电话:
+86 (0512) 65829739
传真:
+86 (010) 6788 5057
电子邮件:
orders@antibodies-online.cn

Recombinant SET/TAF-I 抗体

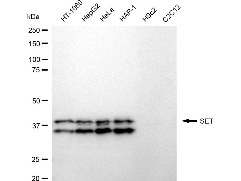
The 兔 单克隆 anti-SET/TAF-I antibody (Clone 24GB1530) (ABIN7800325) specifically detects SET/TAF-I in WB, FACS 和 ICC. The antibody is reactive with 人 samples.
产品编号 ABIN7800325
发货至: 中国
Contact our Customer Service for availability and price in your country. Contact Info

Our Local Distributor

中国
北京 101111
No. 88 KeChuang 6th Street
Beijing Economic Technological Development Area
Room 801-803
4A Biotech Co.,Ltd.
Tel +86 (0512) 65829739 传真 +86 (010) 6788 5057

Quick Overview for Recombinant SET/TAF-I 抗体 (ABIN7800325)

抗原

See all SET/TAF-I (SET) 抗体
SET/TAF-I (SET) (SET Nuclear Oncogene (SET))

抗体类型

Recombinant Antibody

适用

  • 81
  • 47
  • 46
  • 4
  • 3
  • 3
  • 3
  • 3
  • 2
  • 2
  • 1
  • 1
  • 1

宿主

  • 76
  • 3
  • 2

克隆类型

  • 56
  • 24
单克隆

标记

  • 36
  • 6
  • 4
  • 3
  • 3
  • 3
  • 3
  • 3
  • 3
  • 3
  • 2
  • 1
  • 1
  • 1
  • 1
  • 1
  • 1
  • 1
  • 1
  • 1
  • 1
  • 1
  • 1
This SET/TAF-I antibody is un-conjugated

应用范围

  • 57
  • 30
  • 24
  • 23
  • 19
  • 18
  • 16
  • 7
  • 3
  • 1
  • 1
  • 1
  • 1
  • 1
  • 1
  • 1
Western Blotting (WB), Flow Cytometry (FACS), Immunocytochemistry (ICC)

克隆位点

24GB1530
  • Expression System

    HEK-293 Cells

    原理

    SET Nuclear Proto-Oncogene Recombinant Rabbit mAb

    纯化方法

    Affinity Purified

    免疫原

    A synthesized peptide derived from human SET

    亚型

    IgG
  • 应用备注

    Western Blotting (WB): 1:1,000-1:5,000, Flow Cytometry (FCM): 1:200-1:2,000, Immunocytochemistry (ICC): 1:100-1:1,000

    限制

    仅限研究用
  • 状态

    Liquid

    缓冲液

    PBS (pH 7.4) containing 50% glycerol and 0.02% sodium azide.

    储存液

    Sodium azide

    注意事项

    This product contains Sodium azide: a POISONOUS AND HAZARDOUS SUBSTANCE which should be handled by trained staff only.

    储存条件

    -20 °C

    储存方法

    Store at -20 °C for one year.

    有效期

    12 months
  • 抗原

    SET/TAF-I (SET) (SET Nuclear Oncogene (SET))

    别名

    SET Nuclear Proto-Oncogene

    分子量

    33 kDa

    基因ID

    6418

    UniProt

    Q01105

    途径

    Apoptosis
You are here: