电话:
+86 (0512) 65829739
传真:
+86 (010) 6788 5057
电子邮件:
orders@antibodies-online.cn

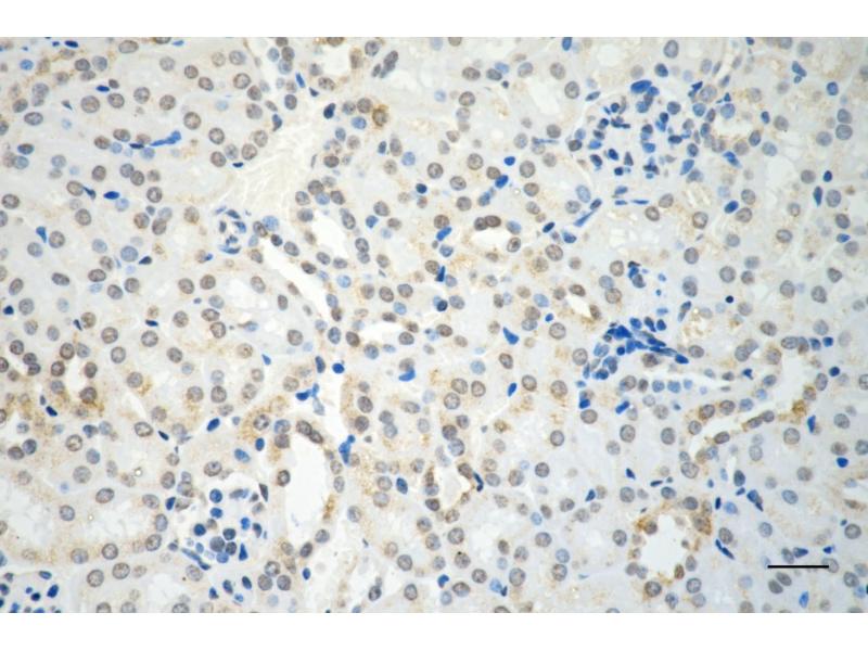
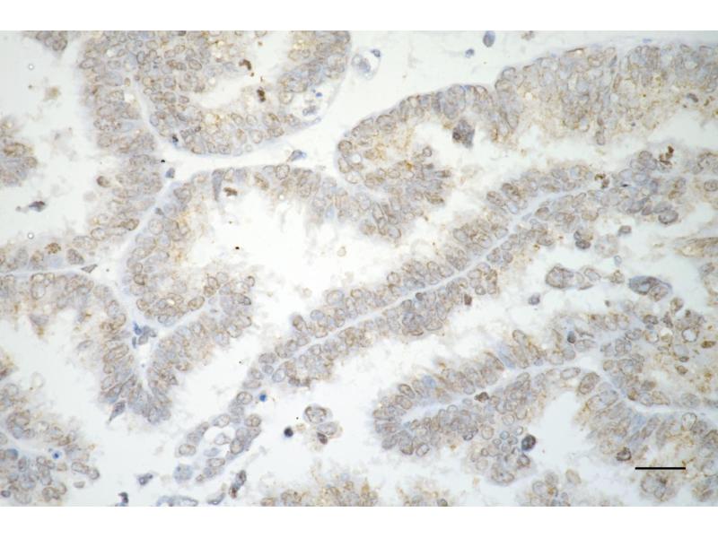
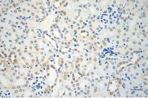
Recombinant RAD51 抗体

This 兔 单克隆 antibody specifically detects RAD51 in WB, FACS 和 IF (p). It exhibits reactivity toward 人.
产品编号 ABIN7798367
发货至: 中国
Contact our Customer Service for availability and price in your country. Contact Info

Our Local Distributor

中国
北京 101111
No. 88 KeChuang 6th Street
Beijing Economic Technological Development Area
Room 801-803
4A Biotech Co.,Ltd.
Tel +86 (0512) 65829739 传真 +86 (010) 6788 5057

Quick Overview for Recombinant RAD51 抗体 (ABIN7798367)

抗原

See all RAD51 抗体
RAD51 (DNA Repair Protein Homolog 1 (RAD51))

抗体类型

Recombinant Antibody

适用

  • 187
  • 109
  • 73
  • 4
  • 4
  • 4
  • 3
  • 3
  • 3
  • 2
  • 2
  • 1
  • 1
  • 1

宿主

  • 140
  • 51
  • 1

克隆类型

  • 101
  • 91
单克隆

标记

  • 86
  • 11
  • 6
  • 6
  • 6
  • 6
  • 6
  • 6
  • 4
  • 3
  • 3
  • 3
  • 3
  • 3
  • 3
  • 3
  • 3
  • 3
  • 3
  • 2
  • 2
  • 2
  • 2
  • 2
  • 2
  • 2
  • 2
  • 2
  • 2
  • 2
  • 2
  • 1
This RAD51 antibody is un-conjugated

应用范围

  • 148
  • 61
  • 55
  • 41
  • 38
  • 31
  • 29
  • 29
  • 28
  • 25
  • 10
  • 9
  • 4
  • 2
  • 2
  • 2
  • 2
  • 2
  • 1
  • 1
Western Blotting (WB), Flow Cytometry (FACS), Immunofluorescence (Paraffin-embedded Sections) (IF (p))

质量等级

KD Validated

克隆位点

23GB4600
  • Expression System

    HEK-293 Cells

    原理

    KD-Validated RAD51 recombinase Recombinant Rabbit mAb

    交叉反应

    小鼠, 大鼠

    纯化方法

    Affinity Purified

    免疫原

    A synthesized peptide derived from human Rad51

    亚型

    IgG
  • 应用备注

    Western Blotting (WB): 1:1,000-1:5,000, Flow Cytometry (FCM): 1:200-1:2,000, Immunohistochemistry-Paraffin (IHC-P): 1:100-1:200

    说明

    We assess the antibodies’ specificity and selectivity using knockdown techniques. Our validation approach is straightforward: if an antibody identifies a signal in wild-type (WT) cells, but this signal is absent or noticeably reduced in gene-silenced (KD) cells, we consider the antibody to be highly specific.

    限制

    仅限研究用
  • 状态

    Liquid

    缓冲液

    PBS (pH 7.4) containing 50% glycerol and 0.02% sodium azide.

    储存液

    Sodium azide

    注意事项

    This product contains Sodium azide: a POISONOUS AND HAZARDOUS SUBSTANCE which should be handled by trained staff only.

    储存条件

    -20 °C

    储存方法

    Store at -20 °C for one year.

    有效期

    12 months
  • 抗原

    RAD51 (DNA Repair Protein Homolog 1 (RAD51))

    别名

    RAD51 recombinase

    分子量

    37 kDa

    基因ID

    5888

    UniProt

    Q06609

    途径

    DNA Damage Repair
You are here: