw cycles.

    有效期

    12 months
  • 抗原

    CENPF (Centromere Protein F (CENPF))

    别名

    CENPF

    背景

    Synonyms: CENF, hcp-1, PRO1779, Centromere protein F, CENP-F, AH antigen, Kinetochore protein CENPF, Mitosin, CENPF

    Background: Required for kinetochore function and chromosome segregation in mitosis. Required for kinetochore localization of dynein, LIS1, NDE1 and NDEL1. Regulates recycling of the plasma membrane by acting as a link between recycling vesicles and the microtubule network though its association with STX4 and SNAP25. Acts as a potential inhibitor of pocket protein-mediated cellular processes during development by regulating the activity of RB proteins during cell division and proliferation. May play a regulatory or permissive role in the normal embryonic cardiomyocyte cell cycle and in promoting continued mitosis in transformed, abnormally dividing neonatal cardiomyocytes. Interaction with RB directs embryonic stem cells toward a cardiac lineage. Involved in the regulation of DNA synthesis and hence cell cycle progression, via its C-terminus. Has a potential role regulating skeletal myogenesis and in cell differentiation in embryogenesis. Involved in dendritic cell regulation of T-cell immunity against chlamydia.

    基因ID

    1063

    UniProt

    P49454

    途径

    Chromatin Binding, M Phase, SARS-CoV-2 Protein Interactome, The Global Phosphorylation Landscape of SARS-CoV-2 Infection
You are here: