电话:
+86 (0512) 65829739
传真:
+86 (010) 6788 5057
电子邮件:
orders@antibodies-online.cn

IL-6 抗体 (AA 111-150)

This 兔 多克隆 antibody specifically detects IL-6 in WB, ELISA, FACS, IF (p), IHC (p), IF (cc) 和 IHC (fro). It exhibits reactivity toward 人, 小鼠, 大鼠, 兔 和 Cow. It has been mentioned in 14+ publications
产品编号 ABIN728083
发货至: 中国
Contact our Customer Service for availability and price in your country. Contact Info

Our Local Distributor

中国
北京 101111
No. 88 KeChuang 6th Street
Beijing Economic Technological Development Area
Room 801-803
4A Biotech Co.,Ltd.
Tel +86 (0512) 65829739 传真 +86 (010) 6788 5057

Quick Overview for IL-6 抗体 (AA 111-150) (ABIN728083)

Key Features

  • High quality IL-6 Primary Antibody for the detection of IL6.
  • Reliable product with high standard validation data

抗原

See all IL-6 (IL6) 抗体
IL-6 (IL6) (Interleukin 6 (IL6))

适用

  • 244
  • 131
  • 70
  • 29
  • 26
  • 19
  • 15
  • 13
  • 8
  • 8
  • 7
  • 5
  • 4
  • 3
  • 2
  • 2
人, 小鼠, 大鼠, 兔, Cow

宿主

  • 218
  • 127
  • 58
  • 18
  • 14
  • 6
  • 2

克隆类型

  • 227
  • 210
  • 2
多克隆

标记

  • 255
  • 56
  • 26
  • 14
  • 11
  • 9
  • 3
  • 3
  • 3
  • 3
  • 3
  • 3
  • 3
  • 3
  • 3
  • 3
  • 3
  • 3
  • 3
  • 3
  • 3
  • 3
  • 3
  • 3
  • 2
  • 2
  • 2
  • 1
  • 1
  • 1
  • 1
  • 1
  • 1
  • 1
  • 1
  • 1
  • 1
This IL-6 antibody is un-conjugated

应用范围

  • 297
  • 151
  • 142
  • 73
  • 58
  • 54
  • 49
  • 40
  • 40
  • 33
  • 25
  • 25
  • 25
  • 20
  • 15
  • 7
  • 7
  • 6
  • 5
  • 5
  • 4
  • 2
  • 2
  • 2
  • 1
  • 1
  • 1
  • 1
  • 1
  • 1
  • 1
  • 1
  • 1
  • 1
  • 1
  • 1
Western Blotting (WB), ELISA, Flow Cytometry (FACS), Immunofluorescence (Paraffin-embedded Sections) (IF (p)), Immunohistochemistry (Paraffin-embedded Sections) (IHC (p)), Immunofluorescence (Cultured Cells) (IF (cc)), Immunohistochemistry (Frozen Sections) (IHC (fro))
  • 抗原表位

    • 21
    • 20
    • 18
    • 15
    • 15
    • 15
    • 10
    • 8
    • 8
    • 7
    • 7
    • 5
    • 5
    • 4
    • 4
    • 4
    • 3
    • 3
    • 3
    • 3
    • 3
    • 1
    • 1
    • 1
    • 1
    • 1
    • 1
    • 1
    • 1
    • 1
    • 1
    • 1
    • 1
    AA 111-150

    交叉反应

    Cow, 人, 小鼠, 兔, 大鼠

    纯化方法

    Purified by Protein A.

    免疫原

    KLH conjugated synthetic peptide derived from mouse IL-6

    亚型

    IgG

    Product Specific Information

    What can the IL-6 Antibody ABIN728083 be used for?
    This polyclonal IL-6 Antibody detects IL-6. The IL-6 Antibody has been validated for various applications and can be used for the detection of IL-6 and derivatives by Western Blotting, ELISA, Flow Cytometry, Immunofluorescence (Paraffin-embedded Sections), Immunohistochemistry (Paraffin-embedded Sections), Immunofluorescence (Cultured Cells), Immunohistochemistry (Frozen Sections).
    What validation data is available for this IL-6 Antibody?
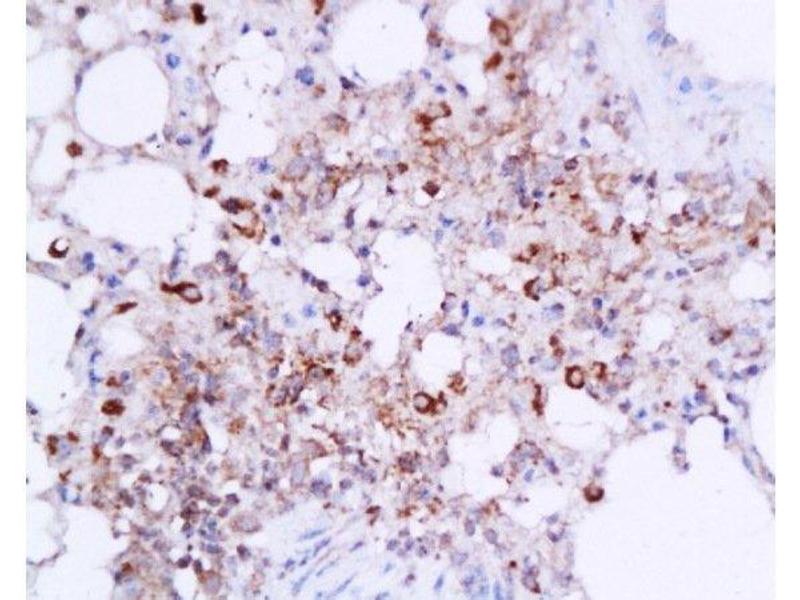
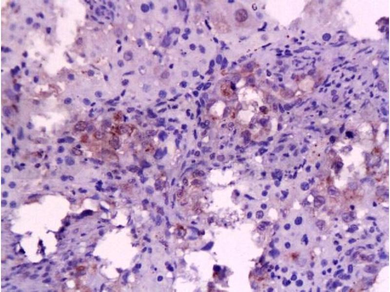
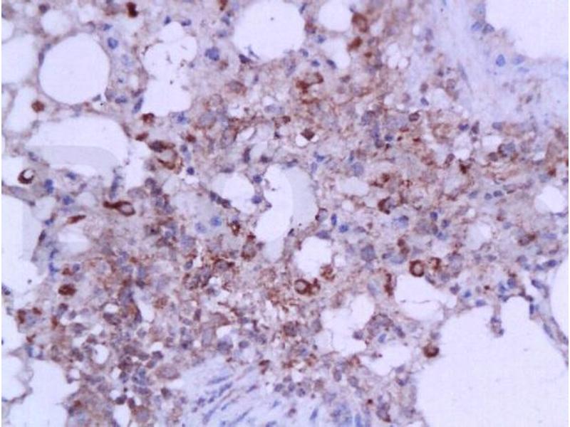
    The Primary Antibody is referenced in 12 publications and is characterized by a proven, very high reliability. It has currently 6 product images that show its performance in a variety of applications. IL-6 Antibody for the detection of IL-6 and derivatives.
    What is the function of IL-6?
    This gene encodes a cytokine that functions in inflammation and the maturation of B cells. In addition, the encoded protein has been shown to be an endogenous pyrogen capable of inducing fever in people with autoimmune diseases or infections. The protein is primarily produced at sites of acute and chronic inflammation, where it is secreted into the serum and induces a transcriptional inflammatory response through interleukin 6 receptor, alpha. The functioning of this gene is implicated in a wide variety of inflammation-associated disease states, including suspectibility to diabetes mellitus and systemic juvenile rheumatoid arthritis. [provided by RefSeq, Jun 2011].
  • 应用备注

    WB 1:300-5000
    ELISA 1:500-1000
    FCM 1:20-100
    IHC-P 1:200-400
    IHC-F 1:100-500
    IF(IHC-P) 1:50-200
    IF(IHC-F) 1:50-200
    IF(ICC) 1:50-200

    限制

    仅限研究用
  • 状态

    Liquid

    浓度

    1 μg/μL

    缓冲液

    0.01M TBS( pH 7.4) with 1 % BSA, 0.02 % Proclin300 and 50 % Glycerol.

    储存液

    ProClin

    注意事项

    This product contains ProClin: a POISONOUS AND HAZARDOUS SUBSTANCE, which should be handled by trained staff only.

    储存条件

    4 °C,-20 °C

    储存方法

    Shipped at 4°C. Store at -20°C for one year. Avoid repeated freeze/thaw cycles.

    有效期

    12 months
  • Brockmann, Corkhill, Jaroslawska, Dege, Brockmann, Kociok, Joussen: "Systemic Rho-kinase inhibition using fasudil in mice with oxygen-induced retinopathy." in: Graefe's archive for clinical and experimental ophthalmology, Vol. 257, Issue 8, pp. 1699-1708, (2019) (PubMed).

    Bai, Lv, Wang, Sun, Zhang: "LncRNA NEAT1 promotes inflammatory response and induces corneal neovascularization" in: Journal of molecular endocrinology, Vol. 61, Issue 4, pp. 231-239, (2019) (PubMed).

    Sun, Li, Jia, Wang, Li, Hu, Tian, Yang, Xing, Zhang, Wang, Xu, Wang, Zhang, Ren: "Neuroprotection by IFN-γ via astrocyte-secreted IL-6 in acute neuroinflammation." in: Oncotarget, Vol. 8, Issue 25, pp. 40065-40078, (2018) (PubMed).

    Haffner-Luntzer, Fischer, Prystaz, Liedert, Ignatius: "The inflammatory phase of fracture healing is influenced by oestrogen status in mice." in: European journal of medical research, Vol. 22, Issue 1, pp. 23, (2017) (PubMed).

    Prystaz, Kaiser, Kovtun, Haffner-Luntzer, Fischer, Rapp, Liedert, Strauss, Waetzig, Rose-John, Ignatius: "Distinct Effects of IL-6 Classic and Trans-Signaling in Bone Fracture Healing." in: The American journal of pathology, Vol. 188, Issue 2, pp. 474-490, (2017) (PubMed).

    Taskin, Gungor, Adali, Yay, Onder, Inceboz: "A Humanized Anti-Interleukin 6 Receptor Monoclonal Antibody, Tocilizumab, for the Treatment of Endometriosis in a Rat Model." in: Reproductive sciences (Thousand Oaks, Calif.), Vol. 23, Issue 5, pp. 662-9, (2016) (PubMed).

    Kuracha, Thomas, Loggie, Govindarajan: "Patient-derived xenograft mouse models of pseudomyxoma peritonei recapitulate the human inflammatory tumor microenvironment." in: Cancer medicine, Vol. 5, Issue 4, pp. 711-9, (2016) (PubMed).

    Zhu, Wang, Yang, Wang, Li, Zhou, Zhang: "Hematopoietic Effects of Paeoniflorin and Albiflorin on Radiotherapy-Induced Myelosuppression Mice." in: Evidence-based complementary and alternative medicine : eCAM, Vol. 2016, pp. 5789381, (2016) (PubMed).

    Sun, Zeng, Cao, Song, Zhang, Liu: "Vibration Training Triggers Brown Adipocyte Relative Protein Expression in Rat White Adipose Tissue." in: BioMed research international, Vol. 2015, pp. 919401, (2015) (PubMed).

    Taskin, Topcu, Yay, Erken, Balcio?lu, Adali, Hismiogullar?: "Prevention of ovarian hyperstimulation syndrome in a rat model: comparison of the efficacy of tocilizumab with that of ranibizumab, cabergoline, and a gonadotropin-releasing hormone antagonist." in: Gynecological endocrinology : the official journal of the International Society of Gynecological Endocrinology, pp. 1-6, (2015) (PubMed).

    Luo, Wang, Li, Wei, Zhang, Liu, Wang, Niu, Wang: "Maternal bisphenol a diet induces anxiety-like behavior in female juvenile with neuroimmune activation." in: Toxicological sciences : an official journal of the Society of Toxicology, Vol. 140, Issue 2, pp. 364-73, (2015) (PubMed).

    Takayanagi, Crawford, Kobayashi, Obama, Tsuji, Elliott, Hashimoto, Rizzo, Eguchi: "Caveolin 1 is critical for abdominal aortic aneurysm formation induced by angiotensin II and inhibition of lysyl oxidase." in: Clinical science (London, England : 1979), Vol. 126, Issue 11, pp. 785-94, (2014) (PubMed).

  • 抗原

    IL-6 (IL6) (Interleukin 6 (IL6))

    别名

    IL-6

    背景

    Synonyms: Il-6, Interleukin-6, B-cell hybridoma growth factor, Interleukin HP-1, Il6

    Background: Cytokine with a wide variety of biological functions. It is a potent inducer of the acute phase response. Plays an essential role in the final differentiation of B-cells into Ig-secreting cells Involved in lymphocyte and monocyte differentiation. Acts on B-cells, T-cells, hepatocytes, hematopoietic progenitor cells and cells of the CNS. Required for the generation of T(H)17 cells. Also acts as a myokine. It is discharged into the bloodstream after muscle contraction and acts to increase the breakdown of fats and to improve insulin resistance. It induces myeloma and plasmacytoma growth and induces nerve cells differentiation.

    基因ID

    16193

    UniProt

    P08505

    途径

    TLR signaling, Hormone Transport, Negative Regulation of Hormone Secretion, Myometrial Relaxation and Contraction, Positive Regulation of Immune Effector Process, Production of Molecular Mediator of Immune Response, Regulation of Carbohydrate Metabolic Process, Autophagy, Cell RedoxHomeostasis, Cancer Immune Checkpoints, Inflammasome
You are here: