电话:
+86 (0512) 65829739
传真:
+86 (010) 6788 5057
电子邮件:
orders@antibodies-online.cn

RAD51 抗体 (AA 1-134)

This 小鼠 单克隆 antibody specifically detects RAD51 in IHC 和 FACS. It exhibits reactivity toward 人.
产品编号 ABIN6940476
发货至: 中国
Contact our Customer Service for availability and price in your country. Contact Info

Our Local Distributor

中国
北京 101111
No. 88 KeChuang 6th Street
Beijing Economic Technological Development Area
Room 801-803
4A Biotech Co.,Ltd.
Tel +86 (0512) 65829739 传真 +86 (010) 6788 5057

Quick Overview for RAD51 抗体 (AA 1-134) (ABIN6940476)

抗原

See all RAD51 抗体
RAD51 (DNA Repair Protein Homolog 1 (RAD51))

适用

  • 188
  • 109
  • 73
  • 4
  • 4
  • 4
  • 3
  • 3
  • 3
  • 2
  • 2
  • 1
  • 1
  • 1

宿主

  • 141
  • 51
  • 1
小鼠

克隆类型

  • 101
  • 92
单克隆

标记

  • 87
  • 11
  • 6
  • 6
  • 6
  • 6
  • 6
  • 6
  • 4
  • 3
  • 3
  • 3
  • 3
  • 3
  • 3
  • 3
  • 3
  • 3
  • 3
  • 2
  • 2
  • 2
  • 2
  • 2
  • 2
  • 2
  • 2
  • 2
  • 2
  • 2
  • 2
  • 1
This RAD51 antibody is un-conjugated

应用范围

  • 149
  • 61
  • 59
  • 41
  • 38
  • 33
  • 30
  • 29
  • 28
  • 23
  • 10
  • 9
  • 2
  • 2
  • 1
  • 1
  • 1
  • 1
  • 1
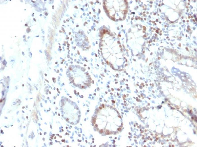
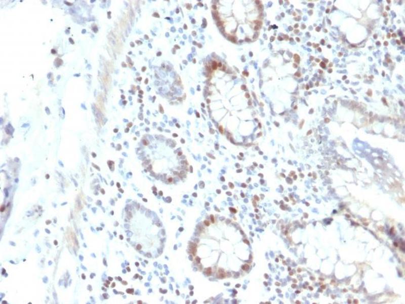
Immunohistochemistry (IHC), Flow Cytometry (FACS)

克隆位点

RAD51-2702
  • 抗原表位

    • 36
    • 24
    • 15
    • 11
    • 6
    • 6
    • 5
    • 3
    • 3
    • 2
    • 2
    • 2
    • 1
    • 1
    • 1
    • 1
    • 1
    • 1
    • 1
    • 1
    • 1
    • 1
    • 1
    • 1
    • 1
    • 1
    • 1
    • 1
    • 1
    • 1
    AA 1-134

    原理

    RAD51 (Prognostic and Response to Chemotherapy Marker) Antibody

    特异性

    RAD51 is one of the key factors of DNA repair by homologous recombination and has been shown to have anti-apoptotic activity in tumor cells. RAD51 protein interacts with a variety of tumor suppressor proteins including p53, BRCA1 and BRCA2. Elevated expression of RAD51 enhances radio-resistance of human tumor cells. Overexpression of RAD51 protein in tumor cells renders them resistant against cytotoxic drugs like Cisplatin. RAD51 interacts with BRCA1 and BRCA2 to influence subcellular localization and cellular response to DNA damage. BRCA2 inactivation may be a key event leading to genomic instability and tumorigenesis from deregulation of RAD51. High-level expression of RAD51 has been observed in a variety of human malignancies.RAD51 overexpression correlates with histological grading of the tumor in invasive ductal mammary carcinoma.

    纯化方法

    200ug/ml of Ab Purified from Bioreactor Concentrate by Protein A/G.

    免疫原

    Recombinant fragment of human RAD51 protein (around aa 1-134) (exact sequence is proprietary)

    亚型

    IgG1, kappa
  • 应用备注

    Positive Control: K562, HeLa, MCF-7 cells. Colon or breast Carcinoma.

    Known Application: Flow Cytometry (1-2 μg/mL),Immunohistochemistry (Formalin-fixed) (1-2 μg/mL for 30 minutes at RT)(Staining of formalin-fixed tissues is enhanced by boiling tissue sections in 10 mM Citrate Buffer, pH 6.0, for 10-20 min followed by cooling at RT for 20 minutes)Optimal dilution for a specific application should be determined.

    限制

    仅限研究用
  • 浓度

    200 μg/mL

    缓冲液

    Prepared in 10 mM PBS with 0.05 % BSA & 0.05 % azide.

    储存液

    Sodium azide

    注意事项

    This product contains Sodium azide: a POISONOUS AND HAZARDOUS SUBSTANCE which should be handled by trained staff only.

    储存条件

    4 °C

    储存方法

    Antibody with azide - store at 2 to 8°C. Antibody without azide - store at -20 to -80°C. Antibody is stable for 24 months. Non-hazardous. No MSDS required.

    有效期

    24 months
  • 抗原

    RAD51 (DNA Repair Protein Homolog 1 (RAD51))

    别名

    RAD51

    背景

    RCA1/BRCA2 containing complex, subunit 5, BRCC5, DNA repair protein RAD51, FANCR, HsT16930, MRMV2, RAD51, RAD51 recombinase, RAD51A, RECA, RecA like protein, Recombination protein A

    HeLa, K562, MCF-7 cells. Colon or breast Carcinoma.

    分子量

    37kDa

    基因ID

    5888, 631709

    UniProt

    Q06609

    途径

    DNA Damage Repair
You are here: