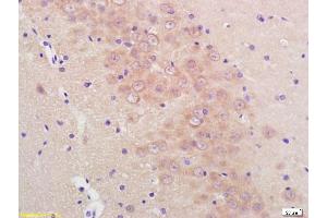
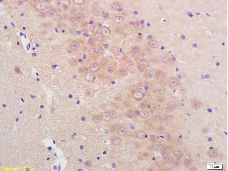
MCL-1 抗体 (pSer159, pThr163)
Our Local Distributor
北京 101111
Quick Overview for MCL-1 抗体 (pSer159, pThr163) (ABIN743738)
抗原
See all MCL-1 (MCL1) 抗体适用
宿主
克隆类型
标记
应用范围
-
-
抗原表位
- pSer159, pThr163
-
特异性
- These phosphorylation sites are homologous to Ser140 + Thr144 in Mouse and Ser139 + Thr143 in Rat.
-
交叉反应
- 人, 大鼠
-
预测反应
- Mouse,Dog,Cow,Horse
-
纯化方法
- Purified by Protein A.
-
免疫原
- KLH conjugated synthetic phosphopeptide derived from human Mcl 1 around the phosphorylation site of Ser159/Thr163
-
亚型
- IgG
-
-
-
-
应用备注
-
WB 1:300-5000
ELISA 1:500-1000
FCM 1:20-100
IHC-P 1:200-400
IHC-F 1:100-500
IF(IHC-P) 1:50-200
IF(IHC-F) 1:50-200
IF(ICC) 1:50-200 -
限制
- 仅限研究用
-
-
-
状态
- Liquid
-
浓度
- 1 μg/μL
-
缓冲液
- 0.01M TBS( pH 7.4) with 1 % BSA, 0.02 % Proclin300 and 50 % Glycerol.
-
储存液
- ProClin
-
注意事项
- This product contains ProClin: a POISONOUS AND HAZARDOUS SUBSTANCE, which should be handled by trained staff only.
-
储存条件
- 4 °C,-20 °C
-
储存方法
- Shipped at 4°C. Store at -20°C for one year. Avoid repeated freeze/thaw cycles.
-
有效期
- 12 months
-
-
-
: "Pretubulysin: a new option for the treatment of metastatic cancer." in: Cell death & disease, Vol. 5, pp. e1001, (2014) (PubMed).
-
-
- MCL-1 (MCL1) (Induced Myeloid Leukemia Cell Differentiation Protein Mcl-1 (MCL1))
-
别名
- Mcl1 +
-
背景
-
Synonyms: TM, EAT, MCL1L, MCL1S, Mcl-1, BCL2L3, MCL1-ES, bcl2-L-3, mcl1/EAT, Induced myeloid leukemia cell differentiation protein Mcl-1, Bcl-2-like protein 3, Bcl-2-related protein EAT/mcl1, MCL1
Background: Involved in the regulation of apoptosis versus cell survival, and in the maintenance of viability but not of proliferation. Mediates its effects by interactions with a number of other regulators of apoptosis. Isoform 1 inhibits apoptosis. Isoform 2 promotes apoptosis.
-
基因ID
- 4170
-
UniProt
- Q07820
-
途径
- MAPK Pathway
抗原
-