电话:
+86 (0512) 65829739
传真:
+86 (010) 6788 5057
电子邮件:
orders@antibodies-online.cn

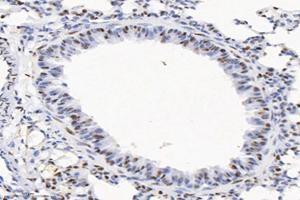
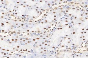
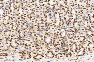
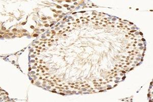
SET/TAF-I 抗体

This 兔 多克隆 antibody specifically detects SET/TAF-I in IHC 和 IF. It exhibits reactivity toward 人, 小鼠 和 大鼠.
产品编号 ABIN7075583
发货至: 中国
Contact our Customer Service for availability and price in your country. Contact Info

Our Local Distributor

中国
北京 101111
No. 88 KeChuang 6th Street
Beijing Economic Technological Development Area
Room 801-803
4A Biotech Co.,Ltd.
Tel +86 (0512) 65829739 传真 +86 (010) 6788 5057

Quick Overview for SET/TAF-I 抗体 (ABIN7075583)

抗原

See all SET/TAF-I (SET) 抗体
SET/TAF-I (SET) (SET Nuclear Oncogene (SET))

适用

  • 82
  • 46
  • 45
  • 4
  • 3
  • 3
  • 3
  • 3
  • 2
  • 2
  • 1
  • 1
  • 1
人, 小鼠, 大鼠

宿主

  • 76
  • 4
  • 2

克隆类型

  • 55
  • 26
多克隆

标记

  • 37
  • 6
  • 4
  • 3
  • 3
  • 3
  • 3
  • 3
  • 3
  • 3
  • 2
  • 1
  • 1
  • 1
  • 1
  • 1
  • 1
  • 1
  • 1
  • 1
  • 1
  • 1
  • 1
This SET/TAF-I antibody is un-conjugated

应用范围

  • 59
  • 29
  • 25
  • 24
  • 19
  • 18
  • 17
  • 7
  • 3
  • 1
  • 1
  • 1
  • 1
  • 1
  • 1
  • 1
Immunohistochemistry (IHC), Immunofluorescence (IF)
  • 交叉反应

    人, 大鼠

    纯化方法

    Affinity purification

    免疫原

    Recombinant protein corresponding to Mouse SET/TAF-I
  • 应用备注

    IHC/IF (H,M,R) 1:5000-1:10000

    限制

    仅限研究用
  • 状态

    Liquid

    缓冲液

    PBS, pH 7.4, 0.02 % sodium azide

    储存液

    Sodium azide

    注意事项

    This product contains Sodium azide: a POISONOUS AND HAZARDOUS SUBSTANCE which should be handled by trained staff only.

    储存条件

    -20 °C
  • 抗原

    SET/TAF-I (SET) (SET Nuclear Oncogene (SET))

    别名

    SET/TAF-I

    背景

    SET, also named as IGAAD, I-2PP2A, TAF-I, IGAAD and PHAPII, belongs to the nucleosome assembly protein (NAP) family.SET is a multifunctional oncoprotein which is ubiquitously expressed in all kinds of cells. The SET protein participates in many cellular processes including cell cycle, cell migration, apoptosis, transcription, and DNA repair. The SET protein plays important roles in facilitating cell proliferation via many pathways that promote tumorigenesis and metastasis.

    基因ID

    56086

    NCBI登录号

    NP_001191804

    UniProt

    Q9EQU5

    途径

    Apoptosis
You are here: