电话:
+86 (0512) 65829739
传真:
+86 (010) 6788 5057
电子邮件:
orders@antibodies-online.cn

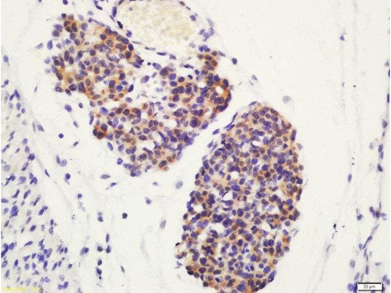
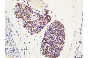
ATG4D 抗体 (pSer467)

This 兔 多克隆 antibody specifically detects ATG4D in WB, ELISA, IHC (p), IF (cc), IF (p) 和 IHC (fro). It exhibits reactivity toward 小鼠.
产品编号 ABIN756367
发货至: 中国
Contact our Customer Service for availability and price in your country. Contact Info

Our Local Distributor

中国
北京 101111
No. 88 KeChuang 6th Street
Beijing Economic Technological Development Area
Room 801-803
4A Biotech Co.,Ltd.
Tel +86 (0512) 65829739 传真 +86 (010) 6788 5057

Quick Overview for ATG4D 抗体 (pSer467) (ABIN756367)

抗原

See all ATG4D 抗体
ATG4D (Autophagy related 4D Cysteine Peptidase (ATG4D))

适用

  • 47
  • 42
  • 3
  • 2
  • 2
  • 2
  • 1
  • 1
  • 1
小鼠

宿主

  • 66
  • 10
  • 1

克隆类型

  • 67
  • 10
多克隆

标记

  • 29
  • 6
  • 5
  • 5
  • 2
  • 2
  • 2
  • 2
  • 2
  • 2
  • 2
  • 2
  • 2
  • 2
  • 2
  • 2
  • 2
  • 1
  • 1
  • 1
  • 1
  • 1
  • 1
This ATG4D antibody is un-conjugated

应用范围

  • 64
  • 27
  • 25
  • 25
  • 15
  • 10
  • 7
  • 6
  • 5
  • 2
  • 1
  • 1
Western Blotting (WB), ELISA, Immunohistochemistry (Paraffin-embedded Sections) (IHC (p)), Immunofluorescence (Cultured Cells) (IF (cc)), Immunofluorescence (Paraffin-embedded Sections) (IF (p)), Immunohistochemistry (Frozen Sections) (IHC (fro))
  • 抗原表位

    • 15
    • 14
    • 7
    • 7
    • 4
    • 3
    • 3
    • 2
    • 2
    • 2
    • 1
    • 1
    • 1
    • 1
    • 1
    • 1
    • 1
    • 1
    • 1
    pSer467

    交叉反应

    小鼠

    预测反应

    Human,Rat,Dog,Cow,Pig,Horse,Rabbit

    纯化方法

    Purified by Protein A.

    免疫原

    KLH conjugated syntheticphosphopeptide derived from human ATG4D around the phosphorylation site of Ser467 [RP(p-S)SE]

    亚型

    IgG
  • 应用备注

    WB 1:300-5000
    ELISA 1:500-1000
    IHC-P 1:200-400
    IHC-F 1:100-500
    IF(IHC-P) 1:50-200
    IF(IHC-F) 1:50-200
    IF(ICC) 1:50-200

    限制

    仅限研究用
  • 状态

    Liquid

    浓度

    1 μg/μL

    缓冲液

    0.01M TBS( pH 7.4) with 1 % BSA, 0.02 % Proclin300 and 50 % Glycerol.

    储存液

    ProClin

    注意事项

    This product contains ProClin: a POISONOUS AND HAZARDOUS SUBSTANCE, which should be handled by trained staff only.

    储存条件

    4 °C,-20 °C

    储存方法

    Shipped at 4°C. Store at -20°C for one year. Avoid repeated freeze/thaw cycles.

    有效期

    12 months
  • 抗原

    ATG4D (Autophagy related 4D Cysteine Peptidase (ATG4D))

    别名

    ATG4D

    背景

    Synonyms: APG4 D, APG4D, ATG4 autophagy related 4 homolog D, Atg4dl, AUT like 4 cysteine endopeptidase, AUTL4, Autophagin 4, Autophagy related cysteine endopeptidase 4, Autophagy related protein 4 homolog D, Cysteine protease ATG4D.

    Background: Autophagy is the process by which endogenous proteins and damaged organelles are destroyed intracellularly. Autophagy is postulated to be essential for cell homeostasis and cell remodeling during differentiation, metamorphosis, non-apoptotic cell death, and aging. Reduced levels of autophagy have been described in some malignant tumors, and a role for autophagy in controlling the unregulated cell growth linked to cancer has been proposed. This gene encodes a member of the autophagin protein family. The encoded protein is also designated as a member of the C-54 family of cysteine proteases. [provided by RefSeq].

    基因ID

    84971

    途径

    Autophagy
You are here: