电话:
+86 (0512) 65829739
传真:
+86 (010) 6788 5057
电子邮件:
orders@antibodies-online.cn

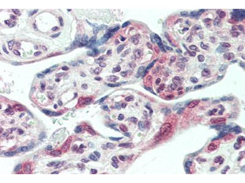
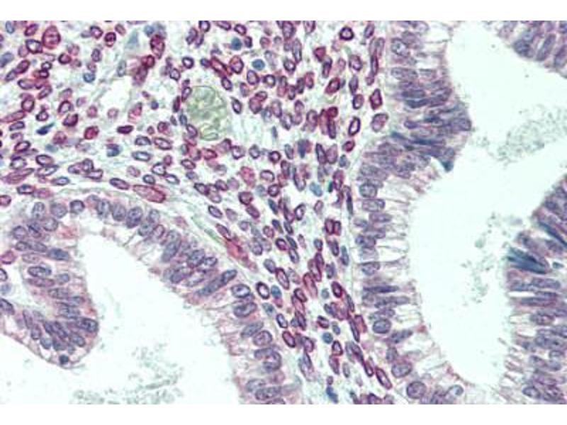
CENPF 抗体 (AA 1759-2093)

The 小鼠 单克隆 anti-CENPF antibody (ABIN396951) specifically detects CENPF in IHC, WB, IP, IHC (p) 和 IHC (fro). The antibody is reactive with 人 samples.
产品编号 ABIN396951
发货至: 中国
Contact our Customer Service for availability and price in your country. Contact Info

Our Local Distributor

中国
北京 101111
No. 88 KeChuang 6th Street
Beijing Economic Technological Development Area
Room 801-803
4A Biotech Co.,Ltd.
Tel +86 (0512) 65829739 传真 +86 (010) 6788 5057

Quick Overview for CENPF 抗体 (AA 1759-2093) (ABIN396951)

抗原

See all CENPF 抗体
CENPF (Centromere Protein F (CENPF))

适用

  • 25
  • 2
  • 1
  • 1

宿主

  • 23
  • 1
  • 1
小鼠

克隆类型

  • 24
  • 1
单克隆

标记

  • 18
  • 1
  • 1
  • 1
  • 1
  • 1
  • 1
  • 1
This CENPF antibody is un-conjugated

应用范围

  • 10
  • 7
  • 7
  • 6
  • 6
  • 5
  • 5
  • 3
  • 2
  • 2
  • 2
  • 1
  • 1
  • 1
Immunohistochemistry (IHC), Western Blotting (WB), Immunoprecipitation (IP), Immunohistochemistry (Paraffin-embedded Sections) (IHC (p)), Immunohistochemistry (Frozen Sections) (IHC (fro))
  • 抗原表位

    • 3
    • 3
    • 3
    • 2
    • 2
    • 1
    • 1
    • 1
    • 1
    AA 1759-2093

    特异性

    Recognizes mitosin, a 350 kD phosphoprotein that is specifically involved in mitotic-phase progression. Mitosin is expressed throughout S, G2, and M phases of the cell cycle, but is absent in G0 and G1. It associates with the mitotic apparatus during M-phase and is redistributed from the nucleus to the centromere, spindle, and midbody during M-phase progression. Its usefulness as a proliferation marker is under active investigation.

    纯化方法

    Protein G purified

    免疫原

    GST fusion protein expressed in E. coli corresponding to aa 1759-2093 of human mitosin.

    Type of Immunogen: Fusion protein

    亚型

    IgG2a kappa
  • 应用备注

    Approved: IHC, IHC-Fr (10 μg/mL), IHC-P (10 μg/mL), IP (1 - 10 μg/mL), WB (1 - 10 μg/mL)

    Usage: Immunohistochemistry: This antibody was validated for use in immunohistochemistry on a panel of 21 formalin-fixed, paraffin-embedded (FFPE) human tissues after heat induced antigen retrieval in  pH 6.0 citrate buffer. After incubation with the primary antibody, slides were incubated with biotinylated secondary antibody, followed by alkaline phosphatase-streptavidin and chromogen. The stained slides were evaluated by a pathologist to confirm staining specificity. The optimal working concentration for this antibody was determined to be 10 μg/mL. Western Blot: 1-10 μg/mL. Immunoprecipitation: 1-10 μg/mL. Immunohistochemistry: 10 μg/mL with frozen or paraffin-embedded sections. Tested in IHC using formalin-fixed paraffin-embedded human tissues, HIER antigen retrieval using sodium citrate buffer at  pH 6.0.

    说明

    Target Species of Antibody: Human

    限制

    仅限研究用
  • 状态

    Liquid

    浓度

    Lot specific

    缓冲液

    PBS,  pH 7.4

    注意事项

    Avoid freeze/thaw cycles.

    储存条件

    -80 °C

    储存方法

    Store at -70°C, avoid freeze/thaw cycles.
  • 抗原

    CENPF (Centromere Protein F (CENPF))

    别名

    CENPF / CENP-F

    背景

    Name/Gene ID: CENPF

    Synonyms: CENPF, AH antigen, Centromere protein F, CENF, CENP-F, Kinetochore protein CENPF, Mitosin, CENP-F kinetochore protein, Hcp-1, PRO1779

    基因ID

    1063

    UniProt

    P49454

    途径

    Chromatin Binding, M Phase, SARS-CoV-2 Protein Interactome, The Global Phosphorylation Landscape of SARS-CoV-2 Infection
You are here: