电话:
+86 (0512) 65829739
传真:
+86 (010) 6788 5057
电子邮件:
orders@antibodies-online.cn

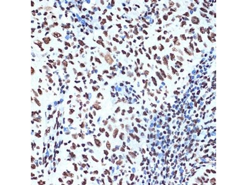
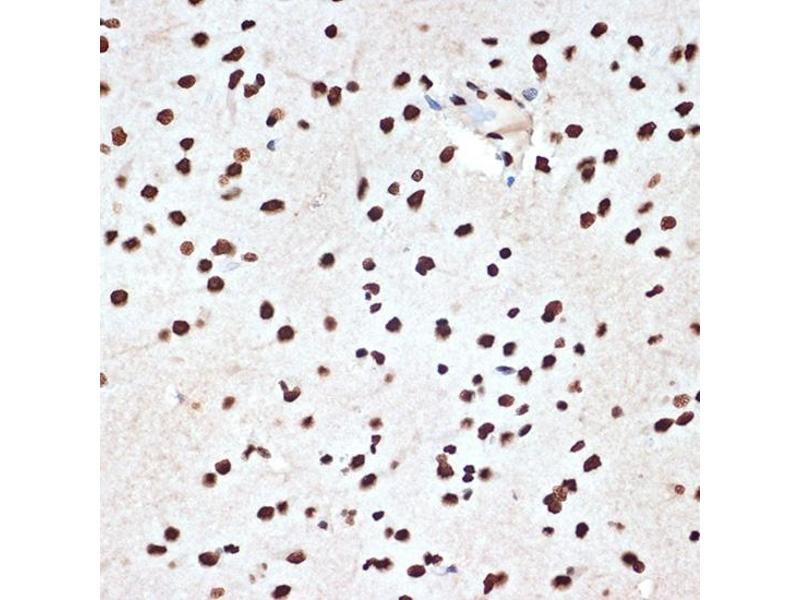
SET/TAF-I 抗体

The 兔 单克隆 anti-SET/TAF-I antibody is suitable to detect SET/TAF-I in samples from 人. It has been validated for WB, IHC, IF 和 IP.
产品编号 ABIN7270265
发货至: 中国
Contact our Customer Service for availability and price in your country. Contact Info

Our Local Distributor

中国
北京 101111
No. 88 KeChuang 6th Street
Beijing Economic Technological Development Area
Room 801-803
4A Biotech Co.,Ltd.
Tel +86 (0512) 65829739 传真 +86 (010) 6788 5057

Quick Overview for SET/TAF-I 抗体 (ABIN7270265)

抗原

See all SET/TAF-I (SET) 抗体
SET/TAF-I (SET) (SET Nuclear Oncogene (SET))

适用

  • 81
  • 47
  • 46
  • 4
  • 3
  • 3
  • 3
  • 3
  • 2
  • 2
  • 1
  • 1
  • 1

宿主

  • 76
  • 3
  • 2

克隆类型

  • 56
  • 24
单克隆

标记

  • 36
  • 6
  • 4
  • 3
  • 3
  • 3
  • 3
  • 3
  • 3
  • 3
  • 2
  • 1
  • 1
  • 1
  • 1
  • 1
  • 1
  • 1
  • 1
  • 1
  • 1
  • 1
  • 1
This SET/TAF-I antibody is un-conjugated

应用范围

  • 57
  • 29
  • 24
  • 23
  • 19
  • 17
  • 17
  • 7
  • 3
  • 1
  • 1
  • 1
  • 1
  • 1
  • 1
  • 1
Western Blotting (WB), Immunohistochemistry (IHC), Immunofluorescence (IF), Immunoprecipitation (IP)
  • 原理

    SET/TAF1 Rabbit mAb

    交叉反应

    人, 小鼠, 大鼠

    产品特性

    Monoclonal Antibodies

    纯化方法

    Affinity purification

    免疫原

    A synthesized peptide derived from human SET/TAF1

    亚型

    IgG
  • 应用备注

    WB,1:500 - 1:2000,IHC,1:50 - 1:200,IF,1:50 - 1:200,IP,1:50 - 1:200

    限制

    仅限研究用
  • 状态

    Liquid

    缓冲液

    PBS with 0.02 % sodium azide,0.05 % BSA,50 % glycerol, pH 7.3.

    储存液

    Sodium azide

    注意事项

    This product contains Sodium azide: a POISONOUS AND HAZARDOUS SUBSTANCE which should be handled by trained staff only.

    储存条件

    -20 °C

    储存方法

    Store at -20°C. Avoid freeze / thaw cycles.
  • 抗原

    SET/TAF-I (SET) (SET Nuclear Oncogene (SET))

    别名

    SET

    背景

    The protein encoded by this gene inhibits acetylation of nucleosomes, especially histone H4, by histone acetylases (HAT). This inhibition is most likely accomplished by masking histone lysines from being acetylated, and the consequence is to silence HAT-dependent transcription. The encoded protein is part of a complex localized to the endoplasmic reticulum but is found in the nucleus and inhibits apoptosis following attack by cytotoxic T lymphocytes. This protein can also enhance DNA replication of the adenovirus genome. Several transcript variants encoding different isoforms have been found for this gene. [provided by RefSeq, Oct 2011],2PP2A, I2PP2A, IGAAD, IPP2A2, PHAPII, TAF-I, TAF-IBETA,Cancer,Cell Biology & Developmental Biology,Cell Cycle,Chromatin Remodeling,Epigenetics & Nuclear Signaling,Immunology & Inflammation,Neurodegenerative Diseases,Neurodegenerative Diseases_Amyloid Plaque and Neurofibrillary Tangle Formation in Alzheimers Disease,Neuroscience,Signal Transduction,SET

    分子量

    39kDa

    基因ID

    6418

    UniProt

    Q01105

    途径

    Apoptosis
You are here: