MCL-1 抗体
Our Local Distributor
北京 101111
Quick Overview for MCL-1 抗体 (ABIN462372)
抗原
See all MCL-1 (MCL1) 抗体适用
宿主
克隆类型
标记
应用范围
-
-
纯化方法
- Immunoaffinity purified
-
免疫原
-
Synthetic peptide derived from the sequence of human Mcl-1, conjugated to KLH.
Type of Immunogen: Synthetic peptide - KLH conjugated
-
-
-
-
应用备注
-
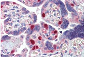
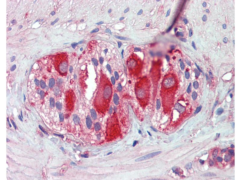
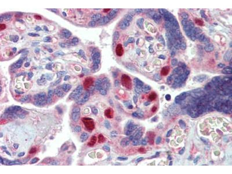
Approved: IF, IHC, IHC-P (10 μg/mL), WB
Usage: Immunohistochemistry: This antibody was validated for use in immunohistochemistry on a panel of 21 formalin-fixed, paraffin-embedded (FFPE) human tissues after heat induced antigen retrieval in pH 6.0 citrate buffer. After incubation with the primary antibody, slides were incubated with biotinylated secondary antibody, followed by alkaline phosphatase-streptavidin and chromogen. The stained slides were evaluated by a pathologist to confirm staining specificity. The optimal working concentration for this antibody was determined to be 10 μg/mL. -
说明
-
Target Species of Antibody: Human
-
限制
- 仅限研究用
-
-
-
状态
- Liquid
-
浓度
- Lot specific
-
缓冲液
- PBS, 0.09 % sodium azide
-
储存液
- Sodium azide
-
注意事项
- This product contains Sodium azide: a POISONOUS AND HAZARDOUS SUBSTANCE which should be handled by trained staff only.
-
储存条件
- -20 °C
-
储存方法
- Store at -20°C.
-
-
- MCL-1 (MCL1) (Induced Myeloid Leukemia Cell Differentiation Protein Mcl-1 (MCL1))
-
别名
- MCL1 / MCL 1
-
背景
-
Name/Gene ID: MCL1
Synonyms: MCL1, BCL2L3, Bcl-2-like protein 3, Bcl-2-related protein EAT/mcl1, Bcl2-L-3, MCL1S, MCL1L, Myeloid cell leukemia ES, MCL 1, MCL1-ES, TM, EAT, Mcl-1 -
基因ID
- 4170
-
UniProt
- Q07820
-
途径
- MAPK Pathway
抗原
-